• Tel: 858.663.9055
  • SeparatorEmail: info@nsjbio.com
  • Tel: 858.663.9055
  • Email: info@nsjbio.com
Home >> Antibodies >> GABRB3 Antibody

GABRB3 Antibody (R33849)

  Catalog No Formulation Size Price (USD)  
Image R33849-100UG 0.5 mg/ml in 1X TBS, pH7.3, with 0.5% BSA (US sourced) and 0.02% sodium azide 100 ug 475
Bulk quote request
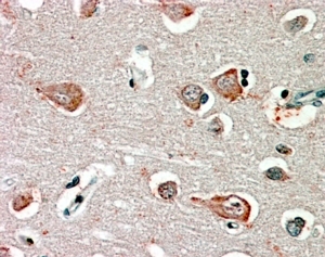
IHC testing of FFPE human cortex with GABRB3 antibody at 2.5ug/ml. HIER: steamed with pH6 citrate buffer, AP-staining.
Availability 1-3 business days
Species Reactivity Human
Predicted Reactivity Cow, Dog, Mouse, Rat
Format Antigen affinity purified
Host Goat
Clonality Polyclonal (goat origin)
Isotype Goat Ig
Purity Antigen affinity
Gene ID 2562
Localization Cytoplasmic, membrane
Applications Immunohistochemistry (FFPE) : 2-4ug/ml
ELISA (peptide) LOD : 1:8000
Limitations This GABRB3 antibody is available for research use only.
Review this product on BioCompare and get a $20 Amazon gift card

Related Products

  • Applications : WB
    Reactivity : Human, Mouse, Rat

Description

Additional name(s) for this target protein: Gamma-aminobutyric acid (GABA) A receptor, beta 3

Application Notes

Optimal dilution of the GABRB3 antibody should be determined by the researcher.

Immunogen

Amino acids EKTAKAKNDRSK were used as the immunogen for this GABRB3 antibody.

Storage

Aliquot and store the GABRB3 antibody at -20oC.

Cross
Bulk Quote Request Form
Name*:
Organization*:
Email*:
Phone Number*:
Catalog No.*:
Comments and Specifics(amount, formulation, etc.)*:
Validation code: Captchapackage Image


Can't read the image? click here to refresh.
    *required field

Your bulk quote request has been submitted successfully!

Please contact us if you have any questions.