• Tel: 858.663.9055
  • SeparatorEmail: info@nsjbio.com
  • Tel: 858.663.9055
  • Email: info@nsjbio.com
Home >> Antibodies >> GABRA4 Antibody

GABRA4 Antibody (R33813)

  Catalog No Formulation Size Price (USD)  
Image R33813-100UG 0.5 mg/ml in 1X TBS, pH7.3, with 0.5% BSA (US sourced) and 0.02% sodium azide 100 ug 475
Bulk quote request
Western blot testing of human frontal cortex lysate with GABRA4 antibody at 0.1ug/ml. Predicted molecular weight: ~62kDa.
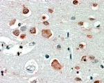
IHC staining of FFPE human brain cortex with GABRA4 antibody at 2.5ug/ml. HIER: steamed with pH6 citrate buffer, AP-staining.
Availability 1-3 business days
Species Reactivity Human
Predicted Reactivity Cow
Format Antigen affinity purified
Host Goat
Clonality Polyclonal (goat origin)
Isotype Goat Ig
Purity Antigen affinity
Gene ID 2557
Applications Western Blot : 0.1-0.3ug/ml
Immunohistochemistry (FFPE) : 2-4ug/ml
ELISA (peptide) LOD : 1:16000
Limitations This GABRA4 antibody is available for research use only.
Review this product on BioCompare and get a $20 Amazon gift card

Description

Additional name(s) for this target protein: Gamma-aminobutyric acid (GABA) A receptor, alpha 4

Application Notes

Optimal dilution of the GABRA4 antibody should be determined by the researcher.

Immunogen

Amino acids EKAKRKTSKPPQE were used as the immunogen for this GABRA4 antibody.

Storage

Aliquot and store the GABRA4 antibody at -20oC.

Cross
Bulk Quote Request Form
Name*:
Organization*:
Email*:
Phone Number*:
Catalog No.*:
Comments and Specifics(amount, formulation, etc.)*:
Validation code: Captchapackage Image


Can't read the image? click here to refresh.
    *required field

Your bulk quote request has been submitted successfully!

Please contact us if you have any questions.