• Tel: 858.663.9055
  • SeparatorEmail: info@nsjbio.com
  • Tel: 858.663.9055
  • Email: info@nsjbio.com
Home >> Antibodies >> GABPB2 Antibody

GABPB2 Antibody (R36065)

  Catalog No Formulation Size Price (USD)  
Image R36065-100UG 0.5 mg/ml in 1X TBS, pH7.3, with 0.5% BSA (US sourced) and 0.02% sodium azide 100 ug 475
Bulk quote request
Western blot testing of HeLa cell lysate with GABPB2 antibody at 0.5ug/ml. The expected ~43/38 kDa (isoforms beta 1/gamma 1) bands and the additional ~21kDa band are all blocked by the immunizing peptide.
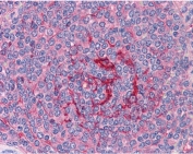
IHC testing of FFPE human spleen tissue with GABPB2 antibody at 3.75ug/ml. Required HIER: steamed antigen retrieval with pH6 citrate buffer; AP-staining.
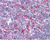
IHC testing of FFPE human tonsil tissue with GABPB2 antibody at 3.75ug/ml. Required HIER: steamed antigen retrieval with pH6 citrate buffer; AP-staining.
Availability 1-3 business days
Species Reactivity Human
Predicted Reactivity Dog
Format Antigen affinity purified
Host Goat
Clonality Polyclonal (goat origin)
Isotype Goat Ig
Purity Antigen affinity
Gene ID 2553
Localization Cytoplasmic, nuclear
Applications Western Blot : 0.5-1.5ug/ml
IHC (FFPE) : 3.75ug/ml
ELISA (peptide) LOD : 1:32000
Limitations This GABPB2 antibody is available for research use only.
Review this product on BioCompare and get a $20 Amazon gift card

Description

Additional name(s) for this target protein: GA binding protein transcription factor, beta subunit 2

Application Notes

Optimal dilution of the GABPB2 antibody should be determined by the researcher.

1. This GABPB2 antibody will detect the beta and gamma isoforms of the protein.

Immunogen

Amino acids SSENSSKATDETG were used as the immunogen for this GABPB2 antibody.

Storage

Aliquot and store the GABPB2 antibody at -20oC.

Cross
Bulk Quote Request Form
Name*:
Organization*:
Email*:
Phone Number*:
Catalog No.*:
Comments and Specifics(amount, formulation, etc.)*:
Validation code: Captchapackage Image


Can't read the image? click here to refresh.
    *required field

Your bulk quote request has been submitted successfully!

Please contact us if you have any questions.