• Tel: 858.663.9055
  • SeparatorEmail: info@nsjbio.com
  • Tel: 858.663.9055
  • Email: info@nsjbio.com
Home >> Antibodies >> GABBR2 Antibody / GABA-B receptor 2

GABBR2 Antibody / GABA-B receptor 2 (FY12439)

  Catalog No Formulation Size Price (USD)  
Image FY12439 Adding 0.2 ml of distilled water will yield a concentration of 500 ug/ml 100 ug 449
Bulk quote request
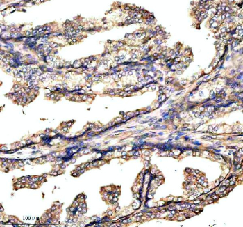
Immunohistochemical staining of GABBR2 using anti-GABBR2 antibody. GABBR2 was detected in a paraffin-embedded section of human prostate cancer tissue. Heat mediated antigen retrieval was performed in EDTA buffer (pH 8.0, epitope retrieval solution). The tissue section was blocked with 10% goat serum. The tissue section was then incubated with 2 ug/ml rabbit anti-GABBR2 antibody overnight at 4oC. Peroxidase Conjugated Goat Anti-rabbit IgG was used as secondary antibody and incubated for 30 minutes at 37oC. The tissue section was developed using an HRP secondary and DAB substrate.
Western blot analysis of GABBR2 using anti-GABBR2 antibody. Electrophoresis was performed on a 8% SDS-PAGE gel at 80V (Stacking gel) / 120V (Resolving gel) for 2 hours. Lane 1: rat brain tissue lysates, Lane 2: mouse brain tissue lysates. After electrophoresis, proteins were transferred to a nitrocellulose membrane at 150 mA for 50-90 minutes. Blocked the membrane with 5% non-fat milk/TBS for 1.5 hour at RT. The membrane was incubated with rabbit anti-GABBR2 antibody at 0.5 ug/ml overnight at 4oC, then washed with TBS-0.1%Tween 3 times with 5 minutes each and probed with a goat anti-rabbit IgG-HRP secondary antibody at a dilution of 1:5000 for 1.5 hour at RT. The signal was developed using an ECL Plus Western Blotting Substrate. The expected molecular weight of GABBR2 is ~106 kDa.
Availability 1-2 days
Species Reactivity Human, Mouse, Rat
Format Lyophilized
Host Rabbit
Clonality Polyclonal (rabbit origin)
Isotype Rabbit IgG
Purity Immunogen affinity purified
Buffer Each vial contains 4 mg Trehalose, 0.9 mg NaCl, 0.2 mg Na2HPO4.
UniProt O75899
Localization Cell membrane, cytoplasm
Applications Western Blot : 0.25-0.5ug/ml
Immunohistochemistry : 2-5ug/ml
ELISA : 0.1-0.5ug/ml
Limitations This GABBR2 antibody is available for research use only.
Review this product on BioCompare and get a $20 Amazon gift card

Description

GABBR2 antibody recognizes gamma-aminobutyric acid type B receptor subunit 2, a critical component of the GABA-B receptor complex that mediates inhibitory neurotransmission in the central nervous system. The GABA-B receptor is a G-protein-coupled receptor (GPCR) that functions as an obligate heterodimer composed of GABBR1 and GABBR2 subunits. While GABBR1 primarily binds the neurotransmitter GABA, GABBR2 is essential for G-protein coupling and signal transduction. Together, they regulate synaptic transmission, neuronal excitability, and plasticity by modulating calcium and potassium channels. The GABBR2 antibody is widely used in neuroscience research to study receptor distribution, intracellular trafficking, and synaptic physiology, as well as in models of epilepsy, addiction, and neurodegeneration.

GABBR2 is a transmembrane protein encoded by the GABBR2 gene, located on human chromosome 9q22.33. It contains a large extracellular Venus flytrap domain, a seven-transmembrane GPCR domain, and a long cytoplasmic tail involved in receptor assembly and signaling. The interaction of GABBR2 with GABBR1 is required for proper receptor localization at the cell surface. Dysregulation or mutations in GABBR2 have been associated with neurodevelopmental disorders, such as Rett-like syndrome and epileptic encephalopathy, emphasizing its importance in synaptic regulation. Experimental models have shown that altered GABA-B receptor function contributes to impaired inhibitory signaling and enhanced neuronal hyperexcitability.

The GABBR2 antibody is particularly valuable in immunohistochemistry for mapping GABA-B receptor expression across different brain regions, including the hippocampus, cortex, cerebellum, and spinal cord. Western blot analysis using this antibody often reveals bands around 100-110 kDa, corresponding to the mature receptor subunit. It is also useful in co-immunoprecipitation studies to confirm receptor dimerization with GABBR1 and interaction with downstream signaling molecules such as G-proteins and adenylate cyclases. Because of its high specificity and reproducibility, this antibody has become a standard reagent for characterizing the molecular and cellular mechanisms of inhibitory neurotransmission. NSJ Bioreagents provides a validated reagent that supports diverse applications including immunofluorescence and confocal microscopy to visualize receptor localization at synapses.

Research into GABBR2 continues to illuminate its roles beyond classical neurotransmission. Studies have linked GABA-B receptor signaling to cognitive flexibility, mood regulation, and drug dependence. Pharmacological modulation of this receptor has shown promise in treating anxiety, spasticity, and addiction disorders. The availability of a reliable GABBR2 antibody facilitates continued exploration into the receptor's signaling mechanisms, post-translational modifications, and potential therapeutic targets in neurological and psychiatric diseases.

Application Notes

Optimal dilution of the GABBR2 antibody should be determined by the researcher.

Immunogen

E.coli-derived human GABBR2 recombinant protein (Position: D100-Q889) was used as the immunogen for the GABBR2 antibody.

Storage

After reconstitution, the GABBR2 antibody can be stored for up to one month at 4oC. For long-term, aliquot and store at -20oC. Avoid repeated freezing and thawing.

Cross
Bulk Quote Request Form
Name*:
Organization*:
Email*:
Phone Number*:
Catalog No.*:
Comments and Specifics(amount, formulation, etc.)*:
Validation code: Captchapackage Image


Can't read the image? click here to refresh.
    *required field

Your bulk quote request has been submitted successfully!

Please contact us if you have any questions.