• Tel: 858.663.9055
  • SeparatorEmail: info@nsjbio.com
  • Tel: 858.663.9055
  • Email: info@nsjbio.com
Home >> Antibodies >> GABARAP Antibody

GABARAP Antibody (RQ6177)

  Catalog No Formulation Size Price (USD)  
Image RQ6177 0.5mg/ml if reconstituted with 0.2ml sterile DI water 100 ug 449
Bulk quote request
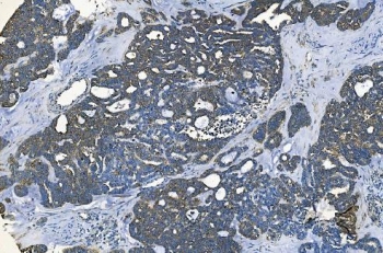
IHC staining of FFPE human ovarian cancer with GABARAP antibody. HIER: boil tissue sections in pH8 EDTA for 20 min and allow to cool before testing.
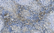
IHC staining of FFPE human renal cancer with GABARAP antibody. HIER: boil tissue sections in pH8 EDTA for 20 min and allow to cool before testing.
IHC staining of FFPE human esophageal squamous cancer with GABARAP antibody. HIER: boil tissue sections in pH8 EDTA for 20 min and allow to cool before testing.
IHC staining of FFPE mouse brain with GABARAP antibody. HIER: boil tissue sections in pH8 EDTA for 20 min and allow to cool before testing.
IHC staining of FFPE rat brain with GABARAP antibody. HIER: boil tissue sections in pH8 EDTA for 20 min and allow to cool before testing.
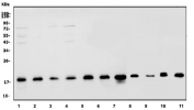
Western blot testing of human 1) HEK293, 2) Jurkat, 3) A549, 4) HeLa, 5) U-87 MG, 6) HepG2, 7) U937, 8) rat liver, 9) rat pancreas, 10) mouse liver and 11) mouse pancreas lysate with GABARAP antibody. Predicted molecular weight: 14-16 kDa.
Flow cytometry testing of human U-251 cells with GABARAP antibody at 1ug/million cells (blocked with goat sera); Red=cells alone, Green=isotype control, Blue= GABARAP antibody.
Flow cytometry testing of mouse HEPA1-6 cells with GABARAP antibody at 1ug/million cells (blocked with goat sera); Red=cells alone, Green=isotype control, Blue= GABARAP antibody.
Availability 1-3 business days
Species Reactivity Human, Mouse, Rat
Format Antigen affinity purified
Host Rabbit
Clonality Polyclonal (rabbit origin)
Isotype Rabbit IgG
Purity Affinity purified
Buffer Lyophilized from 1X PBS with 2% Trehalose and 0.0125% sodium azide
UniProt O95166
Applications Western Blot : 1-2ug/ml
Immunohistochemistry (FFPE) : 2-5ug/ml
Flow Cytometry : 1-3ug/million cells
Limitations This GABARAP antibody is available for research use only.
Review this product on BioCompare and get a $20 Amazon gift card

Related Products

Description

Gamma-aminobutyric acid receptor-associated protein is a protein that in humans is encoded by the GABARAP gene. Gamma-aminobutyric acid A receptors [GABA(A) receptors] are ligand-gated chloride channels that mediate inhibitory neurotransmission. This gene encodes GABA(A) receptor-associated protein, which is highly positively charged in its N-terminus and shares sequence similarity with light chain-3 of microtubule-associated proteins 1A and 1B. This protein clusters neurotransmitter receptors by mediating interaction with the cytoskeleton.

Application Notes

Optimal dilution of the GABARAP antibody should be determined by the researcher.

Immunogen

Amino acids MKFVYKEEHPFEKRRSE from the human protein were used as the immunogen for the GABARAP antibody.

Storage

After reconstitution, the GABARAP antibody can be stored for up to one month at 4oC. For long-term, aliquot and store at -20oC. Avoid repeated freezing and thawing.

Cross
Bulk Quote Request Form
Name*:
Organization*:
Email*:
Phone Number*:
Catalog No.*:
Comments and Specifics(amount, formulation, etc.)*:
Validation code: Captchapackage Image


Can't read the image? click here to refresh.
    *required field

Your bulk quote request has been submitted successfully!

Please contact us if you have any questions.