• Tel: 858.663.9055
  • SeparatorEmail: info@nsjbio.com
  • Tel: 858.663.9055
  • Email: info@nsjbio.com
Home >> Antibodies >> FYN Antibody / Tyrosine-protein kinase Fyn

FYN Antibody / Tyrosine-protein kinase Fyn (F50706)

  Catalog No Formulation Size Price (USD)  
Image F50706-0.4ML In 1X PBS, pH 7.4, with 0.09% sodium azide 0.4 ml 439
Image
F50706-0.08ML In 1X PBS, pH 7.4, with 0.09% sodium azide 0.08 ml 205
Bulk quote request
FYN antibody flow cytometric analysis of HeLa cells (right histogram) compared to a negative control (left histogram). FITC-conjugated goat-anti-rabbit secondary Ab was used for the analysis.
Western blot analysis of FYN antibody and mouse liver tissue lysate. Predicted molecular weight: ~59 kDa.
Western blot analysis of FYN antibody and 293 cell lysate (2 ug/lane) either nontransfected (Lane 1) or transiently transfected (2) with the FYN gene.
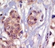
IHC analysis of FFPE human breast carcinoma tissue stained with the FYN antibody
Availability 1-3 business days
Species Reactivity Human, Mouse
Predicted Reactivity Rat, Bovine, Chicken
Format Antigen affinity purified
Host Rabbit
Clonality Polyclonal (rabbit origin)
Isotype Rabbit Ig
Purity Antigen affinity
UniProt P06241
Applications Western Blot : 1:1000
Flow Cytometry : 1:10-1:50
IHC (Paraffin) : 1:50-1:100
Limitations This FYN antibody is available for research use only.
Review this product on BioCompare and get a $20 Amazon gift card

Related Products

Description

FYN is a non-receptor tyrosine-protein kinase that plays a role in many biological processes including regulation of cell growth and survival, cell adhesion, integrin-mediated signaling, cytoskeletal remodeling, cell motility, immune response and axon guidance.

Application Notes

Titration of the FYN antibody may be required due to differences in protocols and secondary/substrate sensitivity.

Immunogen

A portion of amino acids 13-43 from the human protein was used as the immunogen for this FYN antibody.

Storage

Aliquot the FYN antibody and store frozen at -20oC or colder. Avoid repeated freeze-thaw cycles.

Cross
Bulk Quote Request Form
Name*:
Organization*:
Email*:
Phone Number*:
Catalog No.*:
Comments and Specifics(amount, formulation, etc.)*:
Validation code: Captchapackage Image


Can't read the image? click here to refresh.
    *required field

Your bulk quote request has been submitted successfully!

Please contact us if you have any questions.