• Tel: 858.663.9055
  • SeparatorEmail: info@nsjbio.com
  • Tel: 858.663.9055
  • Email: info@nsjbio.com
Home >> Antibodies >> FYCO1 Antibody / FYVE and coiled-coil domain containing 1

FYCO1 Antibody / FYVE and coiled-coil domain containing 1 (FY12097)

  Catalog No Formulation Size Price (USD)  
Image FY12097 Adding 0.2 ml of distilled water will yield a concentration of 500 ug/ml 100 ug 449
Bulk quote request
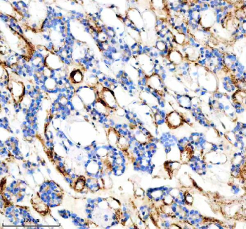
IHC analysis of FYCO1 using anti-FYCO1 antibody. FYCO1 was detected in a paraffin-embedded section of human thyroid cancer tissue. Heat mediated antigen retrieval was performed in EDTA buffer (pH 8.0, epitope retrieval solution). The tissue section was blocked with 10% goat serum. The tissue section was then incubated with 2 ug/ml rabbit anti-FYCO1 antibody overnight at 4oC. Peroxidase Conjugated Goat Anti-rabbit IgG was used as secondary antibody and incubated for 30 minutes at 37oC. The tissue section was developed using an HRP secondary and DAB substrate.
Western blot analysis of FYCO1 using anti-FYCO1 antibody. Electrophoresis was performed on a 8% SDS-PAGE gel at 80V (Stacking gel) / 120V (Resolving gel) for 2 hours. Lane 1: human HUVEC whole cell lysates, Lane 2: human Jurkat whole cell lysates, Lane 3: rat testis tissue lysates, Lane 4: mouse heart tissue lysates, Lane 5: mouse testis tissue lysates. After electrophoresis, proteins were transferred to a nitrocellulose membrane at 150 mA for 50-90 minutes. Blocked the membrane with 5% non-fat milk/TBS for 1.5 hour at RT. The membrane was incubated with rabbit anti-FYCO1 antibody at 0.5 ug/ml overnight at 4oC, then washed with TBS-0.1%Tween 3 times with 5 minutes each and probed with a goat anti-rabbit IgG-HRP secondary antibody at a dilution of 1:5000 for 1.5 hour at RT. The signal was developed using an ECL Plus Western Blotting Substrate. A specific band was detected for FYCO1 at approximately 167 kDa. The expected band size for FYCO1 is at 167 kDa.
Flow Cytometry analysis of Jurkat cells using anti-FYCO1 antibody. Overlay histogram showing Jurkat cells stained with (Blue line). To facilitate intracellular staining, cells were fixed with 4% paraformaldehyde and permeabilized with permeabilization buffer. The cells were blocked with 10% normal goat serum. And then incubated with rabbit anti-FYCO1 antibody (1 ug/million cells) for 30 min at 20oC. DyLight 488 conjugated goat anti-rabbit IgG (5-10 ug/million cells) was used as secondary antibody for 30 minutes at 20oC. Isotype control antibody (Green line) was rabbit IgG (1 ug/million cells) used under the same conditions. Unlabelled sample without incubation with primary antibody and secondary antibody (Red line) was used as a blank control.
Availability 1-2 days
Species Reactivity Human, Mouse, Rat
Format Lyophilized
Host Rabbit
Clonality Polyclonal (rabbit origin)
Isotype Rabbit IgG
Purity Immunogen affinity purified
Buffer Each vial contains 4 mg Trehalose, 0.9 mg NaCl, 0.2 mg Na2HPO4.
UniProt Q9BQS8
Applications Western Blot : 0.25-0.5ug/ml
Immunohistochemistry : 2-5ug/ml
Flow Cytometry : 1-3ug/million cells
ELISA : 0.1-0.5ug/ml
Limitations This FYCO1 antibody is available for research use only.
Review this product on BioCompare and get a $20 Amazon gift card

Description

FYCO1 antibody detects FYVE and coiled-coil domain containing 1, encoded by the FYCO1 gene. FYVE and coiled-coil domain containing 1 is a cytoplasmic protein that functions as an autophagy adaptor, linking autophagosomes to microtubule-based transport systems. FYCO1 antibody provides researchers with a key reagent for studying autophagy, vesicle trafficking, and disease mechanisms involving impaired cellular clearance.

FYVE and coiled-coil domain containing 1 contains a FYVE domain that binds phosphatidylinositol-3-phosphate on autophagosome membranes and a LC3-interacting region that recruits autophagy machinery. Research using FYCO1 antibody has shown that the protein couples autophagosomes to kinesin motors, promoting their transport along microtubules toward the cell periphery. This process facilitates autophagosome maturation and fusion with lysosomes.

Studies with FYCO1 antibody have revealed that loss-of-function mutations in FYCO1 cause autosomal recessive congenital cataracts. In lens epithelial cells, defective autophagy due to impaired FYCO1 activity leads to accumulation of damaged proteins and organelles, resulting in lens opacity. This genetic association highlights the clinical relevance of FYCO1 in ocular development and disease.

Dysregulation of FYVE and coiled-coil domain containing 1 has also been implicated in neurodegeneration and infection. Research using FYCO1 antibody has shown that altered expression affects autophagosome trafficking in neurons, contributing to accumulation of aggregates in neurodegenerative conditions. Pathogens such as Mycobacterium tuberculosis can manipulate FYCO1-mediated pathways, underscoring its significance in host-pathogen interactions.

FYCO1 antibody is widely applied in immunofluorescence, immunohistochemistry, and western blotting. Immunofluorescence highlights co-localization with LC3-positive autophagosomes, immunohistochemistry demonstrates tissue-specific expression, and western blotting quantifies levels in cells and tissues. These applications make FYCO1 antibody indispensable in autophagy and vesicle transport research.

By providing validated FYCO1 antibody reagents, NSJ Bioreagents supports studies into autophagy, cellular clearance, and disease. Detection of FYVE and coiled-coil domain containing 1 provides researchers with insight into how adaptor proteins regulate vesicle trafficking and pathology.

Application Notes

Optimal dilution of the FYCO1 antibody should be determined by the researcher.

Immunogen

E.coli-derived human FYCO1 recombinant protein (Position: M1-K1019) was used as the immunogen for the FYCO1 antibody.

Storage

After reconstitution, the FYCO1 antibody can be stored for up to one month at 4oC. For long-term, aliquot and store at -20oC. Avoid repeated freezing and thawing.

Cross
Bulk Quote Request Form
Name*:
Organization*:
Email*:
Phone Number*:
Catalog No.*:
Comments and Specifics(amount, formulation, etc.)*:
Validation code: Captchapackage Image


Can't read the image? click here to refresh.
    *required field

Your bulk quote request has been submitted successfully!

Please contact us if you have any questions.