• Tel: 858.663.9055
  • SeparatorEmail: info@nsjbio.com
  • Tel: 858.663.9055
  • Email: info@nsjbio.com
Home >> Antibodies >> FXYD6 Antibody

FXYD6 Antibody (F54744)

  Catalog No Formulation Size Price (USD)  
Image F54744-0.4ML In 1X PBS, pH 7.4, with 0.09% sodium azide 0.4 ml 439
Image
F54744-0.08ML In 1X PBS, pH 7.4, with 0.09% sodium azide 0.08 ml 205
Bulk quote request
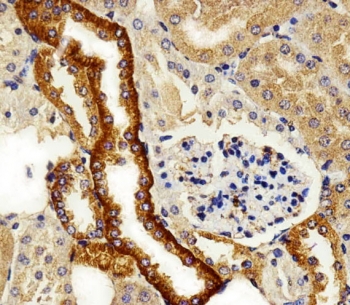
IHC testing of FFPE mouse kidney tissue with FXYD6 antibody. HIER: steam section in pH6 citrate buffer for 20 min and allow to cool prior to staining.
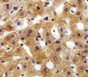
IHC testing of FFPE human liver tissue with FXYD6 antibody. HIER: steam section in pH6 citrate buffer for 20 min and allow to cool prior to staining.
Western blot testing of 1) human cerebellum, 2) human brain, 3) human SH-SY5Y, 4) mouse brain, 5) mouse cerebellum and 6) rat brain tissue lysate with FXYD6 antibody. Expected molecular weight: 11-20 kDa.
Flow cytometry testing of human SH-SY5Y cells with FXYD6 antibody; Blue=isotype control, Green= FXYD6 antibody.
Availability 1-3 business days
Species Reactivity Human, Mouse, Rat
Format Purified
Host Rabbit
Clonality Polyclonal (rabbit origin)
Isotype Rabbit Ig
Purity Antigen affinity purified
UniProt Q9H0Q3
Applications Immunohistochemistry (FFPE) : 1:25-1:50
Flow Cytometry : 1:25 (1x10e6 cells)
Western Blot : 1:500-1:1000
Limitations This FXYD6 antibody is available for research use only.
Review this product on BioCompare and get a $20 Amazon gift card

Application Notes

The stated application concentrations are suggested starting points. Titration of the FXYD6 antibody may be required due to differences in protocols and secondary/substrate sensitivity.

Immunogen

A portion of amino acids 81-115 from the human protein was used as the immunogen for the FXYD6 antibody.

Storage

Aliquot the FXYD6 antibody and store frozen at -20oC or colder. Avoid repeated freeze-thaw cycles.

Cross
Bulk Quote Request Form
Name*:
Organization*:
Email*:
Phone Number*:
Catalog No.*:
Comments and Specifics(amount, formulation, etc.)*:
Validation code: Captchapackage Image


Can't read the image? click here to refresh.
    *required field

Your bulk quote request has been submitted successfully!

Please contact us if you have any questions.