• Tel: 858.663.9055
  • SeparatorEmail: info@nsjbio.com
  • Tel: 858.663.9055
  • Email: info@nsjbio.com
Home >> Antibodies >> FUT1 Antibody / Galactoside 2-alpha-L-fucosyltransferase 1

FUT1 Antibody / Galactoside 2-alpha-L-fucosyltransferase 1 (R31996)

  Catalog No Formulation Size Price (USD)  
Image R31996 0.5mg/ml if reconstituted with 0.2ml sterile DI water 100 ug 449
Bulk quote request
Western blot testing of 1) rat brain, 2) human SW620 and 3) A549 lysate with FUT1 antibody. Predicted/observed molecular weight ~50 kDa.
IHC testing of FFPE human breast cancer tissue with FUT1 antibody. HIER: Boil the paraffin sections in pH 6, 10mM citrate buffer for 20 minutes and allow to cool prior to staining.
IHC testing of FFPE mouse intestine with FUT1 antibody. HIER: Boil the paraffin sections in pH 6, 10mM citrate buffer for 20 minutes and allow to cool prior to staining.
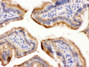
IHC testing of FFPE rat intestine with FUT1 antibody. HIER: Boil the paraffin sections in pH 6, 10mM citrate buffer for 20 minutes and allow to cool prior to staining.
Availability 1-3 business days
Species Reactivity Human, Mouse, Rat
Format Antigen affinity purified
Host Rabbit
Clonality Polyclonal (rabbit origin)
Isotype Rabbit IgG
Purity Antigen affinity
Buffer Lyophilized from 1X PBS with 2% Trehalose and 0.025% sodium azide
UniProt P19526
Localization Cytoplasmic, membrane
Applications Western Blot : 0.1-0.5ug/ml
Immunohistochemistry (FFPE) : 0.5-1ug/ml
Limitations This FUT1 antibody is available for research use only.
Review this product on BioCompare and get a $20 Amazon gift card

Description

Galactoside 2-alpha-L-fucosyltransferase 1 is an enzyme that in humans is encoded by the FUT1 gene. It is mapped to 19q13.3. The protein encoded by this gene is a Golgi stack membrane protein that is involved in the creation of a precursor of the H antigen, which is required for the final step in the soluble A and B antigen synthesis pathway. This gene is one of two encoding the galactoside 2-L-fucosyltransferase enzyme. Mutations in this gene are a cause of the H-Bombay blood group.

Application Notes

Optimal dilution of the FUT1 antibody should be determined by the researcher.

Immunogen

Amino acids EVDSRTPWRELQLHDWMSEEYADLRDPFLKL of human FUT1 were used as the immunogen for the FUT1 antibody.

Storage

After reconstitution, the FUT1 antibody can be stored for up to one month at 4oC. For long-term, aliquot and store at -20oC. Avoid repeated freezing and thawing.

Cross
Bulk Quote Request Form
Name*:
Organization*:
Email*:
Phone Number*:
Catalog No.*:
Comments and Specifics(amount, formulation, etc.)*:
Validation code: Captchapackage Image


Can't read the image? click here to refresh.
    *required field

Your bulk quote request has been submitted successfully!

Please contact us if you have any questions.