• Tel: 858.663.9055
  • SeparatorEmail: info@nsjbio.com
  • Tel: 858.663.9055
  • Email: info@nsjbio.com
Home >> Antibodies >> FUBP1 Antibody / Far upstream element binding protein 1

FUBP1 Antibody / Far upstream element binding protein 1 (FY12139)

  Catalog No Formulation Size Price (USD)  
Image FY12139 Adding 0.2 ml of distilled water will yield a concentration of 500 ug/ml 100 ug 449
Bulk quote request
IHC analysis of FUBP1 using anti-FUBP1 antibody. FUBP1 was detected in a paraffin-embedded section of mouse spleen tissue. Heat mediated antigen retrieval was performed in EDTA buffer (pH 8.0, epitope retrieval solution). The tissue section was blocked with 10% goat serum. The tissue section was then incubated with 2 ug/ml rabbit anti-FUBP1 antibody overnight at 4oC. Peroxidase Conjugated Goat Anti-rabbit IgG was used as secondary antibody and incubated for 30 minutes at 37oC. The tissue section was developed using an HRP secondary and DAB substrate.
Western blot analysis of FUBP1 using anti-FUBP1 antibody. Electrophoresis was performed on a 10% SDS-PAGE gel at 80V (Stacking gel) / 120V (Resolving gel) for 2 hours. Lane 1: human Jurkat whole cell lysates, Lane 2: human Hela whole cell lysates, Lane 3: human whole cell lysates, Lane 4: human K562 whole cell lysates, Lane 5: rat brain tissue lysates, Lane 6: rat PC-12 whole cell lysates, Lane 7: mouse brain tissue lysates, Lane 8: mouse Neuro-2a whole cell lysates. After electrophoresis, proteins were transferred to a nitrocellulose membrane at 150 mA for 50-90 minutes. Blocked the membrane with 5% non-fat milk/TBS for 1.5 hour at RT. The membrane was incubated with rabbit anti-FUBP1 antibody at 0.5 ug/ml overnight at 4oC, then washed with TBS-0.1%Tween 3 times with 5 minutes each and probed with a goat anti-rabbit IgG-HRP secondary antibody at a dilution of 1:5000 for 1.5 hour at RT. The signal was developed using an ECL Plus Western Blotting Substrate. The expected band size for FUBP1 is at 67 kDa.
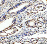
IHC analysis of FUBP1 using anti-FUBP1 antibody. FUBP1 was detected in a paraffin-embedded section of human breast cancer tissue. Heat mediated antigen retrieval was performed in EDTA buffer (pH 8.0, epitope retrieval solution). The tissue section was blocked with 10% goat serum. The tissue section was then incubated with 2 ug/ml rabbit anti-FUBP1 antibody overnight at 4oC. Peroxidase Conjugated Goat Anti-rabbit IgG was used as secondary antibody and incubated for 30 minutes at 37oC. The tissue section was developed using an HRP secondary and DAB substrate.
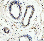
IHC analysis of FUBP1 using anti-FUBP1 antibody. FUBP1 was detected in a paraffin-embedded section of human colon cancer tissue. Heat mediated antigen retrieval was performed in EDTA buffer (pH 8.0, epitope retrieval solution). The tissue section was blocked with 10% goat serum. The tissue section was then incubated with 2 ug/ml rabbit anti-FUBP1 antibody overnight at 4oC. Peroxidase Conjugated Goat Anti-rabbit IgG was used as secondary antibody and incubated for 30 minutes at 37oC. The tissue section was developed using an HRP secondary and DAB substrate.
Immunofluorescent staining of FUBP1 using anti-FUBP1 antibody (green) and anti-Beta Tubulin antibody (red). FUBP1 was detected in an immunocytochemical section of U2OS cells. Enzyme antigen retrieval was performed using IHC enzyme antigen retrieval reagent for 15 mins. The cells were blocked with 10% goat serum. And then incubated with 5 ug/ml rabbit anti-FUBP1 antibody and mouse anti-Beta Tubulin antibody overnight at 4oC. DyLight 488 Conjugated Goat Anti-Rabbit IgG and Cy3 Conjugated Goat Anti-Mouse IgG were used as secondary antibody at 1:500 dilution and incubated for 30 minutes at 37oC. Visualize using a fluorescence microscope and filter sets appropriate for the label used.
Availability 1-2 days
Species Reactivity Human, Mouse, Rat
Format Lyophilized
Host Rabbit
Clonality Polyclonal (rabbit origin)
Isotype Rabbit IgG
Purity Immunogen affinity purified
Buffer Each vial contains 4 mg Trehalose, 0.9 mg NaCl, 0.2 mg Na2HPO4.
UniProt Q96AE4
Applications Western Blot : 0.25-0.5ug/ml
Immunohistochemistry : 2-5ug/ml
Immunocytochemistry/Immunofluorescence : 5ug/ml
Limitations This FUBP1 antibody is available for research use only.
Review this product on BioCompare and get a $20 Amazon gift card

Related Products

  • Applications : WB, IHC, ELISA (peptide)
    Reactivity : Human
    Pred. Reactivity : Cow, Dog, Mouse, Pig, Rat

Description

FUBP1 antibody detects Far upstream element binding protein 1, encoded by the FUBP1 gene on chromosome 1p31.1. FUBP1 antibody is widely used to investigate this single-stranded DNA- and RNA-binding protein that regulates transcription, mRNA stability, and translation. FUBP1 belongs to the FUBP family, which also includes FUBP2 and FUBP3, and was first identified as a regulator of c-Myc by binding the far upstream element (FUSE) located upstream of the MYC promoter. By acting as a transcriptional activator or repressor depending on cellular context, FUBP1 plays a central role in controlling cell proliferation, apoptosis, and differentiation.

Structurally, FUBP1 contains multiple KH (hnRNP K homology) domains that mediate binding to single-stranded nucleic acids. These domains allow recognition of pyrimidine-rich elements in DNA and RNA, enabling FUBP1 to regulate gene transcription and mRNA metabolism. Its nuclear localization sequences direct it to the nucleus, where it interacts with transcriptional machinery, while cytoplasmic pools of FUBP1 influence mRNA turnover and translation. This versatility positions FUBP1 as a bridge between transcriptional and post-transcriptional control.

Functionally, FUBP1 is a key regulator of c-Myc, one of the most important proto-oncogenes. It stimulates transcription by binding the FUSE region and recruiting cofactors that promote RNA polymerase II elongation. FUBP1 also regulates genes involved in apoptosis, metabolism, and cell cycle progression. In addition, FUBP1 modulates mRNA stability by interacting with AU-rich elements and influences translation of transcripts involved in development and stress responses. Researchers use FUBP1 antibody to probe these diverse functions in molecular and cancer biology.

Clinically, FUBP1 mutations and altered expression are linked to multiple cancers. Deletions of FUBP1 are common in oligodendrogliomas, where they contribute to tumor development alongside IDH1 mutations and 1p/19q codeletion. In contrast, overexpression of FUBP1 supports tumor progression in hepatocellular carcinoma, leukemia, and other malignancies by sustaining c-Myc activity. Beyond cancer, FUBP1 has been implicated in hematopoiesis, neuronal development, and metabolic regulation. Dysregulated expression is associated with developmental delay and intellectual disability syndromes. These findings underscore the importance of FUBP1 as both a biomarker and potential therapeutic target.

Experimentally, FUBP1 antibody is used in western blotting to detect the ~68 kDa protein, in immunohistochemistry to evaluate tumor samples, and in immunofluorescence to visualize its nuclear distribution. Co-immunoprecipitation with FUBP1 antibody has identified interactions with transcriptional regulators including TFIIH and p300. Studies also demonstrate interactions with splicing factors and RNA-binding proteins, linking transcriptional and post-transcriptional networks. NSJ Bioreagents supplies FUBP1 antibody to support research in oncology, gene regulation, and RNA biology.

Application Notes

Optimal dilution of the FUBP1 antibody should be determined by the researcher.

Immunogen

A synthetic peptide corresponding to a sequence at the N-terminus of human FUBP1 was used as the immunogen for the FUBP1 antibody.

Storage

After reconstitution, the FUBP1 antibody can be stored for up to one month at 4oC. For long-term, aliquot and store at -20oC. Avoid repeated freezing and thawing.

Cross
Bulk Quote Request Form
Name*:
Organization*:
Email*:
Phone Number*:
Catalog No.*:
Comments and Specifics(amount, formulation, etc.)*:
Validation code: Captchapackage Image


Can't read the image? click here to refresh.
    *required field

Your bulk quote request has been submitted successfully!

Please contact us if you have any questions.