• Tel: 858.663.9055
  • SeparatorEmail: info@nsjbio.com
  • Tel: 858.663.9055
  • Email: info@nsjbio.com
Home >> Antibodies >> FTO Antibody / Fat mass and obesity associated protein

FTO Antibody / Fat mass and obesity associated protein [clone AEAA-6] (FY13419)

  Catalog No Formulation Size Price (USD)  
Image FY13419 Rabbit IgG in phosphate buffered saline, pH 7.4, 150mM NaCl, 0.02% sodium azide and 50% glycerol, 0.4-0.5mg/ml BSA 100 ul 449
Microvalidated Recrabbitmono
Bulk quote request
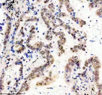
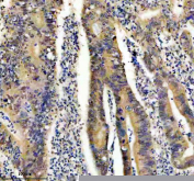
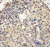
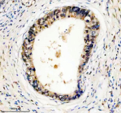
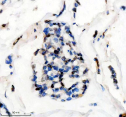
Immunohistochemical analysis of FTO using anti-FTO antibody. FTO is detected in a paraffin-embedded section of human lung cancer tissue following heat-mediated antigen retrieval in EDTA buffer (pH 8.0). Positive cell-associated staining is observed in tumor cells, consistent with reported FTO expression patterns.
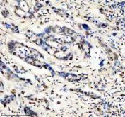
Immunohistochemical staining of FFPE human ovarian cancer tissue with FTO antibody, HRP-secondary and DAB substrate. HIER: boil tissue sections in pH8 EDTA for 20 min and allow to cool before testing.
Immunohistochemical staining of FFPE human esophagus cancer tissue with FTO antibody, HRP-secondary and DAB substrate. HIER: boil tissue sections in pH8 EDTA for 20 min and allow to cool before testing.
Immunohistochemical staining of FFPE human liver cancer tissue with FTO antibody, HRP-secondary and DAB substrate. HIER: boil tissue sections in pH8 EDTA for 20 min and allow to cool before testing.
Immunohistochemical staining of FFPE human pancreas cancer tissue with FTO antibody, HRP-secondary and DAB substrate. HIER: boil tissue sections in pH8 EDTA for 20 min and allow to cool before testing.
Immunohistochemical staining of FFPE human pancreas cancer tissue with FTO antibody, HRP-secondary and DAB substrate. HIER: boil tissue sections in pH8 EDTA for 20 min and allow to cool before testing.
Immunohistochemical analysis of FTO using anti-FTO antibody. FTO is detected in a paraffin-embedded section of human breast cancer tissue following heat-mediated antigen retrieval in EDTA buffer (pH 8.0). Positive nuclear and cell-associated staining is observed in tumor cells.
Immunohistochemical staining of FFPE human rectal cancer tissue with FTO antibody, HRP-secondary and DAB substrate. HIER: boil tissue sections in pH8 EDTA for 20 min and allow to cool before testing.
Immunofluorescent staining of FFPE human HeLa cells with TFO antibody (green), Phalloidin (red) and DAPI nuclear stain (blue). HIER: steam section in pH6 citrate buffer for 20 min.
Immunofluorescent staining of FFPE human HeLa cells with TFO antibody (green), Phalloidin (red) and DAPI nuclear stain (blue). HIER: steam section in pH6 citrate buffer for 20 min.
Western blot analysis of FTO expression using anti-FTO antibody. Cell lysates include human HEK293T, HeLa, SH-SY5Y, Daudi, HepG2, and T-47D cells, as well as rat RH35 cells. A specific band is detected at approximately 58 kDa, consistent with the predicted molecular weight of FTO.
Western blot testing of human K562 cell lysate with FTO antibody. Predicted molecular weight ~58 kDa.
Availability 1-2 days
Species Reactivity Human, Rat
Format Liquid
Host Rabbit
Clonality Recombinant Rabbit Monoclonal
Isotype Rabbit IgG
Clone Name AEAA-6
Purity Affinity chromatography
Buffer Rabbit IgG in phosphate buffered saline, pH 7.4, 150mM NaCl, 0.02% sodium azide and 50% glycerol, 0.4-0.5mg/ml BSA.
UniProt Q9C0B1
Localization Cytoplasmic, nuclear
Applications Western Blot : 1:500-1:2000
Immunohistochemistry : 1:50-1:200
Immunofluorescence : 1:50-1:200
Limitations This FTO antibody is available for research use only.
Review this product on BioCompare and get a $20 Amazon gift card

Related Products

Description

FTO antibody targets Fat mass and obesity associated protein (FTO), a nuclear protein that functions as an RNA demethylase and plays an important role in post-transcriptional regulation of gene expression. FTO belongs to the AlkB family of dioxygenases and is primarily localized to the nucleus, where it associates with chromatin and RNA-processing machinery. Through its enzymatic activity, FTO removes methyl groups from specific RNA modifications, linking cellular metabolism to regulation of RNA stability, splicing, and translation. This positioning makes FTO a key molecular interface between nutrient status and gene expression control.

Functionally, FTO is best known for its ability to demethylate N6-methyladenosine (m6A) and related RNA modifications, which are critical regulators of RNA fate. By modulating RNA methylation status, FTO influences transcript processing, turnover, and translational efficiency. These effects impact diverse cellular processes, including energy balance, cell growth, and differentiation. A FTO antibody supports studies focused on RNA epigenetics and the mechanisms by which RNA modifications regulate gene expression programs.

FTO is broadly expressed across tissues, with notable expression in the brain, particularly in regions involved in energy homeostasis and feeding behavior. Its expression pattern reflects roles in both central nervous system regulation and peripheral metabolic tissues. Analysis of FTO localization and abundance provides insight into how RNA methylation dynamics respond to physiological cues such as nutrient availability and hormonal signaling. Because FTO activity is sensitive to cellular metabolic state, it is frequently examined in studies linking metabolism to gene regulatory mechanisms.

From a biological and disease-relevance perspective, FTO has been extensively studied in the context of metabolic regulation and human disease. Genetic variation in the FTO locus has been strongly associated with obesity risk and body mass index in population studies, driving significant interest in its biological function. Beyond metabolism, FTO has also been implicated in cancer biology, neural development, and stress responses, where altered RNA methylation patterns can influence cell behavior. Investigating FTO expression and regulation contributes to understanding how RNA modification pathways participate in disease-associated phenotypes.

At the molecular level, FTO is encoded by the FTO gene and produces a protein of approximately 58 kDa. The protein contains conserved catalytic motifs required for iron- and alpha-ketoglutarate-dependent demethylase activity. FTO function depends on proper nuclear localization and interaction with RNA substrates and regulatory cofactors. A FTO antibody supports research applications focused on RNA modification, metabolic signaling, and disease-related changes in gene regulation, with NSJ Bioreagents providing reagents intended for research use.

Application Notes

Optimal dilution of the FTO antibody should be determined by the researcher.

Immunogen

A synthesized peptide derived from human Fat mass and obesity associated protein was used as the immunogen for the FTO antibody.

Storage

Store the FTO antibody at -20oC.

Cross
Bulk Quote Request Form
Name*:
Organization*:
Email*:
Phone Number*:
Catalog No.*:
Comments and Specifics(amount, formulation, etc.)*:
Validation code: Captchapackage Image


Can't read the image? click here to refresh.
    *required field

Your bulk quote request has been submitted successfully!

Please contact us if you have any questions.