- Tel: 858.663.9055
- 
									 Email: info@nsjbio.com Email: info@nsjbio.com
- Tel: 858.663.9055
- Email: info@nsjbio.com
 Email: info@nsjbio.com
Email: info@nsjbio.com
								Related Products
| 
 | 
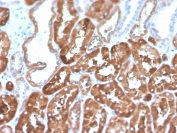
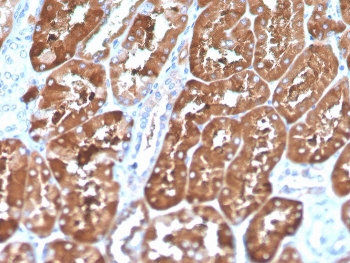
Mammalian ferritins consist of 24 subunits made up of 2 types of polypeptide chains, ferritin heavy chain and ferritin light chain. Ferritin heavy chains catalyze the first step in iron storage, the oxidation of Fe (II), whereas ferritin light chains promote the nucleation of ferrihydrite, enabling storage of Fe (III). Light chain ferritin is involved in cataracts by at least two mechanisms, hereditary hyperferritinemia cataract syndrome, in which light chain ferritin is overexpressed, and oxidative stress, an important factor in the development of ageing-related cataracts.
Optimal dilution of the FTL antibody should be determined by the researcher.
A portion of amino acids 38-165 from the human protein was used as the immunogen for the FTL antibody.
Store the FTL antibody at 2-8oC (up to one month) or aliquot and store at -20oC (longer term).
 
Your bulk quote request has been submitted successfully!
Please contact us if you have any questions.