• Tel: 858.663.9055
  • SeparatorEmail: info@nsjbio.com
  • Tel: 858.663.9055
  • Email: info@nsjbio.com
Home >> Antibodies >> FSP1 Antibody / S100A4

FSP1 Antibody / S100A4 [clone S100A4/1481] (V3434)

  Catalog No Formulation Size Price (USD)  
Image V3434-100UG 0.2 mg/ml in 1X PBS with 0.1 mg/ml BSA (US sourced) and 0.05% sodium azide 100 ug 559
Image
V3434-20UG 0.2 mg/ml in 1X PBS with 0.1 mg/ml BSA (US sourced) and 0.05% sodium azide 20 ug 259
Image
V3434SAF-100UG 1 mg/ml in 1X PBS; BSA free, sodium azide free 100 ug 559
Microvalidated
Bulk quote request
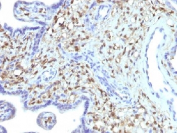
IHC testing of FFPE human placenta with FSP1 antibody (clone S100A4/1481). Required HIER: steam sections in 10mM citrate buffer, pH 6, for 10-20 min followed by cooling.
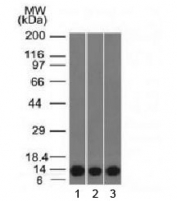
Western blot testing of human 1) HeLa, 2) A549 and 3) A431 cell lysate with FSP1 antibody. Predicted molecular weight ~12 kDa.
SDS-PAGE Analysis of Purified, BSA-Free FSP1 Antibody (clone S100A4/1481). Confirmation of Integrity and Purity of the Antibody.
IF/ICC testing of fixed and permeabilized human HeLa cells with FSP1 antibody (clone S100A4/1481, green) and Reddot nuclear stain (red).
Analysis of HuProt(TM) microarray containing more than 19,000 full-length human proteins using S100A4 antibody (clone S100A4/1481). These results demonstrate the foremost specificity of the S100A4/1481 mAb.
Z- and S- score: The Z-score represents the strength of a signal that an antibody (in combination with a fluorescently-tagged anti-IgG secondary Ab) produces when binding to a particular protein on the HuProt(TM) array. Z-scores are described in units of standard deviations (SD's) above the mean value of all signals generated on that array. If the targets on the HuProt(TM) are arranged in descending order of the Z-score, the S-score is the difference (also in units of SD's) between the Z-scores. The S-score therefore represents the relative target specificity of an Ab to its intended target.
Western blot testing of human HeLa cell lysate with FSP1 antibody. Predicted molecular weight ~12 kDa.
Flow cytometry testing of permeabilized human T98G cells with FSP1 antibody (clone S100A4/1481); Red=isotype control, Blue= FSP1 antibody.
Flow cytometry testing of permeabilized human A549 cells with FSP1 antibody (clone S100A4/1481); Red=isotype control, Blue= FSP1 antibody.
Availability 1-3 business days
Species Reactivity Human, Mouse
Format Purified
Host Mouse
Clonality Monoclonal (mouse origin)
Isotype Mouse IgG1, kappa
Clone Name S100A4/1481
Purity Protein G affinity chromatography
UniProt P26447
Localization Cytoplasmic, nuclear
Applications Flow Cytometry : 1-2ug/10^6 cells
Immunofluorescence : 1-2ug/ml
Western Blot : 1-2ug/ml
Immunohistochemistry (FFPE) : 1-2ug/ml for 30 min at RT
Limitations This FSP1 antibody is available for research use only.
Review this product on BioCompare and get a $20 Amazon gift card

Related Products

Description

S100A4/FSP1 (Fibroblast specific protein 1) belongs to the S100 super-family of proteins containing 2 EF-hand calcium-binding domains. S100 genes include at least 25 members, including S100A1-S100A18, trichohyalin, filaggrin, repetin, S100P, and S100Z. FSP1 exerts its function via direct interaction with a number of proteins including p53, p63, non-muscle myosin IIA, a6b4 integrin, and liprin b1. FSP1 is overexpressed in highly metastatic cancers, which makes it useful as a marker of tumor progression.

Application Notes

The optimal dilution of the FSP1 antibody for each application should be determined by the researcher.

Immunogen

A recombinant human partial protein (amino acids 1-200) was used as the immunogen for the recombinant FSP1 antibody.

Storage

Store the FSP1 antibody at 2-8oC (with azide) or aliquot and store at -20oC or colder (without azide).

Cross
Bulk Quote Request Form
Name*:
Organization*:
Email*:
Phone Number*:
Catalog No.*:
Comments and Specifics(amount, formulation, etc.)*:
Validation code: Captchapackage Image


Can't read the image? click here to refresh.
    *required field

Your bulk quote request has been submitted successfully!

Please contact us if you have any questions.