• Tel: 858.663.9055
  • SeparatorEmail: info@nsjbio.com
  • Tel: 858.663.9055
  • Email: info@nsjbio.com
Home >> Antibodies >> FRG1 Antibody / FSHD region gene 1

FRG1 Antibody / FSHD region gene 1 [clone 32F07] (FY13100)

  Catalog No Formulation Size Price (USD)  
Image FY13100 Rabbit IgG in phosphate buffered saline, pH 7.4, 150mM NaCl, 0.02% sodium azide and 50% glycerol, 0.4-0.5mg/ml BSA 100 ul 449
Microvalidated Recrabbitmono
Bulk quote request
Western blot testing of rat brain tissue lysate using the FRG1 antibody at 1:3000 dilution for 1 hour at room temperature. FRG1 antibody detects a single band at ~33-35 kDa. Although the calculated mass of FRG1 is ~29 kDa, published work and reagent data frequently show an apparent size in the low-to-mid 30 kDa range, likely reflecting phosphorylation-dependent mobility and nuclear enrichment.
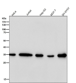
Western blot testing of human samples using the FRG1 antibody at 1:3000 dilution for 1 hour at room temperature. FRG1 antibody detects a single band at ~33-35 kDa across multiple human cell lysates. Although the calculated mass of FRG1 is ~29 kDa, published work and reagent data frequently show an apparent size in the low-to-mid 30 kDa range, likely reflecting phosphorylation-dependent mobility and nuclear enrichment.
Availability 2-3 weeks
Species Reactivity Human, Mouse, Rat
Format Liquid
Host Rabbit
Clonality Recombinant Rabbit Monoclonal
Isotype Rabbit IgG
Clone Name 32F07
Purity Affinity chromatography
Buffer Rabbit IgG in phosphate buffered saline, pH 7.4, 150mM NaCl, 0.02% sodium azide and 50% glycerol, 0.4-0.5mg/ml BSA.
UniProt Q14331
Applications Western Blot : 1:500-1:2000
Immunocytochemistry/Immunofluorescence : 1:50-1:200
Limitations This FRG1 antibody is available for research use only.
Review this product on BioCompare and get a $20 Amazon gift card

Related Products

  • Applications : WB, ELISA (peptide)
    Reactivity : Human
    Pred. Reactivity : Mouse, Rat

Description

FRG1 antibody detects FSHD region gene 1 protein, encoded by the FRG1 gene. This protein is associated with RNA processing, pre-mRNA splicing, and actin cytoskeleton organization. FRG1 antibody provides researchers with a critical reagent for investigating muscular dystrophy, RNA metabolism, and nuclear architecture. Interest in FRG1 intensified because of its location within the genomic region associated with facioscapulohumeral muscular dystrophy (FSHD), a progressive muscle wasting disease.

FSHD region gene 1 protein is expressed in both nuclear and cytoplasmic compartments. In the nucleus, it associates with splicing machinery and contributes to RNA maturation. Research using FRG1 antibody has demonstrated that overexpression of FRG1 alters splicing of muscle-specific transcripts, contributing to muscle pathology. In the cytoplasm, FRG1 interacts with actin filaments, influencing cytoskeletal organization and cell motility. These dual roles highlight its broad impact on cellular function.

Overexpression of FRG1 has been shown to produce muscular dystrophy-like phenotypes in model organisms. Studies with FRG1 antibody have confirmed that excessive expression disrupts muscle development, leading to muscle weakness and degeneration. This evidence supports the hypothesis that misregulation of FRG1 contributes to FSHD pathology. Conversely, controlled levels of FRG1 appear necessary for normal muscle and vascular development, linking its regulation to tissue homeostasis.

Beyond muscular dystrophy, FRG1 has been implicated in angiogenesis and vascular biology. Research with FRG1 antibody has revealed that it influences endothelial cell migration and capillary formation. Dysregulation of FRG1 may therefore contribute to vascular defects in addition to muscle abnormalities. This broadens the biological significance of FSHD region gene 1 protein to multiple tissues and disease processes.

FRG1 antibody is widely used in western blotting, immunohistochemistry, and immunofluorescence. Western blotting identifies both endogenous and overexpressed FRG1, immunohistochemistry localizes it in muscle tissue, and immunofluorescence shows colocalization with nuclear speckles and actin filaments. These applications make FRG1 antibody indispensable for muscular dystrophy research.

By supplying validated FRG1 antibody reagents, NSJ Bioreagents supports studies of RNA processing, muscle disease, and cytoskeletal organization. Detection of FSHD region gene 1 protein provides insight into how RNA and cytoskeletal regulation intersect in development and pathology.

Application Notes

Optimal dilution of the FRG1 antibody should be determined by the researcher.

Immunogen

A synthesized peptide derived from human FRG1 was used as the immunogen for the FRG1 antibody.

Storage

Store the FRG1 antibody at -20oC.

Cross
Bulk Quote Request Form
Name*:
Organization*:
Email*:
Phone Number*:
Catalog No.*:
Comments and Specifics(amount, formulation, etc.)*:
Validation code: Captchapackage Image


Can't read the image? click here to refresh.
    *required field

Your bulk quote request has been submitted successfully!

Please contact us if you have any questions.