• Tel: 858.663.9055
  • SeparatorEmail: info@nsjbio.com
  • Tel: 858.663.9055
  • Email: info@nsjbio.com
Home >> Antibodies >> FR alpha Antibody / FOLR1

FR alpha Antibody / FOLR1 [clone FOLR1/13424R] (V5900)

  Catalog No Formulation Size Price (USD)  
Image V5900-100UG 0.2 mg/ml in 1X PBS with 0.05% BSA, 0.05% sodium azide 100 ug 559
Image
V5900-20UG 0.2 mg/ml in 1X PBS with 0.05% BSA, 0.05% sodium azide 20 ug 259
Image
V5900SAF-100UG 1 mg/ml in 1X PBS; BSA free, sodium azide free 100 ug 559
Microvalidated Recrabbitmono
Bulk quote request
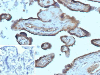
Immunohistochemistry of Folate receptor alpha in human placental tissue. Formalin-fixed, paraffin-embedded human placenta stained with recombinant FOLR1/FR alpha antibody (clone FOLR1/13424R) shows membranous staining in trophoblastic cells lining chorionic villi, with minimal signal in surrounding stromal regions. Inset shows negative control with PBS substituted for the primary antibody. Antigen retrieval was performed by heating tissue sections in 10 mM Tris with 1 mM EDTA, pH 9.0, at 95oC for 45 minutes, followed by cooling at room temperature for 20 minutes.
Western blot analysis of Folate receptor alpha expression in brain tissue lysates. Brain tissue lysates from human, mouse, rat, hamster, and guinea pig were analyzed by western blot using recombinant FOLR1/FR alpha antibody (clone FOLR1/13424R). A single immunoreactive band is detected above the predicted molecular weight. Although the predicted molecular weight of Folate receptor alpha is approximately 30 kDa based on sequence analysis, the protein is extensively glycosylated, resulting in a higher apparent molecular weight on SDS-PAGE.
SDS-PAGE Analysis of purified recombinant FOLR1/FR alpha antibody (clone FOLR1/13424R). Confirmation of Purity and Integrity of Antibody.
Species Reactivity Guinea Pig, Human, Mouse, Rat
Format Purified
Host Rabbit
Clonality Recombinant Rabbit Monoclonal
Isotype Rabbit IgG, kappa
Clone Name FOLR1/13424R
UniProt P15328
Localization Cell membrane, Cytoplasm, Secreted
Applications Immunohistochemistry (FFPE) : 1-2ug/ml
Western Blot : 2-4ug/ml
Limitations This FOLR1/FR alpha antibody is available for research use only.
Review this product on BioCompare and get a $20 Amazon gift card

Related Products

Description

FR alpha antibody is used to study Folate receptor alpha, a high-affinity folate binding protein that mediates receptor-dependent folate uptake at the cell surface. Folate receptor alpha is encoded by the FOLR1 gene and is anchored to the plasma membrane via a glycosylphosphatidylinositol linkage. This membrane association allows the receptor to concentrate folate at the cell surface and internalize it through endocytic pathways, supporting cellular processes that depend on one-carbon metabolism and nucleotide biosynthesis.

Folate receptor alpha is commonly referred to as FR alpha in the literature, particularly in studies focused on epithelial transport and cancer-associated folate metabolism. FR alpha expression is normally restricted to select epithelial tissues, where it localizes to the apical surface of polarized cells. This spatially regulated expression distinguishes FR alpha from other folate transport systems and has made it a useful marker for studying epithelial polarity, membrane trafficking, and nutrient uptake mechanisms. Use of a FR alpha antibody enables detailed examination of FR alpha distribution in tissue and cell-based models.

At the functional level, FR alpha facilitates uptake of folate by binding extracellular folate with high affinity and delivering it to intracellular compartments following endocytosis. This pathway operates independently of reduced folate carriers and is particularly important in environments where folate availability is limited. Studies using FOLR1 antibody have contributed to understanding how FR alpha-mediated transport supports proliferation and survival in rapidly dividing epithelial cells.

Aberrant expression of FR alpha has been widely documented in epithelial malignancies, most notably in ovarian carcinoma but also in subsets of lung, breast, and endometrial cancers. In these contexts, elevated FR alpha expression reflects altered metabolic demands and changes in epithelial differentiation. Detection of FR alpha using a FOLR1 antibody supports research into tumor-associated folate metabolism, epithelial lineage markers, and metabolic adaptation in cancer cells.

FR alpha antibody (clone FOLR1/13424R) is designed to detect Folate receptor alpha in research applications. Evaluation of FR alpha expression provides insight into folate transport pathways, epithelial cell organization, and disease-associated changes in nutrient uptake. Overall, Folate receptor alpha remains a key protein linking membrane transport, epithelial biology, and metabolic regulation.

Application Notes

Optimal dilution of the FOLR1/FR alpha antibody should be determined by the researcher.

Immunogen

A recombinant fragment (around amino acids 1-200) of human FOLR1 protein corresponding to the extracellular domain (exact sequence is proprietary) was used as the immuongen for the FOLR1/FR alpha antibody.

Storage

FOLR1/FR alpha antibody with sodium azide - store at 2 to 8oC; antibody without sodium azide - store at -20 to -80oC.

Cross
Bulk Quote Request Form
Name*:
Organization*:
Email*:
Phone Number*:
Catalog No.*:
Comments and Specifics(amount, formulation, etc.)*:
Validation code: Captchapackage Image


Can't read the image? click here to refresh.
    *required field

Your bulk quote request has been submitted successfully!

Please contact us if you have any questions.