• Tel: 858.663.9055
  • SeparatorEmail: info@nsjbio.com
  • Tel: 858.663.9055
  • Email: info@nsjbio.com
Home >> Antibodies >> FOXM1 Antibody / Forkhead box protein M1

FOXM1 Antibody / Forkhead box protein M1 (FY12831)

  Catalog No Formulation Size Price (USD)  
Image FY12831 Adding 0.2 ml of distilled water will yield a concentration of 500 ug/ml 100 ug 449
Bulk quote request
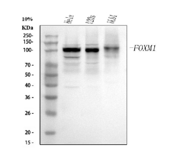
Western blot analysis of FOXM1 using anti-FOXM1 antibody. Electrophoresis was performed on a 12% SDS-PAGE gel at 80V (Stacking gel) / 120V (Resolving gel) for 2 hours. Lane 1: human Hela whole cell lysates, Lane 2: human U2OS whole cell lysates, Lane 3: human DLD1 whole cell lysates. After electrophoresis, proteins were transferred to a nitrocellulose membrane at 150 mA for 50-90 minutes. Blocked the membrane with 5% non-fat milk/TBS for 1.5 hour at RT. The membrane was incubated with rabbit anti-FOXM1 antibody at 0.5 ug/ml overnight at 4oC, then washed with TBS-0.1%Tween 3 times with 5 minutes each and probed with a goat anti-rabbit IgG-HRP secondary antibody at a dilution of 1:5000 for 1.5 hour at RT. The signal was developed using an ECL Plus Western Blotting Substrate. Major bands between ~85-105 kDa correspond to FOXM1 isoforms and phosphorylation states. The multiple closely spaced bands represent differentially phosphorylated forms of FOXM1, consistent with its activation during the G2/M phase of the cell cycle.
Availability 1-2 days
Species Reactivity Human, Mouse, Rat
Format Lyophilized
Host Rabbit
Clonality Polyclonal (rabbit origin)
Isotype Rabbit IgG
Purity Immunogen affinity purified
Buffer Each vial contains 4 mg Trehalose, 0.9 mg NaCl, 0.2 mg Na2HPO4.
UniProt Q08050
Applications Western Blot : 0.25-0.5ug/ml
Immunohistochemistry : 2-5ug/ml
ELISA : 0.1-0.5ug/ml
Immunoprecipitation : 2-4ug/500ug of lysate
Limitations This FOXM1 antibody is available for research use only.
Review this product on BioCompare and get a $20 Amazon gift card

Related Products

Description

FOXM1 antibody detects Forkhead box protein M1, a transcription factor that regulates cell cycle progression, DNA replication, and mitotic gene expression. Encoded by the FOXM1 gene on chromosome 12p13.33, this nuclear protein belongs to the Forkhead family of transcription factors, characterized by a conserved winged-helix DNA-binding domain. FOXM1 functions as a key regulator of cell proliferation by activating genes required for G1/S and G2/M phase transitions, including cyclins, PLK1, and CDC25B.

FOXM1 localizes to the nucleus during interphase and associates with condensed chromosomes during mitosis. Its activity is controlled by phosphorylation through CDKs and PLK1, which modulate DNA-binding and transcriptional activation. FOXM1 also contributes to chromatin remodeling and genomic stability by facilitating DNA repair and replication stress responses. It serves as an essential factor in tissue regeneration, stem cell renewal, and oncogenic transformation.

The FOXM1 antibody is widely used in cancer, developmental, and cell cycle research to investigate proliferation control and transcriptional regulation. Western blot analysis detects a 90 kilodalton band corresponding to FOXM1, while immunofluorescence shows strong nuclear staining in proliferating cells. This antibody enables assessment of mitotic activity and transcriptional control mechanisms in both normal and cancerous tissues.

Overexpression of FOXM1 is a hallmark of many human cancers, where it promotes tumor growth, angiogenesis, and metastasis through activation of cell cycle and invasion-related genes. Its inhibition is being explored as a therapeutic strategy for targeting rapidly dividing cells. The FOXM1 antibody provides a reliable tool for studying transcriptional regulation of proliferation and tumorigenesis. NSJ Bioreagents validates this antibody for its applications, ensuring accurate and reproducible detection for transcriptional and oncogenic research.

Application Notes

Optimal dilution of the FOXM1 antibody should be determined by the researcher.

Immunogen

E.coli-derived human FOXM1 recombinant protein (Position: Q457-P760) was used as the immunogen for the FOXM1 antibody.

Storage

After reconstitution, the FOXM1 antibody can be stored for up to one month at 4oC. For long-term, aliquot and store at -20oC. Avoid repeated freezing and thawing.

Cross
Bulk Quote Request Form
Name*:
Organization*:
Email*:
Phone Number*:
Catalog No.*:
Comments and Specifics(amount, formulation, etc.)*:
Validation code: Captchapackage Image


Can't read the image? click here to refresh.
    *required field

Your bulk quote request has been submitted successfully!

Please contact us if you have any questions.