• Tel: 858.663.9055
  • SeparatorEmail: info@nsjbio.com
  • Tel: 858.663.9055
  • Email: info@nsjbio.com
Home >> Antibodies >> FOXL2 Antibody

FOXL2 Antibody (RQ6867)

  Catalog No Formulation Size Price (USD)  
Image RQ6867 0.5mg/ml if reconstituted with 0.2ml sterile DI water 100 ug 449
Bulk quote request
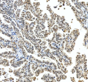
IHC staining of FFPE mouse ovary tissue with FOXL2 antibody. HIER: boil tissue sections in pH8 EDTA for 20 min and allow to cool before testing.
IHC staining of FFPE rat ovary tissue with FOXL2 antibody. HIER: boil tissue sections in pH8 EDTA for 20 min and allow to cool before testing.
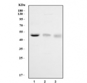
Western blot testing of 1) human Jurkat, 2) rat ovary and 3) mouse ovary tissue lysate with FOXL2 antibody. Predicted molecular weight ~38 kDa, but can be observed at 45-50 kDa.
Flow cytometry testing of fixed and permeabilized human ThP-1 cells with FOXL2 antibody at 1ug/million cells (blocked with goat sera); Red=cells alone, Green=isotype control, Blue= FOXL2 antibody.
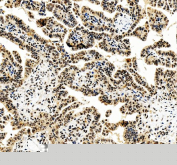
IHC staining of FFPE human ovarian cancer tissue with FOXL2 antibody, HRP-secondary and DAB substrate. HIER: boil tissue sections in pH8 EDTA for 20 min and allow to cool before testing.
IHC staining of FFPE human lung cancer tissue with FOXL2 antibody, HRP-secondary and DAB substrate. HIER: boil tissue sections in pH8 EDTA for 20 min and allow to cool before testing.
Availability 1-3 business days
Species Reactivity Human, Mouse, Rat
Format Antigen affinity purified
Host Rabbit
Clonality Polyclonal (rabbit origin)
Isotype Rabbit IgG
Purity Antigen affinity purified
Buffer Lyophilized from 1X PBS with 2% Trehalose
UniProt P58012
Localization Nuclear
Applications Western Blot : 1-2ug/ml
Immunohistochemistry (FFPE) : 2-5ug/ml
Flow Cytometry : 1-3ug/million cells
Limitations This FOXL2 antibody is available for research use only.
Review this product on BioCompare and get a $20 Amazon gift card

Related Products

Description

FOXL2 (Forkhead box protein L2) is a transcription factor belonging to the forkhead/winged-helix family, characterized by a conserved DNA-binding domain that regulates gene expression during development and tissue maintenance. FOXL2 is predominantly expressed in ovarian granulosa cells and certain ocular tissues, where it plays key roles in cell differentiation, growth regulation, and long-term tissue homeostasis.

Functionally, FOXL2 is involved in pathways that influence folliculogenesis, hormone signaling, and extracellular matrix remodeling. It also participates in broader transcriptional networks that coordinate cell identity and developmental timing. Due to its specific expression profile, FOXL2 serves as an important marker in developmental biology and reproductive research.

The FOXL2 antibody enables precise detection of endogenous FOXL2 in applications such as western blot, immunohistochemistry, and immunofluorescence. Researchers use the FOXL2 antibody from NSJ Bioreagents to measure protein levels, determine subcellular localization, and study transcription factor activity under defined experimental conditions. With high specificity and consistent performance, the FOXL2 antibody supports detailed investigations into transcriptional regulation, reproductive biology, and developmental gene networks.

Application Notes

Optimal dilution of the FOXL2 antibody should be determined by the researcher.

Immunogen

Amino acids ACARQPELAMMHCSYWDHD from the human protein were used as the immunogen for the FOXL2 antibody.

Storage

After reconstitution, the FOXL2 antibody can be stored for up to one month at 4oC. For long-term, aliquot and store at -20oC. Avoid repeated freezing and thawing.

Cross
Bulk Quote Request Form
Name*:
Organization*:
Email*:
Phone Number*:
Catalog No.*:
Comments and Specifics(amount, formulation, etc.)*:
Validation code: Captchapackage Image


Can't read the image? click here to refresh.
    *required field

Your bulk quote request has been submitted successfully!

Please contact us if you have any questions.