• Tel: 858.663.9055
  • SeparatorEmail: info@nsjbio.com
  • Tel: 858.663.9055
  • Email: info@nsjbio.com
Home >> Antibodies >> FOXE1 Antibody / Forkhead box protein E1

FOXE1 Antibody / Forkhead box protein E1 (R33201)

  Catalog No Formulation Size Price (USD)  
Image R33201-100UG 0.5 mg/ml in 1X TBS, pH7.3, with 0.5% BSA (US sourced) and 0.02% sodium azide 100 ug 475
Bulk quote request
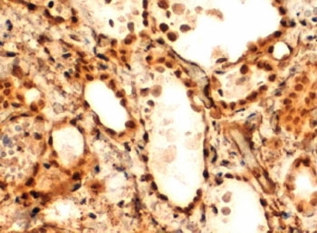
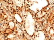
IHC testing of FFPE human thyroid gland with FOXE1 antibody at 2ug/ml. HIER: steamed with pH9 Tris/EDTA buffer, HRP-staining.
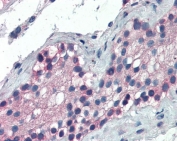
IHC testing of FFPE human testis with FOXE1 antibody at 5ug/ml. HIER: steamed with pH9 Tris/EDTA buffer, AP-staining.
Availability 1-3 business days
Species Reactivity Human
Format Antigen affinity purified
Host Goat
Clonality Polyclonal (goat origin)
Isotype Goat Ig
Purity Antigen affinity
UniProt O00358
Gene ID 2304
Applications Immunohistochemistry (FFPE) : 2-5ug/ml
ELISA (peptide) LOD : 1:8000
Limitations This FOXE1 antibody is available for research use only.
Review this product on BioCompare and get a $20 Amazon gift card

Description

FOXE1 antibody targets Forkhead box protein E1, encoded by the FOXE1 gene. Forkhead box protein E1 is a nuclear transcription factor belonging to the forkhead box (FOX) family, characterized by a conserved DNA-binding forkhead domain. FOXE1 plays a critical role in transcriptional regulation during development, particularly in tissues derived from the endoderm. It localizes predominantly to the nucleus, where it binds specific DNA motifs to control gene expression programs essential for cell fate determination and tissue morphogenesis.

Functionally, Forkhead box protein E1 is best known for its role in thyroid development and differentiation. FOXE1 regulates expression of genes involved in thyroid hormone biosynthesis, epithelial cell organization, and developmental patterning. Through its transcriptional activity, FOXE1 helps coordinate proliferation, migration, and differentiation of precursor cells during organ formation. A FOXE1 antibody supports studies focused on transcriptional regulation, developmental biology, and tissue-specific gene expression.

FOXE1 expression is tightly regulated and largely restricted to specific tissues, with highest relevance in the thyroid and other epithelial structures during development. Its nuclear localization and transcription factor activity make FOXE1 a useful marker for studying lineage specification and differentiation status. FOXE1 can interact with other transcription factors and co-regulators, allowing integration of multiple signaling pathways into coordinated transcriptional outputs.

From a disease-relevance perspective, altered FOXE1 expression or function has been associated with congenital thyroid disorders, including thyroid dysgenesis and hypothyroidism. FOXE1 has also been investigated in cancer biology, particularly in thyroid cancer, where changes in its expression may influence tumor differentiation state and progression. These associations position FOXE1 as an important target for research into developmental disorders and endocrine-related cancers.

At the molecular level, Forkhead box protein E1 contains the conserved forkhead DNA-binding domain along with regulatory regions that modulate transcriptional activity. Post-translational regulation and interaction with cofactors can influence its transcriptional function and apparent behavior in biochemical assays without altering the primary amino acid sequence. FOXE1 antibody reagents support research applications focused on transcription factor biology, developmental regulation, and disease-associated gene expression, with NSJ Bioreagents providing reagents intended for research use.

Application Notes

Optimal dilution of the FOXE1 antibody should be determined by the researcher.

Immunogen

Amino acids AYPGGIDRFVSAM were used as the immunogen for this FOXE1 antibody.

Storage

Aliquot and store the FOXE1 antibody at -20oC.

Cross
Bulk Quote Request Form
Name*:
Organization*:
Email*:
Phone Number*:
Catalog No.*:
Comments and Specifics(amount, formulation, etc.)*:
Validation code: Captchapackage Image


Can't read the image? click here to refresh.
    *required field

Your bulk quote request has been submitted successfully!

Please contact us if you have any questions.