• Tel: 858.663.9055
  • SeparatorEmail: info@nsjbio.com
  • Tel: 858.663.9055
  • Email: info@nsjbio.com
Home >> Antibodies >> Formin Antibody / FMN1

Formin Antibody / FMN1 (R32977)

  Catalog No Formulation Size Price (USD)  
Image R32977 0.5mg/ml if reconstituted with 0.2ml sterile DI water 100 ug 449
Bulk quote request
Western blot testing of 1) rat brain and 2) mouse brain lysate with Formin antibody at 0.5ug/ml. Predicted molecular weight: ~158 kDa (isoform 1) and ~132 kDa (isoform 5).
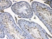
IHC testing of FFPE mouse testis tissue with Formin antibody at 1ug/ml. Required HIER: steam section in pH6 citrate buffer for 20 min and allow to cool prior to testing.
IHC testing of FFPE rat testis tissue with Formin antibody at 1ug/ml. Required HIER: steam section in pH6 citrate buffer for 20 min and allow to cool prior to testing.
Availability 1-3 business days
Species Reactivity Mouse, Rat
Predicted Reactivity Human
Format Antigen affinity purified
Host Rabbit
Clonality Polyclonal (rabbit origin)
Isotype Rabbit IgG
Purity Antigen affinity
Buffer Lyophilized from 1X PBS with 2.5% BSA, 0.025% sodium azide
UniProt Q68DA7
Localization Cytoplasmic, membranous
Applications Western Blot : 0.5-1ug/ml
IHC (FFPE) : 1-2ug/ml
Limitations This Formin antibody is available for research use only.
Review this product on BioCompare and get a $20 Amazon gift card

Description

Formins, such as FMN1, are actin-nucleating proteins involved in cell polarity, cytokinesis, cell migration, and transcriptional activity. This FMN1 gene belongs to the formin homology family and encodes a protein that has a role in the formation of adherens junction and the polymerization of linear actin cables. The homologous gene in mouse is associated with limb deformity. Alternatively spliced transcript variants have been found for this gene.

Application Notes

Optimal dilution of the Formin antibody should be determined by the researcher.

Immunogen

A recombinant human protein corresponding to amino acids N1195-N1419 was used as the immunogen for the Formin antibody.

Storage

After reconstitution, the Formin antibody can be stored for up to one month at 4oC. For long-term, aliquot and store at -20oC. Avoid repeated freezing and thawing.

Cross
Bulk Quote Request Form
Name*:
Organization*:
Email*:
Phone Number*:
Catalog No.*:
Comments and Specifics(amount, formulation, etc.)*:
Validation code: Captchapackage Image


Can't read the image? click here to refresh.
    *required field

Your bulk quote request has been submitted successfully!

Please contact us if you have any questions.