• Tel: 858.663.9055
  • SeparatorEmail: info@nsjbio.com
  • Tel: 858.663.9055
  • Email: info@nsjbio.com
Home >> Antibodies >> Folliculin Antibody / FLCN

Folliculin Antibody / FLCN (RQ5662)

  Catalog No Formulation Size Price (USD)  
Image RQ5662 0.5mg/ml if reconstituted with 0.2ml sterile DI water 100 ug 449
Bulk quote request
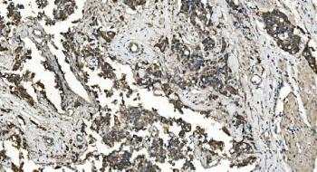
IHC staining of FFPE human bladder cancer with Folliculin antibody. HIER: boil tissue sections in pH8 EDTA for 20 min and allow to cool before testing.
IHC staining of FFPE human bladder cancer with Folliculin antibody. HIER: boil tissue sections in pH8 EDTA for 20 min and allow to cool before testing.
IHC staining of FFPE human rectal cancer with Folliculin antibody. HIER: boil tissue sections in pH8 EDTA for 20 min and allow to cool before testing.
IHC staining of FFPE human rectal cancer with Folliculin antibody. HIER: boil tissue sections in pH8 EDTA for 20 min and allow to cool before testing.
IHC staining of FFPE human liver cancer with Folliculin antibody. HIER: boil tissue sections in pH8 EDTA for 20 min and allow to cool before testing.
IHC staining of FFPE human appendicitis tissue with Folliculin antibody. HIER: boil tissue sections in pH8 EDTA for 20 min and allow to cool before testing.
IHC staining of FFPE human skin cancer with Folliculin antibody. HIER: boil tissue sections in pH8 EDTA for 20 min and allow to cool before testing.
Immunofluorescent staining of FFPE human U-2 OS cells with Folliculin antibody (green) and DAPI nuclear stain (blue). HIER: steam section in pH6 citrate buffer for 20 min.
Western blot testing of human 1) A431, 2) SK-OV-3, 3) HepG2, 4) rat kidney and 5) mouse kidney lysate with Folliculin antibody. Expected molecular weight: 64-70 kDa.
Flow cytometry testing of human U937 cells with Folliculin antibody at 1ug/million cells (blocked with goat sera); Red=cells alone, Green=isotype control, Blue= Folliculin antibody.
Flow cytometry testing of human Caco-2 cells with Folliculin antibody at 1ug/million cells (blocked with goat sera); Red=cells alone, Green=isotype control, Blue= Folliculin antibody.
Western blot testing of 1) human HeLa, 2) human 293T, 3) human A549 and 4) rat kidney tissue lysate with Folliculin antibody. Expected molecular weight: 64-70 kDa.
Availability 1-3 business days
Species Reactivity Human, Mouse, Rat
Format Antigen affinity purified
Host Rabbit
Clonality Polyclonal
Isotype Rabbit IgG
Purity Affinity purified
Buffer Lyophilized from 1X PBS with 2% Trehalose and 0.025% sodium azide
UniProt Q8NFG4
Applications Western Blot : 0.5-1ug/ml
Immunohistochemistry : 1-2ug/ml
Immunofluorescence : 2-4ug/ml
Flow Cytometry : 1-3ug/million cells
Direct ELISA : 0.1-0.5ug/ml
Limitations This Folliculin antibody is available for research use only.
Review this product on BioCompare and get a $20 Amazon gift card

Description

Folliculin also known as FLCN, Birt-Hogg-Dube syndrome protein or FLCN_HUMAN is a protein that in humans is associated with Birt-Hogg-Dube syndrome and hereditary spontaneous pneumothorax. It is encoded by the Folliculin (FLCN) gene (alias BHD, FLCL) that acts as a tumor suppressor gene. It is mapped to 17p11.2. This gene is located within the Smith-Magenis syndrome region on chromosome 17. Mutations in this gene are associated with Birt-Hogg-Dube syndrome, which is characterized by fibrofolliculomas, renal tumors, lung cysts, and pneumothorax. Alternative splicing of this gene results in two transcript variants encoding different isoforms.

Application Notes

Optimal dilution of the Folliculin antibody should be determined by the researcher.

Immunogen

Recombinant human protein (amino acids C8-K551) was used as the immunogen for the Folliculin antibody.

Storage

After reconstitution, the Folliculin antibody can be stored for up to one month at 4oC. For long-term, aliquot and store at -20oC. Avoid repeated freezing and thawing.

Cross
Bulk Quote Request Form
Name*:
Organization*:
Email*:
Phone Number*:
Catalog No.*:
Comments and Specifics(amount, formulation, etc.)*:
Validation code: Captchapackage Image


Can't read the image? click here to refresh.
    *required field

Your bulk quote request has been submitted successfully!

Please contact us if you have any questions.