• Tel: 858.663.9055
  • SeparatorEmail: info@nsjbio.com
  • Tel: 858.663.9055
  • Email: info@nsjbio.com
Home >> Antibodies >> FOLH1 Antibody

FOLH1 Antibody [clone FOLH1/3734] (V8379)

  Catalog No Formulation Size Price (USD)  
Image V8379-100UG 0.2 mg/ml in 1X PBS with 0.1 mg/ml BSA (US sourced) and 0.05% sodium azide 100 ug 559
Image
V8379-20UG 0.2 mg/ml in 1X PBS with 0.1 mg/ml BSA (US sourced) and 0.05% sodium azide 20 ug 259
Image
V8379SAF-100UG 1 mg/ml in 1X PBS; BSA free, sodium azide free 100 ug 559
Microvalidated
Bulk quote request
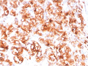
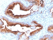
FOLH1 Antibody Prostate Cancer Immunohistochemistry. IHC staining of FFPE human prostate carcinoma with FOLH1 antibody. HIER: boil tissue sections in pH 9 10mM Tris with 1mM EDTA for 20 min and allow to cool before testing.
FOLH1 Antibody Prostate Cancer Immunohistochemistry. IHC staining of FFPE human prostate carcinoma with FOLH1 antibody. HIER: boil tissue sections in pH 9 10mM Tris with 1mM EDTA for 20 min and allow to cool before testing.
Western blot testing of human LNCaP lysate with FOLH1 antibody. Predicted molecular weight ~100 kDa.
Analysis of HuProt(TM) microarray containing more than 19,000 full-length human proteins using FOLH1 antibody. These results demonstrate the foremost specificity of the FOLH1/3734 mAb. Z- and S- score: The Z-score represents the strength of a signal that an antibody (in combination with a fluorescently-tagged anti-IgG secondary Ab) produces when binding to a particular protein on the HuProt(TM) array. Z-scores are described in units of standard deviations (SD's) above the mean value of all signals generated on that array. If the targets on the HuProt(TM) are arranged in descending order of the Z-score, the S-score is the difference (also in units of SD's) between the Z-scores. The S-score therefore represents the relative target specificity of an Ab to its intended target.
FOLH1 Antibody Human Brain WB. Western blot analysis of human brain tissue lysate using FOLH1 antibody clone FOLH1/3734. A distinct band is detected at approximately 100 kDa, consistent with the expected molecular weight of Folate hydrolase 1 / FOLH1, also known as Prostate-specific membrane antigen / PSMA. The observed signal is consistent with known expression of FOLH1-associated glutamate and folate metabolism pathways within neural tissue environments.
Availability 1-3 business days
Species Reactivity Human
Format Purified
Host Mouse
Clonality Monoclonal (mouse origin)
Isotype Mouse IgG1, kappa
Clone Name FOLH1/3734
Purity Protein G affinity chromatography
UniProt Q04609
Localization Cell surface and Cytoplasmic
Applications Western Blot : 1-2ug/ml
Immunohistochemistry (FFPE) : 1-2ug/ml for 30 minutes at RT
Limitations This FOLH1 antibody is available for research use only.
Review this product on BioCompare and get a $20 Amazon gift card

Related Products

Description

Folate hydrolase 1 (FOLH1), also known as Prostate-specific membrane antigen (PSMA), is a type II transmembrane glycoprotein belonging to the M28 peptidase family. FOLH1 has two enzymatic activities, one as a prostate-specific integral membrane folate hydrolase and the other as a carboxypeptidase In the prostate the protein is up-regulated in cancerous cells and is used as an effective diagnostic and prognostic indicator of prostate cancer.

Researchers studying prostate cancer biology, PSMA-associated signaling, and folate metabolism pathways may also be interested in our FOLH1 Antibody / Prostate Cancer and PSMA Marker page featuring validated immunohistochemistry, western blot, and protein microarray specificity data for prostate cancer research.

Application Notes

Optimal dilution of the FOLH1 antibody should be determined by the researcher.

Immunogen

A portion of amino acids 44-177 from the human protein was used as the immunogen for the FOLH1 antibody.

Storage

Store the FOLH1 antibody at 2-8oC (with azide) or aliquot and store at -20oC or colder (without azide).

Cross
Bulk Quote Request Form
Name*:
Organization*:
Email*:
Phone Number*:
Catalog No.*:
Comments and Specifics(amount, formulation, etc.)*:
Validation code: Captchapackage Image


Can't read the image? click here to refresh.
    *required field

Your bulk quote request has been submitted successfully!

Please contact us if you have any questions.