• Tel: 858.663.9055
  • SeparatorEmail: info@nsjbio.com
  • Tel: 858.663.9055
  • Email: info@nsjbio.com
Home >> Antibodies >> Folate Receptor alpha Antibody / FOLR1

Folate Receptor alpha Antibody / FOLR1 (F54555)

  Catalog No Formulation Size Price (USD)  
Image F54555-0.4ML In 1X PBS, pH 7.4, with 0.09% sodium azide 0.4 ml 439
Image
F54555-0.08ML In 1X PBS, pH 7.4, with 0.09% sodium azide 0.08 ml 205
Bulk quote request
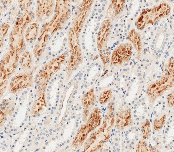
IHC testing of FFPE human kidney tissue with Folate Receptor alpha antibody. HIER: steam section in pH6 citrate buffer for 20 min and allow to cool prior to staining.
Western blot testing of human 1) 293T and 2) A549 cell lysate with Folate Receptor alpha antibody. Predicted molecular weight ~30 kDa but may be observed at higher molecular weights due to glycosylation.
Western blot testing of human HeLa cell lysate with Folate Receptor alpha antibody. Predicted molecular weight ~30 kDa but may be observed at higher molecular weights due to glycosylation.
Flow cytometry testing of fixed and permeabilized human HeLa cells with Folate Receptor alpha antibody; Blue=isotype control, Green= Folate Receptor alpha antibody.
Availability 1-3 business days
Species Reactivity Human
Format Purified
Host Rabbit
Clonality Polyclonal (rabbit origin)
Isotype Rabbit Ig
Purity Antigen affinity purified
UniProt P15328
Localization Cytoplasmic
Applications Western Blot : 1:500-1:2000
Flow Cytometry : 1:25 (1x10e6 cells)
Immunohistochemistry (FFPE) : 1:25
Limitations This Folate Receptor alpha antibody is available for research use only.
Review this product on BioCompare and get a $20 Amazon gift card

Related Products

Description

The protein encoded by this gene is a member of the folate receptor family. Members of this gene family bind folic acid and its reduced derivatives, and transport 5-methyltetrahydrofolate into cells. This gene product is a secreted protein that either anchors to membranes via a glycosyl-phosphatidylinositol linkage or exists in a soluble form. Mutations in this gene have been associated with neurodegeneration due to cerebral folate transport deficiency. Due to the presence of two promoters, multiple transcription start sites, and alternative splicing, multiple transcript variants encoding the same protein have been found for this gene.

Application Notes

The stated application concentrations are suggested starting points. Titration of the Folate Receptor alpha antibody may be required due to differences in protocols and secondary/substrate sensitivity.

Immunogen

A portion of amino acids 33-68 from the human protein was used as the immunogen for the Folate Receptor alpha antibody.

Storage

Aliquot the Folate Receptor alpha antibody and store frozen at -20oC or colder. Avoid repeated freeze-thaw cycles.

Cross
Bulk Quote Request Form
Name*:
Organization*:
Email*:
Phone Number*:
Catalog No.*:
Comments and Specifics(amount, formulation, etc.)*:
Validation code: Captchapackage Image


Can't read the image? click here to refresh.
    *required field

Your bulk quote request has been submitted successfully!

Please contact us if you have any questions.