• Tel: 858.663.9055
  • SeparatorEmail: info@nsjbio.com
  • Tel: 858.663.9055
  • Email: info@nsjbio.com
Home >> Antibodies >> Folate receptor alpha Antibody / FOLR1

Folate receptor alpha Antibody / FOLR1 [clone FOLR1/12910R] (V5899)

  Catalog No Formulation Size Price (USD)  
Image V5899-100UG 0.2 mg/ml in 1X PBS with 0.05% BSA, 0.05% sodium azide 100 ug 559
Image
V5899-20UG 0.2 mg/ml in 1X PBS with 0.05% BSA, 0.05% sodium azide 20 ug 259
Image
V5899SAF-100UG 1 mg/ml in 1X PBS; BSA free, sodium azide free 100 ug 559
Microvalidated Recrabbitmono
Bulk quote request
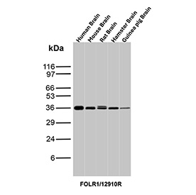
Western blot analysis of Folate receptor alpha expression in brain tissue lysates. Brain tissue lysates from human, mouse, rat, hamster, and guinea pig were analyzed by western blot using FOLR1/Folate receptor alpha antibody (clone FOLR1/12910R). A single immunoreactive band is detected above the predicted molecular weight. Although the predicted molecular weight of Folate receptor alpha is approximately 30 kDa based on sequence analysis, the protein is extensively glycosylated, resulting in a higher apparent molecular weight on SDS-PAGE.
SDS-PAGE Analysis of Purified FOLR1/Folate Receptor Alpha antibody (clone FOLR1/12910R). Confirmation of Purity and Integrity of Antibody.
Species Reactivity Guinea Pig, Hamster, Human, Mouse, Rat
Format Purified
Host Rabbit
Clonality Recombinant Rabbit Monoclonal
Isotype Rabbit IgG, kappa
Clone Name FOLR1/12910R
UniProt P15328
Localization Cell membrane, Cytoplasm, Secreted
Applications Immunohistochemistry (FFPE) : 1-2ug/ml
Western Blot : 2-4ug/ml
Limitations This FOLR1/Folate receptor alpha antibody is available for research use only.
Review this product on BioCompare and get a $20 Amazon gift card

Related Products

Description

Folate receptor alpha antibody is commonly used to study Folate receptor alpha, a high-affinity folate binding protein that mediates cellular folate uptake through receptor-dependent endocytosis. Folate receptor alpha is encoded by the FOLR1 gene and belongs to a specialized class of folate transporters that operate independently of reduced folate carriers. By concentrating folate at the cell surface and facilitating internalization, Folate receptor alpha supports one-carbon metabolism, nucleotide biosynthesis, and cellular proliferation in folate-dependent tissues.

Folate receptor alpha is a glycosylphosphatidylinositol-anchored protein localized primarily to the plasma membrane, where it exhibits strong affinity for oxidized folate forms. This membrane anchoring distinguishes Folate receptor alpha from transmembrane folate transporters and contributes to its polarized distribution in epithelial cells. Studies using FOLR1 antibody have been central to defining receptor localization, ligand binding behavior, and intracellular trafficking following folate uptake.

Expression of Folate receptor alpha is normally restricted to select epithelial tissues, including placenta, kidney, and certain secretory epithelia, where it localizes to the apical cell surface. This restricted expression pattern reflects tissue-specific folate requirements and epithelial polarity. In experimental systems, detection of Folate receptor alpha using a FOLR1 antibody enables investigation of epithelial differentiation, membrane organization, and nutrient transport pathways.

Dysregulated expression of Folate receptor alpha has been widely documented in epithelial malignancies, particularly those arising from tissues that normally express FOLR1 at low levels. In these contexts, increased Folate receptor alpha expression is thought to reflect altered metabolic demand and changes in folate utilization. Use of a Folate receptor alpha antibody supports research into folate metabolism, epithelial tumor biology, and membrane-associated receptor dynamics without reliance on tumor-associated antigen nomenclature.

Folate receptor alpha antibody (clone FOLR1/12910R) is designed to detect Folate receptor alpha in research applications. Assessment of FOLR1 expression and localization provides insight into folate binding capacity, membrane-associated transport mechanisms, and tissue-specific metabolic regulation. Overall, Folate receptor alpha remains a fundamental protein for studies of folate biology, epithelial physiology, and disease-associated metabolic adaptation.

Application Notes

Optimal dilution of the FOLR1/Folate receptor alpha antibody should be determined by the researcher.

Immunogen

A recombinant fragment of human FOLR1 protein (exact sequence is proprietary) was used as the immuongen for the FOLR1/Folate receptor alpha antibody.

Storage

FOLR1/Folate receptor alpha antibody with sodium azide - store at 2 to 8oC; antibody without sodium azide - store at -20 to -80oC.

Cross
Bulk Quote Request Form
Name*:
Organization*:
Email*:
Phone Number*:
Catalog No.*:
Comments and Specifics(amount, formulation, etc.)*:
Validation code: Captchapackage Image


Can't read the image? click here to refresh.
    *required field

Your bulk quote request has been submitted successfully!

Please contact us if you have any questions.