• Tel: 858.663.9055
  • SeparatorEmail: info@nsjbio.com
  • Tel: 858.663.9055
  • Email: info@nsjbio.com
Home >> Antibodies >> FLT3 Antibody / Fms-like tyrosine kinase 3

FLT3 Antibody / Fms-like tyrosine kinase 3 [clone FLT3/9884] (V5705)

  Catalog No Formulation Size Price (USD)  
Image V5705-100UG 0.2 mg/ml in 1X PBS with 0.1 mg/ml BSA (US sourced), 0.05% sodium azide 100 ug 559
Image
V5705-20UG 0.2 mg/ml in 1X PBS with 0.1 mg/ml BSA (US sourced), 0.05% sodium azide 20 ug 259
Image
V5705SAF-100UG 1 mg/ml in 1X PBS; BSA free, sodium azide free 100 ug 559
Bulk quote request
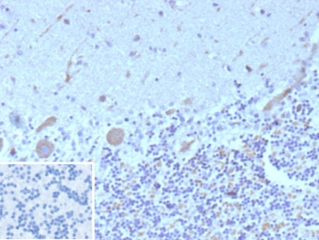
IHC staining of FFPE human brain tissue with FLT3 antibody (clone FLT3/9884). Inset: PBS used in place of primary Ab (secondary Ab negative control). HIER: boil tissue sections in pH 9 10mM Tris with 1mM EDTA for 20 min and allow to cool before testing.
SDS-PAGE analysis of purified, BSA-free FLT3 antibody (clone FLT3/9884) as confirmation of integrity and purity.
Availability 1-3 business days
Species Reactivity Human
Format Purified
Host Mouse
Clonality Monoclonal (mouse origin)
Isotype Mouse IgG
Clone Name FLT3/9884
Purity Protein A/G affinity
UniProt P36888
Localization Endoplasmic reticulum lumen, Membrane
Applications Immunohistochemistry (FFPE) : 1-2ug/ml
Limitations This FLT3 antibody is available for research use only.
Review this product on BioCompare and get a $20 Amazon gift card

Related Products

Description

Tyrosine-protein kinase that acts as a cell-surface receptor for the cytokine FLT3LG and regulates differentiation, proliferation and survival of hematopoietic progenitor cells and of dendritic cells. [UniProt]

For broader receptor tyrosine kinase and leukemia-associated signaling research applications, explore our FLT3 Antibody / Receptor Tyrosine Kinase Marker page.

Application Notes

Optimal dilution of the FLT3 antibody should be determined by the researcher.

Immunogen

A portion of amino acids 500-800 from human FLT3 protein was used as the immunogen for the FLT3 antibody.

Storage

Aliquot the FLT3 antibody and store frozen at -20oC or colder. Avoid repeated freeze-thaw cycles.

Cross
Bulk Quote Request Form
Name*:
Organization*:
Email*:
Phone Number*:
Catalog No.*:
Comments and Specifics(amount, formulation, etc.)*:
Validation code: Captchapackage Image


Can't read the image? click here to refresh.
    *required field

Your bulk quote request has been submitted successfully!

Please contact us if you have any questions.