• Tel: 858.663.9055
  • SeparatorEmail: info@nsjbio.com
  • Tel: 858.663.9055
  • Email: info@nsjbio.com
Home >> Antibodies >> FLT3 Antibody / Receptor Tyrosine Kinase Marker

FLT3 Antibody / Receptor Tyrosine Kinase Marker [clone FLT3/9883] (V5704)

  Catalog No Formulation Size Price (USD)  
Image V5704-100UG 0.2 mg/ml in 1X PBS with 0.1 mg/ml BSA (US sourced), 0.05% sodium azide 100 ug 559
Image
V5704-20UG 0.2 mg/ml in 1X PBS with 0.1 mg/ml BSA (US sourced), 0.05% sodium azide 20 ug 259
Image
V5704SAF-100UG 1 mg/ml in 1X PBS; BSA free, sodium azide free 100 ug 559
Bulk quote request
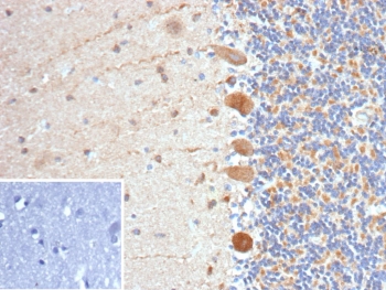
FLT3 Antibody Brain IHC. Immunohistochemistry analysis of FFPE human cerebellum tissue stained with FLT3 Antibody / Receptor Tyrosine Kinase Marker. Distinct HRP-DAB brown staining is observed in scattered neuronal cell populations and adjacent cellular elements within the cerebellar region, consistent with expression of Fms-like tyrosine kinase 3 / FLT3, a class III receptor tyrosine kinase involved in developmental and hematopoietic signaling pathways.
SDS-PAGE analysis of purified, BSA-free FLT3 antibody (clone FLT3/9883) as confirmation of integrity and purity.
Availability 1-3 business days
Species Reactivity Human
Format Purified
Host Mouse
Clonality Monoclonal (mouse origin)
Isotype Mouse IgG
Clone Name FLT3/9883
Purity Protein A/G affinity
UniProt P36888
Localization Cell membrane, cytoplasm
Applications Immunohistochemistry (FFPE) : 1-2ug/ml
Limitations This FLT3 Antibody / Receptor Tyrosine Kinase Marker is available for research use only.
Review this product on BioCompare and get a $20 Amazon gift card

Related Products

Description

Fms-like tyrosine kinase 3 (FLT3), also known as CD135, is a class III receptor tyrosine kinase involved in hematopoietic development, progenitor cell signaling, and cytokine-responsive cellular regulation pathways. FLT3 Antibody / Receptor Tyrosine Kinase Marker is suitable for investigations involving hematopoietic signaling, leukemia-associated biology, receptor tyrosine kinase pathways, and cellular differentiation-associated signaling mechanisms. FLT3 is primarily expressed within hematopoietic progenitor populations and participates in pathways regulating proliferation, survival, and developmental signaling responses.

FLT3 antibody, also referred to as CD135 antibody, Fms-like tyrosine kinase 3 antibody, FLK2 antibody, and Hematopoietic receptor tyrosine kinase antibody in the literature, recognizes a transmembrane signaling receptor associated with cytokine-responsive hematopoietic regulation. Binding of FLT3 ligand activates intracellular signaling pathways including PI3K-AKT, MAPK, and STAT-associated regulatory cascades involved in cellular proliferation and developmental signaling control. Through these pathways, FLT3 contributes to maintenance of hematopoietic progenitor cell populations and regulation of lineage-associated differentiation programs.

FLT3 has attracted substantial interest in oncology research because activating FLT3 mutations are among the most clinically significant signaling abnormalities identified in acute myeloid leukemia (AML). Internal tandem duplication (FLT3-ITD) and tyrosine kinase domain mutations can drive constitutive receptor activation and oncogenic signaling. Because of this biology, FLT3 remains widely investigated in leukemia-associated signaling pathways, hematologic malignancy biology, and receptor tyrosine kinase-targeted therapeutic research environments.

Class III receptor tyrosine kinases participate in pathways controlling proliferation, differentiation, cytokine signaling, and developmental cellular responses. FLT3 signaling has additionally been implicated in immune-associated regulatory mechanisms and progenitor cell-associated signaling networks. Because receptor tyrosine kinases influence multiple interconnected signaling pathways, FLT3 remains relevant for investigations involving hematopoietic regulation, leukemia biology, and developmental signaling-associated cellular control mechanisms.

Immunohistochemistry analysis supports detection of endogenous FLT3 expression in human tissue, consistent with the expected distribution pattern of this receptor tyrosine kinase-associated signaling protein. Clone FLT3/9883 mouse monoclonal antibody can support investigations involving leukemia-associated signaling pathways, receptor tyrosine kinase biology, hematopoietic differentiation, and oncology-associated cellular regulation.

An antibody targeting FLT3 can therefore support studies involving hematopoietic progenitor signaling, receptor tyrosine kinase-associated pathways, leukemia biology, cytokine-responsive cellular regulation, and oncogenic signaling-associated cellular mechanisms.

FLT3 participates in hematopoietic signaling and leukemia-associated receptor tyrosine kinase pathways; explore related oncology and signaling proteins on our Cancer Antibodies page.

Application Notes

Optimal dilution of the FLT3 Antibody / Receptor Tyrosine Kinase Marker should be determined by the researcher.

Immunogen

A portion of amino acids 500-800 from human FLT3 protein was used as the immunogen for the FLT3 antibody.

Storage

Aliquot the FLT3 antibody and store frozen at -20oC or colder. Avoid repeated freeze-thaw cycles.

Alternate Names

FLT3 antibody, CD135 antibody, Fms-like tyrosine kinase 3 antibody, FLK2 antibody, Hematopoietic receptor tyrosine kinase antibody

Cross
Bulk Quote Request Form
Name*:
Organization*:
Email*:
Phone Number*:
Catalog No.*:
Comments and Specifics(amount, formulation, etc.)*:
Validation code: Captchapackage Image


Can't read the image? click here to refresh.
    *required field

Your bulk quote request has been submitted successfully!

Please contact us if you have any questions.