• Tel: 858.663.9055
  • SeparatorEmail: info@nsjbio.com
  • Tel: 858.663.9055
  • Email: info@nsjbio.com
Home >> Antibodies >> FLIP Antibody / c-FLIP

FLIP Antibody / c-FLIP (RQ4452)

  Catalog No Formulation Size Price (USD)  
Image RQ4452 0.5mg/ml if reconstituted with 0.2ml sterile DI water 100 ug 449
Bulk quote request
Western blot testing of human 1) HeLa, 2) placenta, 3) COLO-320, 4) PANC-1, 5) HepG2, 6) MDA-MB-231 and 7) mouse NIH3T3 lysate with FLIP antibody at 0.5ug/ml. Predicted molecular weight ~55 kDa (long form), observed here at ~43 kDa (p43c-FLIP).
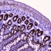
IHC testing of FFPE mouse small intestine tissue with FLIP antibody at 2ug/ml. HIER: boil tissue sections in pH6, 10mM citrate buffer, for 10-20 min followed by cooling at RT for 20 min.
IHC testing of FFPE rat small intestine tissue with FLIP antibody at 2ug/ml. HIER: boil tissue sections in pH6, 10mM citrate buffer, for 10-20 min followed by cooling at RT for 20 min.
Availability 1-3 business days
Species Reactivity Human, Mouse, Rat
Format Antigen affinity purified
Host Rabbit
Clonality Polyclonal (rabbit origin)
Isotype Rabbit IgG
Purity Antigen affinity
Buffer Lyophilized from 1X PBS with 2% Trehalose and 0.025% sodium azide
UniProt O15519
Applications Western Blot : 0.5-1ug/ml
Immunohistochemistry (FFPE) : 1-2ug/ml
Direct ELISA : 0.1-0.5ug/ml (human recombinant protein)
Limitations This FLIP antibody is available for research use only.
Review this product on BioCompare and get a $20 Amazon gift card

Description

CASP8 and FADD-like apoptosis regulator, also called c-FLIP (FLICE-like inhibitory protein), is a protein that in humans is encoded by the CFLAR gene. The protein encoded by this gene is a regulator of apoptosis and is structurally similar to caspase-8. However, the encoded protein lacks caspase activity and appears to be itself cleaved into two peptides by caspase-8. Several transcript variants encoding different isoforms have been found for this gene, and partial evidence for several more variants exists.

Application Notes

Optimal dilution of the FLIP antibody should be determined by the researcher.

Immunogen

Human FLIP recombinant protein (amino acids M1-D376) was used as the immunogen for the FLIP antibody.

Storage

After reconstitution, the FLIP antibody can be stored for up to one month at 4oC. For long-term, aliquot and store at -20oC. Avoid repeated freezing and thawing.

Cross
Bulk Quote Request Form
Name*:
Organization*:
Email*:
Phone Number*:
Catalog No.*:
Comments and Specifics(amount, formulation, etc.)*:
Validation code: Captchapackage Image


Can't read the image? click here to refresh.
    *required field

Your bulk quote request has been submitted successfully!

Please contact us if you have any questions.