• Tel: 858.663.9055
  • SeparatorEmail: info@nsjbio.com
  • Tel: 858.663.9055
  • Email: info@nsjbio.com
Home >> Antibodies >> FLI1 Antibody / Friend leukemia integration 1

FLI1 Antibody / Friend leukemia integration 1 [clone FLI1/4371R] (V4217)

  Catalog No Formulation Size Price (USD)  
Image V4217-100UG 0.2 mg/ml in 1X PBS with 0.1 mg/ml BSA (US sourced), 0.05% sodium azide 100 ug 539
Image
V4217-20UG 0.2 mg/ml in 1X PBS with 0.1 mg/ml BSA (US sourced), 0.05% sodium azide 20 ug 249
Image
V4217SAF-100UG 1 mg/ml in 1X PBS; BSA free, sodium azide free 100 ug 539
Microvalidated Recrabbitmono
Bulk quote request
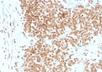
IHC staining of FFPE human Ewing's Sarcoma (EWS) with FLI1 antibody (clone FLI1/4371R). HIER: boil tissue sections in pH 9 10mM Tris with 1mM EDTA for 20 min and allow to cool before testing.
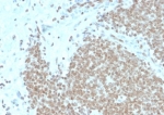
IHC staining of FFPE human Ewing's Sarcoma (EWS) tissue with FLI1 antibody (clone FLI1/4371R). HIER: boil tissue sections in pH 9 10mM Tris with 1mM EDTA for 20 min and allow to cool before testing.
Western blot testing of human Daudi cell lysate with FLI1 antibody (clone FLI1/4371R). Predicted molecular weight ~50 kDa.
Analysis of a HuProt(TM) microarray containing more than 19,000 full-length human proteins using FLI1 antibody (clone FLI1/4371R). Z- and S- Score: The Z-score represents the strength of a signal that a monoclonal antibody (in combination with a fluorescently-tagged anti-IgG secondary antibody) produces when binding to a particular protein on the HuProt(TM) array. Z-scores are described in units of standard deviations (SD's) above the mean value of all signals generated on that array. If targets on HuProt(TM) are arranged in descending order of the Z-score, the S-score is the difference (also in units of SD's) between the Z-score. S-score therefore represents the relative target specificity of a mAb to its intended target. A mAb is considered to specific to its intended target, if the mAb has an S-score of at least 2.5. For example, if a mAb binds to protein X with a Z-score of 43 and to protein Y with a Z-score of 14, then the S-score for the binding of that mAb to protein X is equal to 29.
Availability 1-3 business days
Species Reactivity Human
Format Purified
Clonality Recombinant Rabbit Monoclonal
Isotype Rabbit IgG, kappa
Clone Name FLI1/4371R
Purity Protein A affinity
UniProt Q01543
Localization Nucleus
Applications Immunohistochemistry (FFPE) : 1-2ug/ml for 30 minutes at RT
Limitations This FLI1 antibody is available for research use only.
Review this product on BioCompare and get a $20 Amazon gift card

Related Products

  • Applications : IHC-P
    Reactivity : Human
    Recrabbitmono
  • Applications : IHC-P
    Reactivity : Human
    Recmousemono
  • Applications : ELISA
    Reactivity : Human
    Microvalidated
  • Applications : WB
    Reactivity : Human
  • Applications : WB, IHC-P
    Reactivity : Human
  • Applications : FACS, IF, WB
    Reactivity : Human
  • Applications : WB, IHC-P
    Reactivity : Human, Mouse, Rat
  • Applications : WB, IF, ELISA
    Reactivity : Human, Mouse
    Pred. Reactivity : Rat, Bovine, Chicken, Zebrafish, Xenopus, Drosophila
  • Applications : WB, IHC, ELISA
    Reactivity : Human
    Pred. Reactivity : Bovine, Mouse
  • Applications : WB
    Reactivity : Zebrafish

Description

FLI1 antibody detects Friend leukemia integration 1 transcription factor, encoded by the FLI1 gene. FLI1 belongs to the ETS family of transcription factors and regulates hematopoiesis, vascular development, and cell growth. It is expressed in endothelial cells, megakaryocytes, and hematopoietic progenitors, where it controls genes involved in differentiation and angiogenesis. Because of its developmental roles and involvement in cancers such as Ewing sarcoma, FLI1 antibody is widely applied in research and diagnostic contexts.

FLI1 contains an ETS DNA-binding domain that recognizes GGAA core motifs in promoters and enhancers, activating transcription of target genes. It interacts with cofactors to regulate endothelial stability, megakaryocyte maturation, and immune responses. In vascular biology, FLI1 influences angiogenesis and vessel integrity, while in hematology it contributes to platelet production and immune regulation.

The FLI1 antibody clone FLI1/4371R provides reproducible and specific recognition. Recombinant production ensures batch-to-batch consistency, reducing experimental variability. Peer-reviewed publications have cited FLI1 antibodies in studies of endothelial cell regulation, transcriptional programming in hematopoiesis, and tumor diagnostics, underscoring their value in multiple disciplines.

Research with clone FLI1/4371R has clarified how FLI1 expression marks Ewing sarcoma, where translocations create FLI1 fusion proteins that act as oncogenic drivers. Detection of FLI1 has become an important diagnostic aid in distinguishing Ewing sarcoma from other small round cell tumors. In vascular biology, this antibody supports studies of angiogenesis, vascular remodeling, and endothelial cell signaling. In hematology, it helps map transcriptional networks that regulate megakaryocytes and platelets.

NSJ Bioreagents provides this FLI1 antibody to support oncology, hematology, and vascular biology research. Alternate designations include Friend leukemia virus integration 1 antibody, ETS transcription factor FLI1 antibody, hematopoietic transcription factor antibody, endothelial cell transcriptional regulator antibody, and proto-oncogene FLI1 antibody.

Application Notes

Optimal dilution of the FLI1 antibody should be determined by the researcher.

Immunogen

Recombinant full-length human FLI1 protein was used as the immunogen for the FLI1 antibody.

Storage

Aliquot the FLI1 antibody and store frozen at -20oC or colder. Avoid repeated freeze-thaw cycles.

Cross
Bulk Quote Request Form
Name*:
Organization*:
Email*:
Phone Number*:
Catalog No.*:
Comments and Specifics(amount, formulation, etc.)*:
Validation code: Captchapackage Image


Can't read the image? click here to refresh.
    *required field

Your bulk quote request has been submitted successfully!

Please contact us if you have any questions.