• Tel: 858.663.9055
  • SeparatorEmail: info@nsjbio.com
  • Tel: 858.663.9055
  • Email: info@nsjbio.com
Home >> Antibodies >> FLG Antibody / Filaggrin

FLG Antibody / Filaggrin [clone r15C10] (V5891)

  Catalog No Formulation Size Price (USD)  
Image V5891-100UG 0.2 mg/ml in 1X PBS with 0.05% BSA, 0.05% sodium azide 100 ug 559
Image
V5891-20UG 0.2 mg/ml in 1X PBS with 0.05% BSA, 0.05% sodium azide 20 ug 259
Image
V5891SAF-100UG 1 mg/ml in 1X PBS; BSA free, sodium azide free 100 ug 559
Microvalidated Recmousemono
Bulk quote request
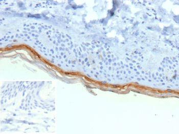
FLG Antibody Human Skin Tissue IHC. Formalin-fixed, paraffin-embedded human skin stained with recombinant FLG/Filaggrin antibody (clone r15C10). Brown chromogenic signal is localized to the superficial epidermal layers, consistent with Filaggrin-positive keratinocytes in the stratum granulosum and stratum corneum. Inset shows PBS substituted for the primary antibody as a secondary-only negative control. Staining of formalin-fixed tissues requires heating tissue sections in 10mM Tris with 1mM EDTA, pH 9.0, for 45 min at 95oC followed by cooling at RT for 20 minutes.
SDS-PAGE Analysis of purified recombinant FLG/Filaggrin antibody (clone r15C10). Confirmation of Purity and Integrity of Antibody.
Species Reactivity Human
Format Purified
Host Mouse
Clonality Recombinant Mouse Monoclonal
Isotype Mouse IgG1, kappa
Clone Name r15C10
UniProt P20930
Localization Cytoplasmic granule
Applications Immunohistochemistry (FFPE) : 1-2ug/ml
Western Blot : 2-4ug/ml
Limitations This FLG / Filaggrin antibody is available for research use only.
Review this product on BioCompare and get a $20 Amazon gift card

Related Products

Description

FLG antibody targets Filaggrin, a high molecular weight structural protein encoded by the FLG gene that plays a central role in epidermal differentiation and skin barrier formation. Filaggrin is synthesized as a large profilaggrin precursor that accumulates in keratohyalin granules within the granular layer of stratified squamous epithelium. During terminal keratinocyte differentiation, profilaggrin undergoes proteolytic processing to generate multiple filaggrin monomers that bind keratin intermediate filaments in the cytoplasm, promoting filament aggregation and cellular flattening characteristic of the stratum corneum.

Beyond its structural function, Filaggrin contributes to epidermal barrier integrity through further degradation into hygroscopic amino acids and derivatives collectively known as natural moisturizing factors. These breakdown products regulate skin hydration, surface pH, and antimicrobial defense. Reduced or absent filaggrin expression compromises barrier function and increases transepidermal water loss, underscoring the importance of Filaggrin in maintaining normal skin physiology.

FLG antibody, also referred to as filaggrin antibody, is widely used to study epidermal differentiation, keratinocyte maturation, and skin barrier biology. Filaggrin expression is tightly restricted to differentiating keratinocytes and is most prominent in the granular layer of the epidermis, making it a useful marker for epithelial lineage characterization. Altered filaggrin expression has been strongly associated with inflammatory and hyperproliferative skin disorders, and loss-of-function FLG mutations are a major genetic risk factor for ichthyosis vulgaris and atopic dermatitis.

Clone r15C10 is designed to recognize Filaggrin and supports detection of filaggrin expression and localization in research applications. Use of an FLG antibody enables investigation of epidermal differentiation status, barrier defects, and disease-associated changes in keratinocyte biology.

Explore our Filaggrin Antibody / Epidermal Differentiation Marker page for additional validation data and research applications involving keratinocyte maturation, epithelial barrier biology, and dermatopathology-associated signaling pathways.

Application Notes

1. Optimal dilution of the FLG / Filaggrin antibody should be determined by the researcher.

2. This FLG/Filaggrin antibody is recombinantly produced by expression in CHO cells.

Immunogen

Prokaryotic recombinant protein corresponding to a portion of the N-terminus of the human filaggrin molecule was used as the immunogen for the FLG / Filaggrin antibody.

Storage

FLG / Filaggrin antibody with sodium azide - store at 2 to 8oC; antibody without sodium azide - store at -20 to -80oC.

Cross
Bulk Quote Request Form
Name*:
Organization*:
Email*:
Phone Number*:
Catalog No.*:
Comments and Specifics(amount, formulation, etc.)*:
Validation code: Captchapackage Image


Can't read the image? click here to refresh.
    *required field

Your bulk quote request has been submitted successfully!

Please contact us if you have any questions.