• Tel: 858.663.9055
  • SeparatorEmail: info@nsjbio.com
  • Tel: 858.663.9055
  • Email: info@nsjbio.com
Home >> Antibodies >> FKBP1A/B Antibody

FKBP1A/B Antibody (RQ7173)

  Catalog No Formulation Size Price (USD)  
Image RQ7173 0.5mg/ml if reconstituted with 0.2ml sterile DI water 100 ug 449
Bulk quote request
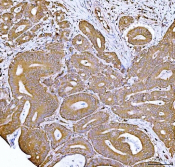
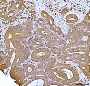
IHC staining of FFPE human rectal cancer tissue with FKBP1A/B antibody. HIER: boil tissue sections in pH8 EDTA for 20 min and allow to cool before testing.
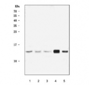
Western blot testing of 1) human HepG2, 2) human MOLT4, 3) human Jurkat, 4) mouse brain and 5) mouse kidney tissue lysate with FKBP1A/B antibody. Predicted molecular weight ~12 kDa.
Flow cytometry testing of human RT4 cells with FKBP1A/B antibody at 1ug/million cells (blocked with goat sera); Red=cells alone, Green=isotype control, Blue= FKBP1A/B antibody.
Flow cytometry testing of human SiHa cells with FKBP1A/B antibody at 1ug/million cells (blocked with goat sera); Red=cells alone, Green=isotype control, Blue= FKBP1A/B antibody.
Availability 1-3 business days
Species Reactivity Human, Mouse
Format Antigen affinity purified
Host Rabbit
Clonality Polyclonal (rabbit origin)
Isotype Rabbit IgG
Purity Antigen affinity purified
Buffer Lyophilized from 1X PBS with 2% Trehalose
UniProt P62942 , P68106
Localization Cytoplasmic
Applications Western Blot : 0.5-1ug/ml
Immunohistochemistry (FFPE) : 2-5ug/ml
Flow Cytometry : 1-3ug/million cells
Direct ELISA : 0.1-0.5ug/ml
Limitations This FKBP1A/B antibody is available for research use only.
Review this product on BioCompare and get a $20 Amazon gift card

Description

Peptidyl-prolyl cis-trans isomerase FKBP1A/1B is an enzyme that in humans is encoded by the FKBP1A/1B gene. The protein encoded by this gene is a member of the immunophilin protein family, which play a role in immunoregulation and basic cellular processes involving protein folding and trafficking. The protein is a cis-trans prolyl isomerase that binds the immunosuppressants FK506 and rapamycin. It interacts with several intracellular signal transduction proteins including type I TGF-beta receptor. It also interacts with multiple intracellular calcium release channels, and coordinates multi-protein complex formation of the tetrameric skeletal muscle ryanodine receptor. In mouse, deletion of this homologous gene causes congenital heart disorder known as noncompaction of left ventricular myocardium. Multiple alternatively spliced variants, encoding the same protein, have been identified. The human genome contains five pseudogenes related to this gene, at least one of which is transcribed.

Application Notes

Optimal dilution of the FKBP1A/B antibody should be determined by the researcher.

Immunogen

Recombinant human protein (amino acids M1-H88) was used as the immunogen for the FKBP1A/B antibody.

Storage

After reconstitution, the FKBP1A/B antibody can be stored for up to one month at 4oC. For long-term, aliquot and store at -20oC. Avoid repeated freezing and thawing.

Cross
Bulk Quote Request Form
Name*:
Organization*:
Email*:
Phone Number*:
Catalog No.*:
Comments and Specifics(amount, formulation, etc.)*:
Validation code: Captchapackage Image


Can't read the image? click here to refresh.
    *required field

Your bulk quote request has been submitted successfully!

Please contact us if you have any questions.