• Tel: 858.663.9055
  • SeparatorEmail: info@nsjbio.com
  • Tel: 858.663.9055
  • Email: info@nsjbio.com
Home >> Antibodies >> FKBP15 Antibody / FKBP133

FKBP15 Antibody / FKBP133 (RQ6630)

  Catalog No Formulation Size Price (USD)  
Image RQ6630 0.5mg/ml if reconstituted with 0.2ml sterile DI water 100 ug 449
Bulk quote request
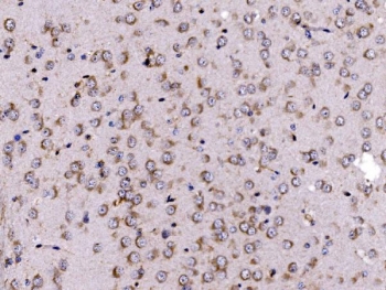
IHC staining of FFPE rat brain tissue with FKBP15 antibody. HIER: boil tissue sections in pH8 EDTA for 20 min and allow to cool before testing.
IHC staining of FFPE mouse brain tissue with FKBP15 antibody. HIER: boil tissue sections in pH8 EDTA for 20 min and allow to cool before testing.
IHC staining of FFPE human breast tissue with FKBP15 antibody. HIER: boil tissue sections in pH8 EDTA for 20 min and allow to cool before testing.
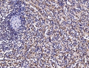
IHC staining of FFPE human lymphoma tissue with FKBP15 antibody. HIER: boil tissue sections in pH8 EDTA for 20 min and allow to cool before testing.
IHC staining of FFPE human spleen tissue with FKBP15 antibody. HIER: boil tissue sections in pH8 EDTA for 20 min and allow to cool before testing.
IHC staining of FFPE human tonsil tissue with FKBP15 antibody. HIER: boil tissue sections in pH8 EDTA for 20 min and allow to cool before testing.
Immunofluorescent staining of FFPE human MCF7 cells with FKBP15 antibody (green) and DAPI nuclear stain (blue). HIER: steam section in pH6 citrate buffer for 20 min.
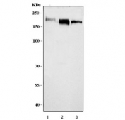
Western blot testing of 1) human HACAT, 2) human Raji and 3) mouse lung tissue lysate with FKBP15 antibody. Predicted molecular weight ~134 kDa.
Flow cytometry testing of human JK-1 cells with FKBP15 antibody at 1ug/million cells (blocked with goat sera); Red=cells alone, Green=isotype control, Blue= FKBP15 antibody.
Availability 1-3 business days
Species Reactivity Human, Mouse, Rat
Format Antigen affinity purified
Host Rabbit
Clonality Polyclonal (rabbit origin)
Isotype Rabbit IgG
Purity Antigen affinity purified
Buffer Lyophilized from 1X PBS with 2% Trehalose
UniProt Q5T1M5
Localization Cytoplasmic
Applications Western Blot : 1-2ug/ml
Immunohistochemistry (FFPE) : 2-5ug/ml
Immunofluorescence (FFPE) : 5ug/ml
Flow Cytometry : 1-3ug/million cells
Direct ELISA : 0.1-0.5ug/ml
Limitations This FKBP15 antibody is available for research use only.
Review this product on BioCompare and get a $20 Amazon gift card

Description

FKBP15, also known as FKBP133, is a member of the FK506-binding protein family, a group of proteins initially identified as immunophilins, targets for the immunosupressant drugs FK506 and Rapamycin. FKBP15 is expressed in the developing nervous system and contains a domain similar to Wiskott-Aldrich syndrome protein homology region 1 (WH1) in addition to the FK506-binding protein motif. FKBP15 is distributed along the axonal shafts and partially co-localizes with F-actin in the growth cones of dorsal root ganglion neurons; overexpression of FKBP15 resulted in the number of filopodia in transfected neurons, suggesting that FKBP15 modulates growth cone behavior. FKBP15 has also been shown to associate with both microtubules and the actin filament systems and disruption of its expression by RNAi resulted in delayed transport of early endosomes in HeLa cells indicating that FKBP15 is also involved in the transport of early endosomes. At least three isoforms of FKBP15 are known to exist.

Application Notes

Optimal dilution of the FKBP15 antibody should be determined by the researcher.

Immunogen

Recombinant human protein (amino acids A19-D1210) was used as the immunogen for the FKBP15 antibody.

Storage

After reconstitution, the FKBP15 antibody can be stored for up to one month at 4oC. For long-term, aliquot and store at -20oC. Avoid repeated freezing and thawing.

Cross
Bulk Quote Request Form
Name*:
Organization*:
Email*:
Phone Number*:
Catalog No.*:
Comments and Specifics(amount, formulation, etc.)*:
Validation code: Captchapackage Image


Can't read the image? click here to refresh.
    *required field

Your bulk quote request has been submitted successfully!

Please contact us if you have any questions.