• Tel: 858.663.9055
  • SeparatorEmail: info@nsjbio.com
  • Tel: 858.663.9055
  • Email: info@nsjbio.com
Home >> Antibodies >> Filamin B Antibody / Migfilin-1 / FLNB / FBLIM1

Filamin B Antibody / Migfilin-1 / FLNB / FBLIM1 [clone 11E2D2] (RQ6746)

  Catalog No Formulation Size Price (USD)  
Image RQ6746 0.5mg/ml if reconstituted with 0.2ml sterile DI water 100 ug 449
Bulk quote request
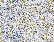
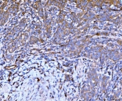
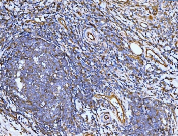
IHC staining of FFPE human lymph node metastases in rectal cancer tissue with Filamin B antibody. HIER: boil tissue sections in pH8 EDTA for 20 min and allow to cool before testing.
IHC staining of FFPE human metaplasia of squamous cells of the renal pelvis tissue with Filamin B antibody. HIER: boil tissue sections in pH8 EDTA for 20 min and allow to cool before testing.
IHC staining of FFPE human spleen tissue with Filamin B antibody. HIER: boil tissue sections in pH8 EDTA for 20 min and allow to cool before testing.
IHC staining of FFPE human lung cancer tissue with Filamin B antibody. HIER: boil tissue sections in pH8 EDTA for 20 min and allow to cool before testing.
Western blot testing of 1) human A549 cell lysate with Filamin B antibody. Predicted molecular weight ~278 kDa.
Immunofluorescent staining of FFPE human HeLa cells with Filamin B antibody (green) and DAPI nuclear stain (blue). HIER: steam section in pH6 citrate buffer for 20 min.
Availability 1-3 business days
Species Reactivity Human
Format Purified
Host Mouse
Clonality Monoclonal (mouse origin)
Isotype Mouse IgG1
Clone Name 11E2D2
Purity Affinity purified
Buffer Lyophilized from 1X PBS with 2% Trehalose
UniProt O75369
Localization Cytoplasmic
Applications Western Blot : 1-2ug/ml
Immunohistochemistry (FFPE) : 2-5ug/ml
Immunofluorescence (FFPE) : 5ug/ml
Limitations This Filamin B antibody is available for research use only.
Review this product on BioCompare and get a $20 Amazon gift card

Related Products

Description

Filamin B, beta (FLNB), also known as Filamin B (truncated actin binding protein 278 homolog), is a cytoplasmic protein which in humans is encoded by the FLNB gene. This gene encodes a member of the filamin family. The encoded protein interacts with glycoprotein Ib alpha as part of the process to repair vascular injuries. The platelet glycoprotein Ib complex includes glycoprotein Ib alpha, and it binds the actin cytoskeleton. Mutations in this gene have been found in several conditions: atelosteogenesis type 1 and type 3; boomerang dysplasia; autosomal dominant Larsen syndrome; and spondylocarpotarsal synostosis syndrome. Multiple alternatively spliced transcript variants that encode different protein isoforms have been described for this gene.

Application Notes

Optimal dilution of the Filamin B antibody should be determined by the researcher.

Immunogen

Recombinant human protein (amino acids Q397-D701) was used as the immunogen for the Filamin B antibody.

Storage

After reconstitution, the Filamin B antibody can be stored for up to one month at 4oC. For long-term, aliquot and store at -20oC. Avoid repeated freezing and thawing.

Cross
Bulk Quote Request Form
Name*:
Organization*:
Email*:
Phone Number*:
Catalog No.*:
Comments and Specifics(amount, formulation, etc.)*:
Validation code: Captchapackage Image


Can't read the image? click here to refresh.
    *required field

Your bulk quote request has been submitted successfully!

Please contact us if you have any questions.