• Tel: 858.663.9055
  • SeparatorEmail: info@nsjbio.com
  • Tel: 858.663.9055
  • Email: info@nsjbio.com
Home >> Antibodies >> Filaggrin Antibody / FLG

Filaggrin Antibody / FLG [clone FLG/1561] (V3330)

  Catalog No Formulation Size Price (USD)  
Image V3330-100UG 0.2 mg/ml in 1X PBS with 0.1 mg/ml BSA (US sourced) and 0.05% sodium azide 100 ug 559
Image
V3330-20UG 0.2 mg/ml in 1X PBS with 0.1 mg/ml BSA (US sourced) and 0.05% sodium azide 20 ug 259
Image
V3330SAF-100UG 1 mg/ml in 1X PBS; BSA free, sodium azide free 100 ug 559
Microvalidated
Bulk quote request
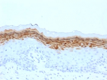
Immunohistochemistry analysis of formalin-fixed, paraffin-embedded human skin tissue using Filaggrin antibody (clone FLG/1561). Strong cytoplasmic staining is observed in the upper layers of the epidermis, consistent with localization in differentiated keratinocytes, while basal epidermal layers and underlying dermal tissue show minimal background staining. Nuclei are counterstained in blue. Heat-induced antigen retrieval was performed by boiling tissue sections in 10 mM citrate buffer, pH 6.0, for 10–20 minutes prior to staining.
SDS-PAGE Analysis of Purified, BSA-Free Filaggrin Antibody (clone FLG/1561). Confirmation of Integrity and Purity of the Antibody.
Analysis of HuProt(TM) microarray containing more than 19,000 full-length human proteins using Filaggrin antibody (clone FLG/1561). These results demonstrate the foremost specificity of the FLG/1561 mAb.
Z- and S- score: The Z-score represents the strength of a signal that an antibody (in combination with a fluorescently-tagged anti-IgG secondary Ab) produces when binding to a particular protein on the HuProt(TM) array. Z-scores are described in units of standard deviations (SD's) above the mean value of all signals generated on that array. If the targets on the HuProt(TM) are arranged in descending order of the Z-score, the S-score is the difference (also in units of SD's) between the Z-scores. The S-score therefore represents the relative target specificity of an Ab to its intended target.
Availability 1-3 business days
Species Reactivity Human
Format Purified
Host Mouse
Clonality Monoclonal (mouse origin)
Isotype Mouse IgG1, kappa
Clone Name FLG/1561
Purity Protein G affinity chromatography
Buffer 1X PBS, pH 7.4
UniProt P20930
Localization Cytoplasmic
Applications Immunohistochemistry (FFPE) : 0.5-1ug/ml for 30 min at RT
Limitations This Filaggrin antibody is available for research use only.
Review this product on BioCompare and get a $20 Amazon gift card

Related Products

Description

Filaggrin antibody is used to study filaggrin, a structural protein that plays a central role in the formation and maintenance of the epidermal barrier. Filaggrin is synthesized as a large precursor protein called profilaggrin, which resides in keratohyalin granules of the epidermis. Upon terminal differentiation of keratinocytes, profilaggrin is processed into filaggrin monomers that aggregate keratin filaments, condensing them into tight bundles that strengthen the cornified envelope.

This protein is critical for skin barrier integrity and hydration. By promoting keratin aggregation, filaggrin contributes to the flattening of keratinocytes and the formation of the stratum corneum. Subsequent degradation of filaggrin releases amino acids that serve as natural moisturizing factors, helping to maintain skin hydration and pH balance. Mutations in the FLG gene are strongly associated with atopic dermatitis and ichthyosis vulgaris, underscoring the importance of this protein in dermatology research.

The Filaggrin antibody clone FLG/1561 provides specific recognition of filaggrin protein, enabling researchers to track its expression and distribution in epidermal tissues. Clone FLG/1561 has been applied in studies investigating keratinocyte differentiation, epidermal barrier function, and skin disorders. Its specificity makes it a trusted reagent for examining how alterations in filaggrin expression contribute to disease.

Filaggrin deficiency is a well established risk factor for atopic dermatitis, as impaired barrier function increases susceptibility to allergens and pathogens. Research using clone FLG/1561 has clarified how reduced or absent filaggrin disrupts epidermal integrity. Beyond dermatology, the study of filaggrin informs broader fields such as allergy, immunology, and environmental health, where skin barrier function influences disease susceptibility.

NSJ Bioreagents supplies this Filaggrin antibody to support high quality research into skin structure and disease. The protein is also known by alternate terms such as FLG antibody, profilaggrin antibody, epidermal differentiation complex protein antibody, and skin barrier protein antibody. These terms reflect the multiple ways filaggrin is referenced in dermatological and molecular biology research.

Application Notes

Optimal dilution of the Filaggrin antibody should be determined by the researcher.

Immunogen

Amino acids 198-288 of human FLG were used as the immunogen for this Filaggrin antibody.

Storage

Store the Filaggrin antibody at 2-8oC (with azide) or aliquot and store at -20oC or colder (without azide).

Cross
Bulk Quote Request Form
Name*:
Organization*:
Email*:
Phone Number*:
Catalog No.*:
Comments and Specifics(amount, formulation, etc.)*:
Validation code: Captchapackage Image


Can't read the image? click here to refresh.
    *required field

Your bulk quote request has been submitted successfully!

Please contact us if you have any questions.