• Tel: 858.663.9055
  • SeparatorEmail: info@nsjbio.com
  • Tel: 858.663.9055
  • Email: info@nsjbio.com
Home >> Antibodies >> Ficolin 3 Antibody / FCN3

Ficolin 3 Antibody / FCN3 (F54652)

  Catalog No Formulation Size Price (USD)  
Image F54652-0.4ML In 1X PBS, pH 7.4, with 0.09% sodium azide 0.4 ml 439
Image
F54652-0.08ML In 1X PBS, pH 7.4, with 0.09% sodium azide 0.08 ml 205
Bulk quote request
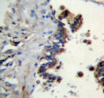
IHC testing of FFPE human lung tissue with Ficolin 3 antibody. HIER: steam section in pH6 citrate buffer for 20 min and allow to cool prior to staining.
Western blot testing of human Jurkat cell lysate with Ficolin 3 antibody. Predicted molecular weight ~33 kDa.
Western blot testing of human K562 cell lysate with Ficolin 3 antibody. Predicted molecular weight ~33 kDa.
Flow cytometry testing of human K562 cells with Ficolin 3 antibody; Left=isotype control, Right= Ficolin 3 antibody.
Availability 1-3 business days
Species Reactivity Human
Format Purified
Host Rabbit
Clonality Polyclonal (rabbit origin)
Isotype Rabbit Ig
Purity Antigen affinity purified
UniProt O75636
Applications Flow Cytometry : 1:25 (1x10e6 cells)
Immunohistochemistry (FFPE) : 1:25
Western Blot : 1:500-1:2000
Limitations This Ficolin 3 antibody is available for research use only.
Review this product on BioCompare and get a $20 Amazon gift card

Description

Ficolins are a group of proteins which consist of a collagen-like domain and a fibrinogen-like domain. In human serum, there are two types of ficolins, both of which have lectin activity. The protein encoded by this gene is a thermolabile beta-2-macroglycoprotein found in all human serum and is a member of the ficolin/opsonin p35 lectin family. The protein, which was initially identified based on its reactivity with sera from patients with systemic lupus erythematosus, has been shown to have a calcium-independent lectin activity. The protein can activate the complement pathway in association with MASPs and sMAP, thereby aiding in host defense through the activation of the lectin pathway. Alternative splicing occurs at this locus and two variants, each encoding a distinct isoform, have been identified.

Application Notes

The stated application concentrations are suggested starting points. Titration of the Ficolin 3 antibody may be required due to differences in protocols and secondary/substrate sensitivity.

Immunogen

A portion of amino acids 214-243 from the human protein was used as the immunogen for the Ficolin 3 antibody.

Storage

Aliquot the Ficolin 3 antibody and store frozen at -20oC or colder. Avoid repeated freeze-thaw cycles.

Cross
Bulk Quote Request Form
Name*:
Organization*:
Email*:
Phone Number*:
Catalog No.*:
Comments and Specifics(amount, formulation, etc.)*:
Validation code: Captchapackage Image


Can't read the image? click here to refresh.
    *required field

Your bulk quote request has been submitted successfully!

Please contact us if you have any questions.