• Tel: 858.663.9055
  • SeparatorEmail: info@nsjbio.com
  • Tel: 858.663.9055
  • Email: info@nsjbio.com
Home >> Antibodies >> Fibronectin Antibody Clone TV.1 / FN1

Fibronectin Antibody Clone TV.1 / FN1 [clone TV-1] (V2125)

  Catalog No Formulation Size Price (USD)  
Image V2125-100UG 0.2 mg/ml in 1X PBS with 0.1 mg/ml BSA (US sourced) and 0.05% sodium azide 100 ug 559
Image
V2125-20UG 0.2 mg/ml in 1X PBS with 0.1 mg/ml BSA (US sourced) and 0.05% sodium azide 20 ug 259
Image
V2125SAF-100UG 1 mg/ml in 1X PBS; BSA free, sodium azide free 100 ug 559
Bulk quote request
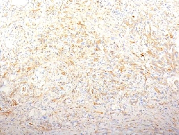
Fibronectin Antibody Clone TV.1 Pancreatic Adenocarcinoma IHC. Immunohistochemistry testing of FFPE pancreatic adenocarcinoma and Fibronectin antibody (clone TV-1).
Species Reactivity Human
Format Purified
Host Mouse
Clonality Monoclonal (mouse origin)
Isotype Mouse IgG1, kappa
Clone Name TV-1
Purity Protein G affinity chromatography
Gene ID 2335
Localization Connective tissue matrix
Applications Flow Cytometry : 1-2ug/10^6 cells
Immunofluorescence : 1-2ug/ml
Immunohistochemistry (FFPE) : 1-2ug/ml for 30 min at RT
Limitations This Fibronectin Antibody Clone TV.1 is available for research use only.
Review this product on BioCompare and get a $20 Amazon gift card

Related Products

Description

Fibronectin Antibody Clone TV.1 specifically detects Fibronectin, a soluble dimeric glycoprotein of 440kDa, which is present in cells, extracellular matrix, and blood. There are two types of fibronectin: soluble fibronectin which is produced by hepatocytes and found in blood plasma, and insoluble cellular fibronectin which is produced by fibroblasts in a soluble form and latter assembled into an insoluble form via fibril formation.

This antibody reacts with the cellular as well as plasma form of fibronectin. Reportedly, after iv administration, this antibody localizes to tumor vessels where it binds to the underlying basement. The Fibronectin epitope recognized by this antibody is not accessible in normal tissues to the circulating antibody indicating that it can be used to specifically target tumor vessels in vivo. Clone TV-1 fibronectin antibody is reportedly useful for delivering vasoactive agents to tumors to induce increased vascular permeability or blood flow prior to treatment with chemotherapeutic drugs or antibodies.

Researchers investigating extracellular matrix remodeling, stromal organization, and integrin-mediated adhesion pathways may also be interested in our Fibronectin 1 Antibody / Extracellular Matrix Marker page featuring validated immunohistochemistry, western blot, and protein microarray specificity data for ECM biology research.

Application Notes

The concentration stated for each application is a general starting point. Variations in protocols, secondaries and substrates may require the Fibronectin Antibody Clone TV.1 to be titered up or down for optimal performance.

1. Staining of formalin-fixed tissues requires boiling tissue sections in pH 9 10mM Tris with 1mM EDTA for 10-20 min followed by cooling at RT for 20 minutes.

Immunogen

A T-cell lymphoma biopsy was used as the immunogen for this fibronectin antibody.

Storage

Store the Fibronectin antibody at 2-8oC (with azide) or aliquot and store at -20oC or colder (without azide).

Alternate Names

Cold insoluble globulin (CIG); FINC; FN1; FNZ; GFND; GFND2; LETS; Migration stimulating factor (MSF); Ugl-Y3, Fibronectin antibody

Cross
Bulk Quote Request Form
Name*:
Organization*:
Email*:
Phone Number*:
Catalog No.*:
Comments and Specifics(amount, formulation, etc.)*:
Validation code: Captchapackage Image


Can't read the image? click here to refresh.
    *required field

Your bulk quote request has been submitted successfully!

Please contact us if you have any questions.