• Tel: 858.663.9055
  • SeparatorEmail: info@nsjbio.com
  • Tel: 858.663.9055
  • Email: info@nsjbio.com
Home >> Antibodies >> Fibronectin Antibody Clone HFN7.1 / FN1

Fibronectin Antibody Clone HFN7.1 / FN1 [clone HFN7.1] (V2124)

  Catalog No Formulation Size Price (USD)  
Image V2124-100UG 0.2 mg/ml in 1X PBS with 0.1 mg/ml BSA (US sourced) and 0.05% sodium azide 100 ug 559
Image
V2124-20UG 0.2 mg/ml in 1X PBS with 0.1 mg/ml BSA (US sourced) and 0.05% sodium azide 20 ug 259
Image
V2124SAF-100UG 1 mg/ml in 1X PBS; BSA free, sodium azide free 100 ug 559
Bulk quote request
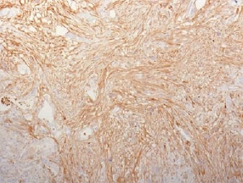
Fibronectin Antibody Clone HFN7.1 Pancreatic Adenocarcinoma IHC. Immunohistochemistry staining of FFPE human pancreatic adenocarcinoma tissue with Fibronectin antibody (clone HFN7.1), HRP-secondary and DAB substrate. HIER: boil tissue sections in pH 9 10mM Tris with 1mM EDTA for 20 min and allow to cool before testing.
Species Reactivity Human
Format Purified
Host Mouse
Clonality Monoclonal (mouse origin)
Isotype Mouse IgG1, kappa
Clone Name HFN7.1
Purity Protein G affinity chromatography
Buffer 1X PBS, pH 7.4
UniProt P02751
Localization Connective tissue matrix
Applications Flow Cytometry : 1-2ug/1x10^6 cells
Immunofluorescence : 1-2ug/ml
Immunohistochemistry (FFPE) : 1-2ug/ml for 30 min at RT
Limitations This Fibronectin antibody clone HFN7.1 is available for research use only.
Review this product on BioCompare and get a $20 Amazon gift card

Related Products

Description

Fibronectin antibody clone HFN7.1 is an important tool for studying extracellular matrix biology, tissue remodeling, and cell adhesion. The encoded protein, fibronectin (FN1), is a large glycoprotein secreted into the extracellular space, where it assembles into fibrillar networks that provide structural support and regulate cell behavior. Fibronectin binds to integrins and extracellular molecules including collagen, heparin, and fibrin, integrating cell adhesion with matrix organization. Through these interactions, fibronectin guides processes such as wound healing, angiogenesis, embryonic development, and tumor progression.

Fibronectin exists in two major forms: soluble plasma fibronectin and insoluble cellular fibronectin. Plasma fibronectin circulates in the blood and contributes to hemostasis by supporting platelet adhesion and clot stabilization. Cellular fibronectin is produced by fibroblasts and other cells, assembling into fibrils that shape the extracellular matrix and mediate mechanotransduction. Alternative splicing of the FN1 transcript generates isoforms with tissue-specific and developmental functions, enhancing its biological versatility.

During wound repair, fibronectin provides an initial scaffold for fibroblast migration and collagen deposition, ensuring proper tissue regeneration. In angiogenesis, it supports endothelial cell adhesion and sprouting, linking extracellular cues to vascular growth. Dysregulated fibronectin expression is implicated in fibrotic diseases, where excessive matrix accumulation disrupts organ function. Elevated fibronectin levels have also been observed in cancer, where it promotes invasion, metastasis, and tumor angiogenesis by interacting with integrins and growth factors.

At the molecular level, fibronectin contains multiple binding domains for integrins, collagen, fibrin, and heparan sulfate proteoglycans. These domains allow fibronectin to act as a molecular bridge between cells and their surrounding environment. The RGD (arginine-glycine-aspartic acid) motif within fibronectin mediates integrin binding and is central to its role in cell adhesion and signaling. This structural complexity explains fibronectins involvement in both mechanical support and regulation of cellular processes.

The Fibronectin antibody clone HFN7.1 is widely applied in immunohistochemistry, immunofluorescence, western blotting, and ELISA to detect expression and localization in tissues and cultured cells. These applications are crucial for research into extracellular matrix remodeling, cancer progression, vascular biology, and regenerative medicine. For investigators focused on fibrosis, angiogenesis, or matrix biology, the Fibronectin antibody clone HFN7.1 provides a reliable and specific detection tool. NSJ Bioreagents offers validated antibodies that ensure accuracy and reproducibility in advanced molecular studies.

Researchers investigating extracellular matrix remodeling, stromal organization, and integrin-mediated adhesion pathways may also be interested in our Fibronectin 1 Antibody / Extracellular Matrix Marker page featuring validated immunohistochemistry, western blot, and protein microarray specificity data for ECM biology research.

Application Notes

Titration of the Fibronectin antibody clone HFN7.1 may be required for optimal performance.

1. FFPE staining requires boiling tissue sections in pH 9 10mM Tris with 1mM EDTA for 10-20 min followed by cooling at RT for 20 minutes.

Immunogen

Purified human Fibronectin was used as the immunogen for this antibody.

Storage

Store the Fibronectin antibody at 2-8oC (with azide) or aliquot and store at -20oC or colder (without azide).

Alternate Names

Fibronectin 1 antibody, FINC antibody, FN antibody, FN1 antibody

Cross
Bulk Quote Request Form
Name*:
Organization*:
Email*:
Phone Number*:
Catalog No.*:
Comments and Specifics(amount, formulation, etc.)*:
Validation code: Captchapackage Image


Can't read the image? click here to refresh.
    *required field

Your bulk quote request has been submitted successfully!

Please contact us if you have any questions.