• Tel: 858.663.9055
  • SeparatorEmail: info@nsjbio.com
  • Tel: 858.663.9055
  • Email: info@nsjbio.com
Home >> Antibodies >> Fibronectin Antibody

Fibronectin Antibody [clone C6F10] (V8544)

  Catalog No Formulation Size Price (USD)  
Image V8544-100UG 0.2 mg/ml in 1X PBS with 0.1 mg/ml BSA (US sourced) and 0.05% sodium azide 100 ug 559
Image
V8544-20UG 0.2 mg/ml in 1X PBS with 0.1 mg/ml BSA (US sourced) and 0.05% sodium azide 20 ug 259
Image
V8544SAF-100UG 1 mg/ml in 1X PBS; BSA free, sodium azide free 100 ug 559
Bulk quote request
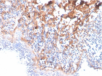
Fibronectin Antibody Tonsil IHC. Immunohistochemistry staining of FFPE human tonsil with Fibronectin antibody (clone C6F10). HIER: boil tissue sections in pH 9 10mM Tris with 1mM EDTA for 20 min and allow to cool before testing.
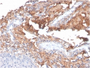
Fibronectin Antibody Human Tonsil Tissue IHC. Immunohistochemistry staining of FFPE human tonsil with Fibronectin antibody (clone C6F10). HIER: boil tissue sections in pH 9 10mM Tris with 1mM EDTA for 20 min and allow to cool before testing.
SDS-PAGE analysis of purified, BSA-free Fibronectin antibody (clone C6F10) as confirmation of integrity and purity.
Availability 1-3 business days
Species Reactivity Human
Format Purified
Host Mouse
Clonality Monoclonal (mouse origin)
Isotype Mouse IgG1, kappa
Clone Name C6F10
Purity Protein G affinity chromatography
UniProt P02751
Localization Connective tissue matrix
Applications Western Blot : 1-2ug/ml
Immunofluorescence : 1-2ug/ml
Immunohistochemistry (FFPE) : 1-2ug/ml for 30 minutes at RT
Limitations This Fibronectin antibody is available for research use only.
Review this product on BioCompare and get a $20 Amazon gift card

Related Products

Description

Fibronectin is an extracellular matrix glycoprotein present on most cell surfaces, in extracellular fluids and in plasma. A high molecular weight heterodimeric protein, it was originally discovered as a protein missing from the surfaces of virus-transformed cells, and it has been shown to be involved in various functions including cell adhesion, cell motility and wound healing. Alternative splicing and glycosylation give rise to several different forms of Fibronectin, some of which exhibit restricted tissue distribution or association with malignancies. It has been shown that myofibroblast phenotype formation correlates with the occurrence of glycosylated Fibronectin and Fibronectin splice variants in Dupuytrens disease.

Researchers investigating extracellular matrix remodeling, stromal organization, and integrin-mediated adhesion pathways may also be interested in our Fibronectin 1 Antibody / Extracellular Matrix Marker page featuring validated immunohistochemistry, western blot, and protein microarray specificity data for ECM biology research.

Application Notes

Optimal dilution of the Fibronectin antibody should be determined by the researcher.

Immunogen

Human plasma fibronectin was used as the immunogen for the Fibronectin antibody.

Storage

Store the Fibronectin antibody at 2-8oC (with azide) or aliquot and store at -20oC or colder (without azide).

Cross
Bulk Quote Request Form
Name*:
Organization*:
Email*:
Phone Number*:
Catalog No.*:
Comments and Specifics(amount, formulation, etc.)*:
Validation code: Captchapackage Image


Can't read the image? click here to refresh.
    *required field

Your bulk quote request has been submitted successfully!

Please contact us if you have any questions.