• Tel: 858.663.9055
  • SeparatorEmail: info@nsjbio.com
  • Tel: 858.663.9055
  • Email: info@nsjbio.com
Home >> Antibodies >> Fibronectin 1 Antibody / Extracellular Matrix Marker

Fibronectin 1 Antibody / Extracellular Matrix Marker [clone FN1/3569] (V9460)

  Catalog No Formulation Size Price (USD)  
Image V9460-100UG 0.2 mg/ml in 1X PBS with 0.1 mg/ml BSA (US sourced), 0.05% sodium azide 100 ug 559
Image
V9460-20UG 0.2 mg/ml in 1X PBS with 0.1 mg/ml BSA (US sourced), 0.05% sodium azide 20 ug 259
Image
V9460SAF-100UG 1 mg/ml in 1X PBS; BSA free, sodium azide free 100 ug 559
Microvalidated
Bulk quote request
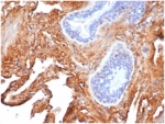
Fibronectin 1 Antibody Human Lung IHC. Immunohistochemistry analysis of FFPE human lung tissue stained with clone FN1/3569. Extracellular and pericellular HRP-DAB brown staining is observed within stromal connective tissue and alveolar-associated matrix structures, consistent with expression of Fibronectin 1 / FN1, a major extracellular matrix glycoprotein involved in tissue remodeling, cellular adhesion, and stromal organization pathways. Surrounding epithelial cells show comparatively lower staining intensity. HIER: boil tissue sections in pH 9 10mM Tris with 1mM EDTA for 20 min and allow to cool before testing.
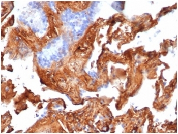
Fibronectin 1 Antibody Lung Connective Tissue IHC. Immunohistochemistry analysis of FFPE human lung tissue stained with clone FN1/3569 at 2 ug/ml in PBS for 30 min at RT. Strong extracellular HRP-DAB brown staining highlights stromal connective tissue and matrix-rich peribronchiolar regions consistent with expression of Fibronectin 1 / FN1, an extracellular matrix glycoprotein involved in tissue remodeling, integrin-mediated adhesion, and structural organization of the pulmonary microenvironment. HIER: boil tissue sections in pH 9 10mM Tris with 1mM EDTA for 20 min and allow to cool before testing.
Fibronectin 1 Antibody Protein Microarray Validation. Analysis of HuProt(TM) microarray containing more than 19,000 full-length human proteins using clone FN1/3569. These results demonstrate high specificity of the mouse monoclonal antibody for Fibronectin 1 / FN1, a major extracellular matrix glycoprotein involved in tissue remodeling, stromal organization, and integrin-mediated adhesion pathways. Z- and S-score analysis confirms strong preferential binding to the intended target relative to non-specific proteins represented on the HuProt(TM) array. The Z-score represents the signal strength generated by antibody binding to an individual protein relative to the overall array background, while the S-score reflects the relative specificity gap between the top-ranked target and subsequent proteins on the array.
Fibronectin 1 Antibody Placenta WB. Western blot analysis of human placenta tissue lysate using Fibronectin 1 Antibody / Extracellular Matrix Marker. A strong high molecular weight band is detected at approximately 220-250 kDa, consistent with the expected molecular weight range of Fibronectin 1 / FN1. The broad signal pattern is characteristic of this heavily glycosylated extracellular matrix glycoprotein and may reflect glycosylated and dimeric fibronectin species associated with stromal matrix organization and tissue remodeling pathways.
Availability 1-3 business days
Species Reactivity Human
Format Purified
Host Mouse
Clonality Monoclonal (mouse origin)
Isotype Mouse IgG2b, kappa
Clone Name FN1/3569
Purity Protein A/G affinity
UniProt P02751
Localization Connective tissue matrix
Applications ELISA (order BSA-free Format For Coating) :
Immunohistochemistry (FFPE) : 1-2ug/ml
Western Blot : 2-4ug/ml
Limitations This Fibronectin 1 Antibody / Extracellular Matrix Marker is available for research use only.
Review this product on BioCompare and get a $20 Amazon gift card

Related Products

Description

Fibronectin 1 (FN1) is a high molecular weight extracellular matrix glycoprotein involved in cell adhesion, tissue architecture, wound healing, and stromal organization. Fibronectin 1 Antibody / Extracellular Matrix Marker is useful for studying extracellular matrix remodeling, epithelial-stromal interactions, and cell migration pathways associated with development, fibrosis, and cancer biology. Fibronectin 1 antibody, also referred to as Fibronectin antibody and stromal matrix protein antibody in the literature, recognizes a multifunctional adhesive glycoprotein that contributes to extracellular matrix assembly and integrin-mediated signaling pathways.

FN1 is predominantly localized within the extracellular matrix and connective tissue compartments where it supports cell attachment, cytoskeletal organization, and maintenance of tissue integrity. The protein interacts with integrins, collagen, fibrin, heparin, and additional matrix-associated proteins to coordinate cellular adhesion and migration responses. Fibronectin 1 belongs to a family of matrix glycoproteins that regulate extracellular scaffold formation and tissue remodeling during embryonic development, angiogenesis, and wound repair. Alternative splicing of FN1 generates multiple isoforms with distinct functions in plasma and cellular matrix environments.

Because FN1 expression is frequently increased during fibrosis, inflammation, and tumor progression, Fibronectin 1 has become an important marker in studies examining stromal activation and extracellular matrix remodeling within diseased tissues. Elevated fibronectin deposition has been associated with epithelial-mesenchymal transition, invasive tumor behavior, metastatic progression, and activation of fibroblast-rich tumor microenvironments. FN1-mediated signaling pathways also contribute to angiogenesis, immune cell recruitment, and regulation of tissue stiffness associated with chronic inflammatory and fibrotic disorders.

In normal tissues, FN1 expression is commonly observed within connective tissue structures, basement membrane-associated regions, vascular compartments, and stromal cell populations. Immunohistochemistry studies frequently demonstrate extracellular and pericellular staining patterns consistent with matrix-associated localization, while western blot analysis commonly identifies high molecular weight fibronectin species in tissue lysates enriched for extracellular matrix proteins. Because FN1 is abundantly expressed in stromal and connective tissue environments, this target remains highly relevant for studies focused on tissue remodeling, fibrosis, wound healing, and tumor microenvironment biology.

A mouse monoclonal clone FN1/3569 antibody can be used for immunohistochemistry, western blot, and protein microarray specificity validation studies examining extracellular matrix organization and stromal signaling pathways. Because Fibronectin 1 functions as a central structural and signaling component of the extracellular matrix, this target remains widely studied in cancer biology, regenerative medicine, fibrosis research, and cellular adhesion mechanisms.

Researchers studying extracellular matrix remodeling, tumor stroma biology, and epithelial-mesenchymal transition pathways may also be interested in our broader Cancer Antibodies collection featuring markers involved in tumor progression, invasion, angiogenesis, and metastatic signaling mechanisms.

Application Notes

1. Optimal dilution of the Fibronectin 1 Antibody / Extracellular Matrix Marker should be determined by the researcher.

2. This MAb reacts with human cellular fibronectin, but not plasma fibronectin.

Immunogen

A portion of amino acids 467-595 was used as the immunogen for the Fibronectin 1 antibody.

Storage

Store the Fibronectin 1 antibody at 2-8oC for up to one month (with azide) or aliquot and store at -20oC or colder (without azide/longer term storage).

Alternate Names

FN1 extracellular matrix antibody, Fibronectin antibody, Cell adhesion glycoprotein antibody, Stromal matrix protein antibody, Tissue remodeling marker antibody

Cross
Bulk Quote Request Form
Name*:
Organization*:
Email*:
Phone Number*:
Catalog No.*:
Comments and Specifics(amount, formulation, etc.)*:
Validation code: Captchapackage Image


Can't read the image? click here to refresh.
    *required field

Your bulk quote request has been submitted successfully!

Please contact us if you have any questions.