• Tel: 858.663.9055
  • SeparatorEmail: info@nsjbio.com
  • Tel: 858.663.9055
  • Email: info@nsjbio.com
Home >> Antibodies >> Fibrinogen gamma chain Antibody / FGG

Fibrinogen gamma chain Antibody / FGG (R32594)

  Catalog No Formulation Size Price (USD)  
Image R32594 0.5mg/ml if reconstituted with 0.2ml sterile DI water 100 ug 449
Bulk quote request
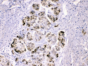
IHC testing of FFPE human liver cancer tissue with Fibrinogen gamma chain antibody at 1ug/ml. HIER: steam section in pH6 citrate buffer for 20 min.
Western blot testing of 1) rat liver, 2) mouse liver and 3) human HepG2 lysate with Fibrinogen gamma chain antibody at 0.5ug/ml. Predicted molecular weight ~50 kDa.
Flow cytometry testing of human A549 cells with Fibrinogen gamma antibody at 1ug/10^6 cells (blocked with goat sera); Red=cells alone, Green=isotype control, Blue= Fibrinogen gamma antibody.
Flow cytometry testing of human SiHa cells with Fibrinogen gamma antibody at 1ug/10^6 cells (blocked with goat sera); Red=cells alone, Green=isotype control, Blue= Fibrinogen gamma antibody.
Availability 1-3 business days
Species Reactivity Human, Mouse, Rat
Format Antigen affinity purified
Host Rabbit
Clonality Polyclonal (rabbit origin)
Isotype Rabbit IgG
Purity Antigen affinity
Buffer Lyophilized from 1X PBS with 2.5% BSA and 0.025% sodium azide
UniProt P02679
Localization Secreted
Applications Western Blot : 0.5-1ug/ml
Immunohistochemistry (FFPE) : 1-2ug/ml
Flow Cytometry : 1-3ug/10^6 cells
Limitations This Fibrinogen gamma chain antibody is available for research use only.
Review this product on BioCompare and get a $20 Amazon gift card

Related Products

Description

Fibrinogen gamma chain, also known as FGG, is a human gene found on chromosome 4. The protein encoded by this gene is the gamma component of fibrinogen, a blood-borne glycoprotein comprised of three pairs of nonidentical polypeptide chains. Following vascular injury, fibrinogen is cleaved by thrombin to form fibrin which is the most abundant component of blood clots. In addition, various cleavage products of fibrinogen and fibrin regulate cell adhesion and spreading, display vasoconstrictor and chemotactic activities, and are mitogens for several cell types. Mutations in this gene lead to several disorders, including dysfibrinogenemia, hypofibrinogenemia and thrombophilia. Alternative splicing results in transcript variants encoding different isoforms.

Application Notes

Optimal dilution of the Fibrinogen gamma chain antibody should be determined by the researcher.

Immunogen

Amino acids 133-163 (IRYLQEIYNSNNQKIVNLKEKVAQLEAQCQE-human) were used as the immunogen for the Fibrinogen gamma chain antibody.

Storage

After reconstitution, the Fibrinogen gamma chain antibody can be stored for up to one month at 4oC. For long-term, aliquot and store at -20oC. Avoid repeated freezing and thawing.

Cross
Bulk Quote Request Form
Name*:
Organization*:
Email*:
Phone Number*:
Catalog No.*:
Comments and Specifics(amount, formulation, etc.)*:
Validation code: Captchapackage Image


Can't read the image? click here to refresh.
    *required field

Your bulk quote request has been submitted successfully!

Please contact us if you have any questions.