• Tel: 858.663.9055
  • SeparatorEmail: info@nsjbio.com
  • Tel: 858.663.9055
  • Email: info@nsjbio.com
Home >> Antibodies >> Fibrinogen beta chain Antibody / FGB

Fibrinogen beta chain Antibody / FGB (R32603)

  Catalog No Formulation Size Price (USD)  
Image R32603 0.5mg/ml if reconstituted with 0.2ml sterile DI water 100 ug 449
Bulk quote request
Immunofluorescent staining of FFPE human A549 cells with Fibrinogen beta chain antibody (red) and DAPI nuclear stain (blue). HIER: steam section in pH6 citrate buffer for 20 min.
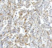
IHC staining of FFPE human liver cancer tissue with Fibrinogen beta chain antibody, HRP-secondary and DAB substrate. HIER: boil tissue sections in pH8 EDTA for 20 min and allow to cool before testing.
Western blot testing of 1) human HepG2, 2) rat kidney, 3) rat liver, 4) mouse kidney and 5) mouse liver tissue lysate with Fibrinogen beta chain antibody at 0.5ug/ml. Predicted molecular weight ~56 kDa.
Flow cytometry testing of fixed and permeabilized human HepG2 cells with Fibrinogen beta chain antibody at 1ug/million cells (blocked with goat sera); Red=cells alone, Green=isotype control, Blue= Fibrinogen beta chain antibody.
Availability 1-3 business days
Species Reactivity Human, Mouse, Rat
Format Antigen affinity purified
Host Rabbit
Clonality Polyclonal (rabbit origin)
Isotype Rabbit IgG
Purity Antigen affinity
Buffer Lyophilized from 1X PBS with 2% Trehalose
UniProt P02675
Applications Western Blot : 0.5-1ug/ml
Flow Cytometry : 1-3ug/million cells
Immunofluorescence : 5ug/ml
Immunohistochemistry (FFPE) : 2-5ug/ml
Limitations This Fibrinogen beta chain antibody is available for research use only.
Review this product on BioCompare and get a $20 Amazon gift card

Related Products

Description

The fibrinogen beta chain is one of three subunits that make up fibrinogen, a soluble plasma glycoprotein essential for blood clot formation. Synthesized in the liver, fibrinogen circulates in the bloodstream until activated by thrombin during the coagulation cascade. Thrombin cleaves fibrinogen to form fibrin, which then polymerizes to create a stable clot. Researchers frequently use a Fibrinogen beta chain antibody to study hemostasis, thrombosis, and coagulation biology.

The beta chain, encoded by the FGB gene, plays a crucial role in fibrinogen assembly, stability, and interactions with platelets and other clotting factors. Mutations in the FGB gene are associated with congenital fibrinogen disorders, such as afibrinogenemia and dysfibrinogenemia, which can result in bleeding or thrombotic complications. Employing a Fibrinogen beta chain antibody allows scientists to evaluate protein levels and structural integrity in both normal and pathological conditions.

In addition to its central role in coagulation, fibrinogen and its beta chain contribute to processes such as wound healing, inflammation, and tissue repair. Elevated fibrinogen levels are also recognized as a risk factor for cardiovascular disease and stroke, making the protein a valuable biomarker in clinical and translational research. Using a Fibrinogen beta chain antibody provides researchers with a reliable tool to study its involvement in vascular biology and inflammatory disorders.

NSJ Bioreagents offers a high-quality Fibrinogen beta chain antibody validated for applications including western blot, ELISA, and immunohistochemistry. Choosing a Fibrinogen beta chain antibody from NSJ Bioreagents ensures reproducible and accurate detection in studies of coagulation, cardiovascular disease, and inflammatory processes

Application Notes

Optimal dilution of the Fibrinogen beta chain antibody should be determined by the researcher.

Immunogen

Amino acids 193-225 (TNLRVLRSILENLRSKIQKLESDVSAQMEYCRT-human) were used as the immunogen for the Fibrinogen beta chain antibody.

Storage

After reconstitution, the Fibrinogen beta chain antibody can be stored for up to one month at 4oC. For long-term, aliquot and store at -20oC. Avoid repeated freezing and thawing.

Cross
Bulk Quote Request Form
Name*:
Organization*:
Email*:
Phone Number*:
Catalog No.*:
Comments and Specifics(amount, formulation, etc.)*:
Validation code: Captchapackage Image


Can't read the image? click here to refresh.
    *required field

Your bulk quote request has been submitted successfully!

Please contact us if you have any questions.