• Tel: 858.663.9055
  • SeparatorEmail: info@nsjbio.com
  • Tel: 858.663.9055
  • Email: info@nsjbio.com
Home >> Antibodies >> Fibrillin 2 Antibody / FBN2

Fibrillin 2 Antibody / FBN2 (RQ8072)

  Catalog No Formulation Size Price (USD)  
Image RQ8072 0.5mg/ml if reconstituted with 0.2ml sterile DI water 100 ug 449
Bulk quote request
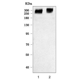
Western blot testing of human 1) placenta and 2) U-2 OS cell lysate with Fibrillin 2 antibody. Predicted molecular weight ~315 kDa and ~158 kDa but it may be observed at higher molecular weights due to glycosylation.
Availability 1-3 business days
Species Reactivity Human
Format Antigen affinity purified
Host Rabbit
Clonality Polyclonal (rabbit origin)
Isotype Rabbit IgG
Purity Antigen affinity purified
Buffer Lyophilized from 1X PBS with 2% Trehalose
UniProt P35556
Applications Western Blot : 0.5-1ug/ml
Direct ELISA : 0.1-0.5ug/ml
Limitations This Fibrillin 2 antibody is available for research use only.
Review this product on BioCompare and get a $20 Amazon gift card

Description

Fibrillin is a glycoprotein, which is essential for the formation of elastic fibers found in connective tissue. The protein encoded by this gene is a component of connective tissue microfibrils and may be involved in elastic fiber assembly. Mutations in this gene cause congenital contractural arachnodactyly.

Application Notes

Optimal dilution of the Fibrillin 2 antibody should be determined by the researcher.

Immunogen

E. coli-derived recombinant human protein (amino acids N2740-Y2912) was used as the immunogen for the Fibrillin 2 antibody.

Storage

After reconstitution, the Fibrillin 2 antibody can be stored for up to one month at 4oC. For long-term, aliquot and store at -20oC. Avoid repeated freezing and thawing.

Cross
Bulk Quote Request Form
Name*:
Organization*:
Email*:
Phone Number*:
Catalog No.*:
Comments and Specifics(amount, formulation, etc.)*:
Validation code: Captchapackage Image


Can't read the image? click here to refresh.
    *required field

Your bulk quote request has been submitted successfully!

Please contact us if you have any questions.