• Tel: 858.663.9055
  • SeparatorEmail: info@nsjbio.com
  • Tel: 858.663.9055
  • Email: info@nsjbio.com
Home >> Antibodies >> FGFR4 Antibody

FGFR4 Antibody (R31606)

  Catalog No Formulation Size Price (USD)  
Image R31606 0.5mg/ml if reconstituted with 0.2ml sterile DI water 100 ug 449
Bulk quote request
Western blot testing of FGFR4 antibody and Lane 1: HeLa; 2: PANC; 3: SGC; 4: COLO320; 5: SW620; Observed molecular weight: 88~125 kDa depending on phosphorylation and glycosylation level.
Western blot testing of FGFR4 antibody and recombinant human protein (0.5ng)
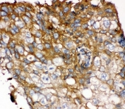
IHC-P: FGFR4 antibody testing of human lung cancer tissue
Availability 1-3 business days
Species Reactivity Human
Format Antigen affinity purified
Host Rabbit
Clonality Polyclonal (rabbit origin)
Isotype Rabbit IgG
Purity Antigen affinity
Buffer Lyophilized from 1X PBS with 2.5% BSA and 0.025% sodium azide
Gene ID 2264
Applications Western Blot : 0.5-1ug/ml
IHC (FFPE) : 0.5-1ug/ml
Limitations This FGFR4 antibody is available for research use only.
Review this product on BioCompare and get a $20 Amazon gift card

Related Products

Description

FGFR4(Fibroblast growth factor receptor 4), also known as CD334, is a protein that in humans is encoded by the FGFR4 gene. It is mapped to 5q35.2. The protein encoded by this gene is a member of the fibroblast growth factor receptor family, where amino acid sequence is highly conserved between members and throughout evolution. The extracellular portion of the protein interacts with fibroblast growth factors, setting in motion a cascade of downstream signals, ultimately influencing mitogenesis and differentiation. It is overexpressed in gynecological tumor samples, suggesting a role in breast and ovarian tumorigenesis.

Application Notes

The stated application concentrations are suggested starting amounts. Titration of the FGFR4 antibody may be required due to differences in protocols and secondary/substrate sensitivity.

Immunogen

Human partial recombinant protein (AA 22-206) was used as the immunogen for this FGFR4 antibody.

Storage

After reconstitution, the FGFR4 antibody can be stored for up to one month at 4oC. For long-term, aliquot and store at -20oC. Avoid repeated freezing and thawing.

Cross
Bulk Quote Request Form
Name*:
Organization*:
Email*:
Phone Number*:
Catalog No.*:
Comments and Specifics(amount, formulation, etc.)*:
Validation code: Captchapackage Image


Can't read the image? click here to refresh.
    *required field

Your bulk quote request has been submitted successfully!

Please contact us if you have any questions.