• Tel: 858.663.9055
  • SeparatorEmail: info@nsjbio.com
  • Tel: 858.663.9055
  • Email: info@nsjbio.com
Home >> Antibodies >> FGFR4 Antibody

FGFR4 Antibody (F54332)

  Catalog No Formulation Size Price (USD)  
Image F54332-0.2ML In 1X PBS, pH 7.4, with 0.09% sodium azide 0.2 ml 439
Image
F54332-0.05ML In 1X PBS, pH 7.4, with 0.09% sodium azide 0.05 ml 205
Bulk quote request
Western blot testing of human HepG2 cell lysate with FGFR4 antibody. Expected molecular weight: 88~125 kDa depending on phosphorylation and glycosylation level.
Western blot testing of human K562 cell lysate with FGFR4 antibody. Expected molecular weight: 88~125 kDa depending on phosphorylation and glycosylation level.
Western blot testing of mouse NIH 3T3 cell lysate with FGFR4 antibody. Expected molecular weight: 88~125 kDa depending on phosphorylation and glycosylation level.
Flow cytometry testing of human WiDr cells with FGFR4 antibody; Blue=isotype control, Green= FGFR4 antibody.
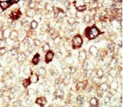
IHC testing of FFPE human cancer tissue with FGFR4 antibody. HIER: steam section in pH6 citrate buffer for 20 min and allow to cool prior to staining.
Availability 1-3 business days
Species Reactivity Human, Mouse
Format Purified
Host Rabbit
Clonality Polyclonal (rabbit origin)
Isotype Rabbit Ig
Purity SAS precipitation
UniProt P22455
Localization Cytoplasmic
Applications Immunohistochemistry (FFPE) : 1:25
Flow Cytometry : 1:25 (1x10e6 cells)
Western Blot : 1:500-1:2000
Limitations This FGFR4 antibody is available for research use only.
Review this product on BioCompare and get a $20 Amazon gift card

Related Products

Description

FGFR4 is a member of the fibroblast growth factor receptor family, where amino acid sequence is highly conserved between members and throughout evolution. FGFR family members differ from one another in their ligand affinities and tissue distribution. A full-length representative protein would consist of an extracellular region, composed of three immunoglobulin-like domains, a single hydrophobic membrane-spanning segment and a cytoplasmic tyrosine kinase domain. The extracellular portion of the protein interacts with fibroblast growth factors, setting in motion a cascade of downstream signals, ultimately influencing mitogenesis and differentiation. The genomic organization of the gene, compared to members 1-3, encompasses 18 exons rather than 19 or 20. Although alternative splicing has been observed, there is no evidence that the C-terminal half of the IgIII domain of this protein varies between three alternate forms, as indicated for members 1-3. This particular family member preferentially binds acidic fibroblast growth factor and, although its specific function is unknown, it is overexpressed in gynecological tumor samples, suggesting a role in breast and ovarian tumorigenesis.

Application Notes

The stated application concentrations are suggested starting points. Titration of the FGFR4 antibody may be required due to differences in protocols and secondary/substrate sensitivity.

Immunogen

A portion of amino acids 24-55 from the human protein was used as the immunogen for the FGFR4 antibody.

Storage

Aliquot the FGFR4 antibody and store frozen at -20oC or colder. Avoid repeated freeze-thaw cycles.

Cross
Bulk Quote Request Form
Name*:
Organization*:
Email*:
Phone Number*:
Catalog No.*:
Comments and Specifics(amount, formulation, etc.)*:
Validation code: Captchapackage Image


Can't read the image? click here to refresh.
    *required field

Your bulk quote request has been submitted successfully!

Please contact us if you have any questions.