• Tel: 858.663.9055
  • SeparatorEmail: info@nsjbio.com
  • Tel: 858.663.9055
  • Email: info@nsjbio.com
Home >> Antibodies >> FGFR2 Antibody

FGFR2 Antibody (F50617)

  Catalog No Formulation Size Price (USD)  
Image F50617-0.4ML In 1X PBS, pH 7.4, with 0.09% sodium azide 0.4 ml 439
Image
F50617-0.08ML In 1X PBS, pH 7.4, with 0.09% sodium azide 0.08 ml 205
Bulk quote request
Western blot analysis of lysate from (1) HeLa, (2) K562 and (3) T47D cell line using FGFR2 antibody at 1:1000. Predicted molecular weight: 80-120 kDa. The observed size may be larger due to glycosylation.
Western blot analysis of lysate from (1) HeLa, (2) K562 and (3) MCF-7 cell line using FGFR2 antibody at 1:1000. Predicted molecular weight: 80-120 kDa. The observed size may be larger due to glycosylation.
FGFR2 antibody western blot analysis in mouse NIH3T3 lysate. Predicted molecular weight: 80-120 kDa. The observed size may be larger due to glycosylation.
Immunohistochemical analysis of paraffin-embedded human brain section using FGFR2 antibody; Ab was diluted at 1:25 dilution.
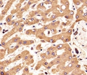
IHC analysis of FFPE human liver section using FGFR2 antibody; Ab was diluted at 1:25.
Fluorescent image of HeLa cells stained with FGFR2 antibody at 1:25 dilution. An Alexa Fluor 488-conjugated goat anti-rabbit lgG was used as the secondary Ab (green). Cytoplasmic actin was counterstained with Alexa Fluor 555 conjugated with Phalloidin (red).
Availability 1-3 business days
Species Reactivity Human, Mouse, Primate, Rat
Format Purified
Host Rabbit
Clonality Polyclonal (rabbit origin)
Isotype Rabbit Ig
Purity Purified
UniProt P21802
Applications IHC (Paraffin) : 1:25
Immunofluorescence : 1:25
Western Blot : 1:1000
Limitations This FGFR2 antibody is available for research use only.
Review this product on BioCompare and get a $20 Amazon gift card

Related Products

Description

FGFR2 is a member of the fibroblast growth factor receptor family, where amino acid sequence is highly conserved between members and throughout evolution. FGFR family members differ from one another in their ligand affinities and tissue distribution. A full-length representative protein consists of an extracellular region, composed of three immunoglobulin-like domains, a single hydrophobic membrane-spanning segment and a cytoplasmic tyrosine kinase domain. The extracellular portion of the protein interacts with fibroblast growth factors, setting in motion a cascade of downstream signals, ultimately influencing mitogenesis and differentiation. This particular family member is a high-affinity receptor for acidic, basic and/or keratinocyte growth factor, depending on the isoform. Mutations in the gene are associated with many craniosynostotic syndromes and bone malformations. The genomic organization of the gene encompasses 20 exons. Alternative splicing in multiple exons, including those encoding the Ig-like domains, the transmembrane region and the carboxyl terminus, results in varied isoforms which differ in structure and specificity. Isoform 1 has equal affinity for aFGF and bFGF but does not bind KGF.

Application Notes

Titration of the FGFR2 antibody may be required due to differences in protocols and secondary/substrate sensitivity.

Immunogen

A portion of amino acids 7-37 from the human protein was used as the immunogen for this FGFR2 antibody.

Storage

Aliquot the FGFR2 antibody and store frozen at -20oC or colder. Avoid repeated freeze-thaw cycles.

Cross
Bulk Quote Request Form
Name*:
Organization*:
Email*:
Phone Number*:
Catalog No.*:
Comments and Specifics(amount, formulation, etc.)*:
Validation code: Captchapackage Image


Can't read the image? click here to refresh.
    *required field

Your bulk quote request has been submitted successfully!

Please contact us if you have any questions.