- Tel: 858.663.9055
-
Email: info@nsjbio.com
- Tel: 858.663.9055
- Email: info@nsjbio.com
Related Products
|
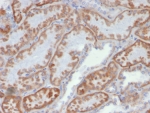
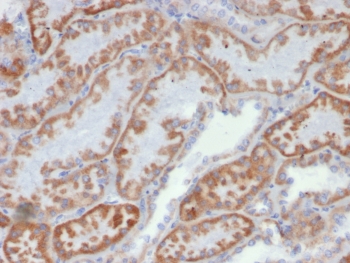
Fibroblast growth factor-1 (FGF-1), also designated acidic FGF, and fibroblast growth factor-2 (FGF-2), also designated basic FGF, are members of a family of growth factors that stimulate proliferation of cells of mesenchymal, epithelial and neuroectodermal origin. Additional members of the FGF family include the oncogenes FGF-3 (Int2) and FGF-4 (hst/Kaposi), FGF-5, FGF-6, FGF-7 (KGF), FGF-8 (AIGF), FGF-9 (GAF) and FGF-10 through FGF-23. Members of the FGF family share 30-55% amino acid sequence identity and similar gene structure, and are capable of transforming cultured cells when overexpressed in transfected cells. Cellular receptors for FGFs are members of a second multigene family, including four tyrosine kinases designated Flg (FGFR-1), Bek (FGFR-L), TKF and FGFR-3.
Optimal dilution of the FGF23 antibody should be determined by the researcher.
A recombinant partial protein sequence (within amino acids 1-251) from the human protein was used as the immunogen for the FGF23 antibody.
Aliquot the FGF23 antibody and store frozen at -20oC or colder. Avoid repeated freeze-thaw cycles.
Your bulk quote request has been submitted successfully!
Please contact us if you have any questions.