• Tel: 858.663.9055
  • SeparatorEmail: info@nsjbio.com
  • Tel: 858.663.9055
  • Email: info@nsjbio.com
Home >> Antibodies >> Fgf19 Antibody

Fgf19 Antibody (R32530)

  Catalog No Formulation Size Price (USD)  
Image R32530 0.5mg/ml if reconstituted with 0.2ml sterile DI water 100 ug 449
Bulk quote request
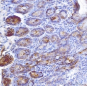
IHC staining of FFPE rat colon tissue with Fgf19 antibody. HIER: boil tissue sections in pH8 EDTA for 20 min and allow to cool before testing.
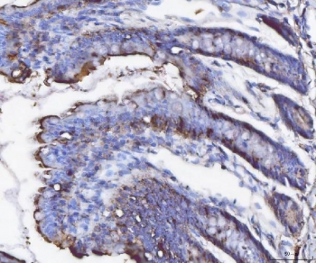
IHC staining of FFPE mouse colon tissue with Fgf19 antibody. HIER: boil tissue sections in pH8 EDTA for 20 min and allow to cool before testing.
Availability 1-3 business days
Species Reactivity Mouse, Rat
Format Antigen affinity purified
Host Rabbit
Clonality Polyclonal (rabbit origin)
Isotype Rabbit IgG
Purity Antigen affinity
Buffer Lyophilized from 1X PBS with 2% Trehalose
UniProt Q8VI81
Localization Cytoplasmic, secreted
Applications Immunohistochemistry (FFPE) : 2-5ug/ml
Limitations This Fgf19 antibody is available for research use only.
Review this product on BioCompare and get a $20 Amazon gift card

Related Products

  • Applications : WB, IHC-P
    Reactivity : Human
  • Applications : WB, ELISA (protein)
    Reactivity : Human

Description

FGF19, Fibroblast growth factor 19, is a protein that in humans is encoded by the FGF19 gene. The protein encoded by this gene is a member of the fibroblast growth factor (FGF) family. The FGF19 gene is mapped to 11q13.3. The deduced 216-amino acid FGF19 protein contains asignal sequence and 2 cysteine residues that are conserved in the FGF family. Expression of this gene was detected only in fetal but not adult brain tissue. Synergistic interaction of the chick homolog and Wnt-8c has been shown to be required for initiation of inner ear development. FGF19 stimulates hepatic protein and glycogen synthesis but does not induce lipogenesis. The effects of FGF19 are independent of the activity of either insulin or the protein kinase Akt and, instead, are mediated through a mitogen-activated protein kinase signaling pathway that activates components of the protein translation machinery and stimulates glycogen synthase activity. The orthologous protein in mouse is FGF15, which shares about 50% amino acid identity and has similar functions. Together they are often referred to as FGF15/19.

Application Notes

Differences in protocols and secondary/substrate sensitivity may require the Fgf19 antibody to be titrated for optimal performance.

Immunogen

Amino acids R26-K218 from the rat protein were used as the immunogen for the Fgf19 antibody.

Storage

After reconstitution, the Fgf19 antibody can be stored for up to one month at 4oC. For long-term, aliquot and store at -20oC. Avoid repeated freezing and thawing.

Cross
Bulk Quote Request Form
Name*:
Organization*:
Email*:
Phone Number*:
Catalog No.*:
Comments and Specifics(amount, formulation, etc.)*:
Validation code: Captchapackage Image


Can't read the image? click here to refresh.
    *required field

Your bulk quote request has been submitted successfully!

Please contact us if you have any questions.