• Tel: 858.663.9055
  • SeparatorEmail: info@nsjbio.com
  • Tel: 858.663.9055
  • Email: info@nsjbio.com
Home >> Antibodies >> FGF10 Antibody

FGF10 Antibody (RQ5976)

  Catalog No Formulation Size Price (USD)  
Image RQ5976 0.5mg/ml if reconstituted with 0.2ml sterile DI water 100 ug 449
Bulk quote request
Immunofluorescent staining of FFPE human HeLa cells with FGF10 antibody (green) and DAPI nuclear stain (blue). HIER: steam section in pH6 citrate buffer for 20 min.
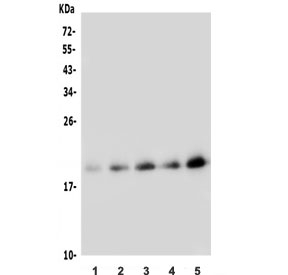
Western blot testing of 1) rat ovary, 2) mouse lung, 3) mouse ovary, 4) mouse kidney and 5) mouse NIH 3T3 lysate with FGF10 antibody. Predicted molecular weight ~23 kDa.
Flow cytometry testing of human Jurkat cells with FGF10 antibody at 1ug/million cells (blocked with goat sera); Red=cells alone, Green=isotype control, Blue= FGF10 antibody.
Availability 1-3 business days
Species Reactivity Human, Mouse, Rat
Format Antigen affinity purified
Host Rabbit
Clonality Polyclonal (rabbit origin)
Isotype Rabbit IgG
Purity Affinity purified
Buffer Lyophilized from 1X PBS with 2% Trehalose and 0.025% sodium azide
UniProt O15520
Applications Western Blot : 0.5-1ug/ml
Flow Cytometry : 1-3ug/million cells
Immunofluorescence : 2-4ug/ml
Direct ELISA : 0.1-0.5ug/ml
Limitations This FGF10 antibody is available for research use only.
Review this product on BioCompare and get a $20 Amazon gift card

Related Products

  • Applications : WB
    Reactivity : Human, Mouse, Rat

Description

Fibroblast growth factor 10 is a protein that in humans is encoded by the FGF10 gene. It is mapped to 5p12. The protein encoded by this gene is a member of the fibroblast growth factor (FGF) family. FGF family members possess broad mitogenic and cell survival activities, and are involved in a variety of biological processes, including embryonic development, cell growth, morphogenesis, tissue repair, tumor growth and invasion. This protein exhibits mitogenic activity for keratinizing epidermal cells, but essentially no activity for fibroblasts, which is similar to the biological activity of FGF7. Studies of the mouse homolog of suggested that this gene is required for embryonic epidermal morphogenesis including brain development, lung morphogenesis, and initiation of lim bud formation. This gene is also implicated to be a primary factor in the process of wound healing.

Application Notes

Optimal dilution of the FGF10 antibody should be determined by the researcher.

Immunogen

Recombinant human protein (amino acids Q38-S208) was used as the immunogen for the FGF10 antibody.

Storage

After reconstitution, the FGF10 antibody can be stored for up to one month at 4oC. For long-term, aliquot and store at -20oC. Avoid repeated freezing and thawing.

Cross
Bulk Quote Request Form
Name*:
Organization*:
Email*:
Phone Number*:
Catalog No.*:
Comments and Specifics(amount, formulation, etc.)*:
Validation code: Captchapackage Image


Can't read the image? click here to refresh.
    *required field

Your bulk quote request has been submitted successfully!

Please contact us if you have any questions.