• Tel: 858.663.9055
  • SeparatorEmail: info@nsjbio.com
  • Tel: 858.663.9055
  • Email: info@nsjbio.com
Home >> Antibodies >> FGF-23 Antibody / Fibroblast Growth Factor 23

FGF-23 Antibody / Fibroblast Growth Factor 23 [clone FGF23/6407] (V4270)

  Catalog No Formulation Size Price (USD)  
Image V4270-100UG 0.2 mg/ml in 1X PBS with 0.1 mg/ml BSA (US sourced), 0.05% sodium azide 100 ug 539
Image
V4270-20UG 0.2 mg/ml in 1X PBS with 0.1 mg/ml BSA (US sourced), 0.05% sodium azide 20 ug 249
Image
V4270SAF-100UG 1 mg/ml in 1X PBS; BSA free, sodium azide free 100 ug 539
Microvalidated
Bulk quote request
Analysis of a HuProt(TM) microarray containing more than 19,000 full-length human proteins using FGF23 antibody (clone FGF23/6407). Z- and S- Score: The Z-score represents the strength of a signal that a monoclonal antibody (in combination with a fluorescently-tagged anti-IgG secondary antibody) produces when binding to a particular protein on the HuProt(TM) array. Z-scores are described in units of standard deviations (SD's) above the mean value of all signals generated on that array. If targets on HuProt(TM) are arranged in descending order of the Z-score, the S-score is the difference (also in units of SD's) between the Z-score. S-score therefore represents the relative target specificity of a mAb to its intended target. A mAb is considered to specific to its intended target, if the mAb has an S-score of at least 2.5. For example, if a mAb binds to protein X with a Z-score of 43 and to protein Y with a Z-score of 14, then the S-score for the binding of that mAb to protein X is equal to 29.
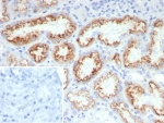
IHC staining of FFPE human kidney tissue with FGF23/6407 at 2ug/ml. Inset: PBS used in place of primary Ab (secondary Ab negative control). HIER: boil tissue sections in pH 9 10mM Tris with 1mM EDTA for 20 min and allow to cool before testing.
Western blot testing of human T-47D cell lysate with FGF23 antibody. Predicted molecular weight: 28-32 kDa.
Availability 1-3 business days
Species Reactivity Human
Format Purified
Clonality Monoclonal (mouse origin)
Isotype Mouse IgG2, kappa
Clone Name FGF23/6407
Purity Protein A/G affinity
UniProt Q9GZV9
Localization Secreted, Cytoplasm
Applications Immunohistochemistry (FFPE) : 1-2ug/ml for 30 min at RT
Western Blot : 2-4ug/ml
Limitations This FGF23 antibody is available for research use only.
Review this product on BioCompare and get a $20 Amazon gift card

Related Products

Description

Fibroblast growth factor-1 (FGF-1), also designated acidic FGF, and fibroblast growth factor-2 (FGF-2), also designated basic FGF, are members of a family of growth factors that stimulate proliferation of cells of mesenchymal, epithelial and neuroectodermal origin. Additional members of the FGF family include the oncogenes FGF-3 (Int2) and FGF-4 (hst/Kaposi), FGF-5, FGF-6, FGF-7 (KGF), FGF-8 (AIGF), FGF-9 (GAF) and FGF-10 through FGF-23. Members of the FGF family share 30-55% amino acid sequence identity and similar gene structure, and are capable of transforming cultured cells when overexpressed in transfected cells. Cellular receptors for FGFs are members of a second multigene family, including four tyrosine kinases designated Flg (FGFR-1), Bek (FGFR-L), TKF and FGFR-3.

Application Notes

Optimal dilution of the FGF23 antibody should be determined by the researcher.

Immunogen

A recombinant partial protein sequence (within amino acids 1-251) from the human protein was used as the immunogen for the FGF23 antibody.

Storage

Aliquot the FGF23 antibody and store frozen at -20oC or colder. Avoid repeated freeze-thaw cycles.

Cross
Bulk Quote Request Form
Name*:
Organization*:
Email*:
Phone Number*:
Catalog No.*:
Comments and Specifics(amount, formulation, etc.)*:
Validation code: Captchapackage Image


Can't read the image? click here to refresh.
    *required field

Your bulk quote request has been submitted successfully!

Please contact us if you have any questions.