• Tel: 858.663.9055
  • SeparatorEmail: info@nsjbio.com
  • Tel: 858.663.9055
  • Email: info@nsjbio.com
Home >> Antibodies >> FGF-23 Antibody - Protein Microarray Validated FGF23/4169 / Fibroblast Growth Factor 23

FGF-23 Antibody - Protein Microarray Validated FGF23/4169 / Fibroblast Growth Factor 23 [clone FGF23/4169] (V9587)

  Catalog No Formulation Size Price (USD)  
Image V9587-100UG 0.2 mg/ml in 1X PBS with 0.1 mg/ml BSA (US sourced), 0.05% sodium azide 100 ug 559
Image
V9587-20UG 0.2 mg/ml in 1X PBS with 0.1 mg/ml BSA (US sourced), 0.05% sodium azide 20 ug 259
Image
V9587SAF-100UG 1 mg/ml in 1X PBS; BSA free, sodium azide free 100 ug 559
Microvalidated
Bulk quote request
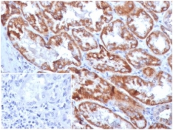
FGF-23 Antibody Protein Microarray Validated FGF23/4169 immunohistochemistry staining of human kidney tissue. IHC analysis of FFPE human kidney was performed using microarray validated FGF-23 antibody clone FGF23/4169 at 2 ug/ml in PBS for 30 min at RT. Heat induced epitope retrieval was performed by boiling tissue sections in pH 9 10 mM Tris with 1 mM EDTA for 20 min followed by cooling before staining. HRP-DAB brown staining highlights epithelial cells within renal tubules, consistent with detection of Fibroblast growth factor 23 / FGF23. Inset shows PBS used in place of primary antibody as a secondary antibody negative control.
SDS-PAGE analysis of purified, BSA-free FGF-23 antibody (clone FGF23/4169) as confirmation of integrity and purity.
FGF-23 Antibody Protein Microarray Validated FGF23/4169 specificity analysis on HuProt microarray. Protein microarray screening was performed using FGF-23 Antibody Protein Microarray Validated clone FGF23/4169 against the HuProt(TM) human protein microarray containing more than 19,000 full-length human proteins. The antibody shows a strong and specific signal for Fibroblast growth factor 23 / FGF23 with the highest Z-score and S-score values among all proteins on the array, demonstrating high specificity of clone FGF23/4169 for its intended target. Z-score represents the signal intensity produced when the antibody binds a particular protein on the array relative to the overall signal distribution, expressed in standard deviations above the mean. The S-score reflects the difference between adjacent Z-scores when proteins are ranked by signal strength and provides a measure of relative antibody specificity for the target protein.
Availability 1-3 business days
Species Reactivity Human
Format Purified
Host Mouse
Clonality Monoclonal (mouse origin)
Isotype Mouse IgG2c, kappa
Clone Name FGF23/4169
Purity Protein A/G affinity
UniProt Q9GZV9
Localization Secreted (extracellular)
Applications Immunohistochemistry (FFPE) : 1-2ug/ml
Limitations This FGF-23 antibody is available for research use only.
Review this product on BioCompare and get a $20 Amazon gift card

Related Products

Description

Fibroblast growth factor 23 (FGF23) is a member of the fibroblast growth factor family encoded by the FGF23 gene and functions as a circulating endocrine hormone that regulates phosphate and vitamin D metabolism. FGF-23 Antibody Protein Microarray Validated FGF23/4169 recognizes FGF23, a key regulator of systemic phosphate homeostasis that acts primarily through signaling pathways involving the FGFR receptor family and the co-receptor Klotho.

FGF23 is primarily produced by osteocytes and osteoblasts within bone and is released into the circulation where it acts on the kidney to regulate phosphate excretion. Through its interaction with fibroblast growth factor receptors and the Klotho co-receptor complex, FGF23 decreases renal phosphate reabsorption by downregulating sodium-phosphate cotransporters in the proximal tubule. In addition, FGF23 suppresses production of active vitamin D by reducing expression of the enzyme CYP27B1 and stimulating CYP24A1, thereby decreasing intestinal phosphate absorption and maintaining phosphate balance.

In physiological conditions FGF23 helps maintain stable serum phosphate concentrations and prevents excessive phosphate accumulation. However, dysregulation of FGF23 signaling has been linked to multiple metabolic bone and kidney disorders. Elevated levels of FGF23 are associated with chronic kidney disease, where impaired renal phosphate excretion leads to compensatory increases in circulating FGF23. Abnormally increased FGF23 activity is also observed in tumor induced osteomalacia and certain hereditary disorders of phosphate metabolism such as autosomal dominant hypophosphatemic rickets. In these conditions excessive FGF23 signaling results in renal phosphate wasting and impaired bone mineralization.

FGF23 antibody reagents detect Fibroblast growth factor 23, which is also referred to in the literature as phosphatonin because of its role in regulating phosphate metabolism. Measurement and detection of FGF23 expression are widely used in studies of bone biology, mineral metabolism, endocrine signaling, and kidney disease. Antibodies such as mouse monoclonal clone FGF23/4169 support research investigating FGF23 production, endocrine signaling pathways, and the molecular mechanisms underlying disorders of phosphate regulation.

Application Notes

Optimal dilution of the microarray validated FGF-23 antibody should be determined by the researcher.

Immunogen

A portion of amino acids 25-251 was used as the immunogen for the FGF-23 antibody.

Storage

Aliquot the FGF-23 antibody and store frozen at -20oC or colder. Avoid repeated freeze-thaw cycles.

Alternate Names

Fibroblast growth factor 23 antibody, FGF23 antibody, Phosphatonin antibody, ADHR protein antibody

Cross
Bulk Quote Request Form
Name*:
Organization*:
Email*:
Phone Number*:
Catalog No.*:
Comments and Specifics(amount, formulation, etc.)*:
Validation code: Captchapackage Image


Can't read the image? click here to refresh.
    *required field

Your bulk quote request has been submitted successfully!

Please contact us if you have any questions.