• Tel: 858.663.9055
  • SeparatorEmail: info@nsjbio.com
  • Tel: 858.663.9055
  • Email: info@nsjbio.com
Home >> Antibodies >> Fetuin-A Antibody / AHSG

Fetuin-A Antibody / AHSG [clone AHSG/3748] (V9480)

  Catalog No Formulation Size Price (USD)  
Image V9480-100UG 0.2 mg/ml in 1X PBS with 0.1 mg/ml BSA (US sourced), 0.05% sodium azide 100 ug 559
Image
V9480-20UG 0.2 mg/ml in 1X PBS with 0.1 mg/ml BSA (US sourced), 0.05% sodium azide 20 ug 259
Image
V9480SAF-100UG 1 mg/ml in 1X PBS; BSA free, sodium azide free 100 ug 559
Microvalidated
Bulk quote request
Analysis of HuProt(TM) microarray containing more than 19,000 full-length human proteins using Fetuin-A antibody (clone AHSG/3748). These results demonstrate the foremost specificity of the AHSG/3748 mAb. Z- and S- score: The Z-score represents the strength of a signal that an antibody (in combination with a fluorescently-tagged anti-IgG secondary Ab) produces when binding to a particular protein on the HuProt(TM) array. Z-scores are described in units of standard deviations (SD's) above the mean value of all signals generated on that array. If the targets on the HuProt(TM) are arranged in descending order of the Z-score, the S-score is the difference (also in units of SD's) between the Z-scores. The S-score therefore represents the relative target specificity of an Ab to its intended target.
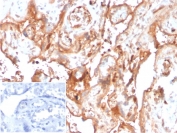
IHC staining of FFPE human placental tissue with Fetuin-A antibody (clone AHSG/3748) at 2ug/ml. Negative control inset: PBS instead of primary antibody to control for secondary binding. HIER: boil tissue sections in pH 9 10mM Tris with 1mM EDTA for 20 min and allow to cool before testing.
SDS-PAGE analysis of purified, BSA-free Fetuin-A antibody (clone AHSG/3748) as confirmation of integrity and purity.
Availability 1-3 business days
Species Reactivity Human
Format Purified
Host Mouse
Clonality Monoclonal (mouse origin)
Isotype Mouse IgG1, kappa
Clone Name AHSG/3748
Purity Protein A/G affinity
UniProt P02765
Localization Secreted
Applications Immunohistochemistry (FFPE) : 1-2ug/ml
Limitations This Fetuin-A antibody is available for research use only.
Review this product on BioCompare and get a $20 Amazon gift card

Related Products

  • Applications : WB
    Reactivity : Human
  • Applications : WB
    Reactivity : Mouse
  • Applications : WB, ELISA (peptide)
    Reactivity : Human
  • Applications : WB, IHC-P, FACS, ELISA (protein)
    Reactivity : Human, Rat
  • Applications : WB, IHC-P, IF, FACS
    Reactivity : Human

Description

Fetuin (also designated 2-HS-glycoprotein) is a secreted plasma protein that is expressed in hepatocytes, monocyte/macrophages and in bone and is downregulated during injury and inflammation. Fetuin preferentially binds to and carries calcium and barium ions in the blood, where it is thought to mediate serum calcium homeostasis and mineralization, and to potentially participate in the transport of bioactive molecules. Additionally, fetuin has been shown to function as an acute phase anti-inflammatory mediator that is critical to regulating the innate immune response following tissue injury. During inflammation, circulating fetuin levels substantially decrease as fetuin becomes associated with the membranes of macrophages. This membrane associated form of fetuin acts as an opsonic participant by potentiating the entry of cationic small molecules into the activated macro-phage, which in turn facilitates macrophage-deactivating mechanisms. Biologically active fetuin is derived from a precursor protein that is cleaved at the aminoterminus to generate two chains held together by a single disulfide bond.

Application Notes

Optimal dilution of the Fetuin-A antibody should be determined by the researcher.

Immunogen

A recombinant protein fragment was used as the immunogen for the Fetuin-A antibody.

Storage

Aliquot the Fetuin-A antibody and store frozen at -20oC or colder. Avoid repeated freeze-thaw cycles.

Cross
Bulk Quote Request Form
Name*:
Organization*:
Email*:
Phone Number*:
Catalog No.*:
Comments and Specifics(amount, formulation, etc.)*:
Validation code: Captchapackage Image


Can't read the image? click here to refresh.
    *required field

Your bulk quote request has been submitted successfully!

Please contact us if you have any questions.