• Tel: 858.663.9055
  • SeparatorEmail: info@nsjbio.com
  • Tel: 858.663.9055
  • Email: info@nsjbio.com
Home >> Antibodies >> FDCSP Antibody

FDCSP Antibody (R32777)

  Catalog No Formulation Size Price (USD)  
Image R32777 0.5mg/ml if reconstituted with 0.2ml sterile DI water 100 ug 449
Bulk quote request
Immunofluorescent staining of FFPE human tonsil tissue with FDCSP antibody (green) and DAPI nuclear stain (blue). HIER: steam section in pH8 EDTA buffer for 20 min.
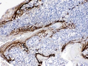
IHC testing of FFPE human tonsil tissue with FDCSP antibody at 1ug/ml. Required HIER: steam section in pH6 citrate buffer for 20 min and allow to cool prior to testing.
Availability 1-3 business days
Species Reactivity Human
Format Antigen affinity purified
Host Rabbit
Clonality Polyclonal (rabbit origin)
Isotype Rabbit IgG
Purity Antigen affinity
Buffer Lyophilized from 1X PBS with 2% Trehalose and 0.025% sodium azide
UniProt Q8NFU4
Localization Cytoplasmic, membranous, secreted
Applications Immunhistochemistry (FFPE) : 1-2ug/ml
Immunofluorsecence (FFPE) : 5ug/ml
Limitations This FDCSP antibody is available for research use only.
Review this product on BioCompare and get a $20 Amazon gift card

Description

FDC-SP or follicular dendritic cell-secreted protein, is a small, secreted protein, located on chromosome 4 in humans. FDC-SP is a 68-amino acid protein containing a signal peptide at its N terminus, which is used for directing the transport of the protein. This protein specifically binds to activated B cells, and functions as a regulator of antibody responses. It is also thought to contribute to tumor metastases by promoting cancer cell migration and invasion.

Application Notes

Optimal dilution of the FDCSP antibody should be determined by the researcher.

Immunogen

Amino acids 18-51 (FPVSQDQEREKRSISDSDELASGFFVFPYPYPFR) from the human protein were used as the immunogen for the FDCSP antibody.

Storage

After reconstitution, the FDCSP antibody can be stored for up to one month at 4oC. For long-term, aliquot and store at -20oC. Avoid repeated freezing and thawing.

Cross
Bulk Quote Request Form
Name*:
Organization*:
Email*:
Phone Number*:
Catalog No.*:
Comments and Specifics(amount, formulation, etc.)*:
Validation code: Captchapackage Image


Can't read the image? click here to refresh.
    *required field

Your bulk quote request has been submitted successfully!

Please contact us if you have any questions.